GSPT1
GSPT1,全稱為G1到S期轉換因子1,常用別名包括eRF3a。它是細胞內蛋白質合成過程中的關鍵參與者,能夠與翻譯釋放因子結合,推動核糖體上新生肽鏈的釋放,從而完成蛋白質的翻譯終止過程,這一環節對維持細胞內蛋白組的平衡與正常功能至關重要。
GSPT1表達或功能出現異常時,會干擾細胞的正常增殖節律,與多種惡性腫瘤的發生發展存在關聯——在肺癌、胃癌等腫瘤組織中,常可觀察到其表達水平顯著升高,這一變化可能助力腫瘤細胞加速增殖、抵抗凋亡。目前,針對該蛋白的靶向治療研究正逐步推進,部分小分子抑制劑通過干擾其核心功能來抑制腫瘤生長,已有候選藥物進入早期臨床試驗階段,為相關癌癥的治療開辟了新的方向。
熱銷產品
驗證數據
(Tris-Glycine gel) Discontinuous SDS-PAGE (reduced) with 5% enrichment gel and 15% separation gel.
GSPT1 Antibody (CSB-PA009966LA01HU)
驗證數據
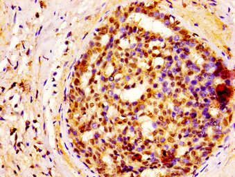
IHC image of CSB-PA009966LA01HU diluted at 1:400 and staining in paraffin-embedded human breast cancer performed on a Leica BondTM system. After dewaxing and hydration, antigen retrieval was mediated by high pressure in a citrate buffer (pH 6.0). Section was blocked with 10% normal goat serum 30min at RT. Then primary antibody (1% BSA) was incubated at 4°C overnight. The primary is detected by a biotinylated secondary antibody and visualized using an HRP conjugated SP system.
IHC image of CSB-PA009966LA01HU diluted at 1:400 and staining in paraffin-embedded human heart tissue performed on a Leica BondTM system. After dewaxing and hydration, antigen retrieval was mediated by high pressure in a citrate buffer (pH 6.0). Section was blocked with 10% normal goat serum 30min at RT. Then primary antibody (1% BSA) was incubated at 4°C overnight. The primary is detected by a biotinylated secondary antibody and visualized using an HRP conjugated ABC system.
Immunofluorescence staining of Hela cells with CSB-PA009966LA01HU at 1:133, counter-stained with DAPI. The cells were fixed in 4% formaldehyde, permeabilized using 0.2% Triton X-100 and blocked in 10% normal Goat Serum. The cells were then incubated with the antibody overnight at 4°C. The secondary antibody was Alexa Fluor 488-congugated AffiniPure Goat Anti-Rabbit IgG(H+L).
GSPT1 Antibodies
GSPT1 for Homo sapiens (Human)
| 產品貨號 | 產品名稱 | 種屬反應性 | 應用類型 |
|---|---|---|---|
| CSB-PA009966GA01HU | GSPT1 Antibody | Human,Mouse,Rat | ELISA,WB,IHC |
| CSB-PA009039 | GSPT1 Antibody | Human,Mouse,Rat | WB, IHC, ELISA |
| CSB-PA009966LA01HU | GSPT1 Antibody | Human | ELISA, IHC, IF |
| CSB-PA009966LC01HU | GSPT1 Antibody, FITC conjugated | Human | |
| CSB-PA009966LD01HU | GSPT1 Antibody, Biotin conjugated | Human | ELISA |
GSPT1 Proteins
GSPT1 Proteins for Homo sapiens (Human)
| 產品貨號 | 產品名稱 | 來源 |
|---|---|---|
| CSB-YP009966HU | Recombinant Human Eukaryotic peptide chain release factor GTP-binding subunit ERF3A (GSPT1) | Yeast |
| CSB-EP009966HU CSB-MP009966HU CSB-EP009966HU-B |
Recombinant Human Eukaryotic peptide chain release factor GTP-binding subunit ERF3A (GSPT1) | E.coli Mammalian cell In Vivo Biotinylation in E.coli |
GSPT1 Proteins for Homo sapiens (Human) parvovirus B19 (isolate AU)
| 產品貨號 | 產品名稱 | 來源 |
|---|---|---|
| CSB-BP009966HU | Recombinant Human Eukaryotic peptide chain release factor GTP-binding subunit ERF3A (GSPT1) | Baculovirus |






