GREM1
GREM1,全稱為 Gremlin-1,是一種富含半胱氨酸的分泌蛋白,在器官形成和發育中起關鍵作用。它也被稱為 BMP ANTAGONIST 1、DRM、LD、IHG-2、MPSH、MGC126660、HOMOLOG 等別名。GREM1 蛋白主要通過抑制骨形態發生蛋白(BMP)信號通路來發揮作用,從而參與調控胚胎時期骨組織、腎臟等重要器官的發育。它在腫瘤研究中也具有重要意義,GREM1 蛋白在多種癌癥中高表達,與不良預后相關,被認為是腫瘤進展的促進因子。目前,針對 GREM1 蛋白的藥物研發正在積極進行中,旨在通過抑制 GREM1 蛋白的活性來治療癌癥。
熱銷產品
GREM1 Antibody (CSB-PA009892LA01HU)
驗證數據
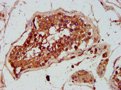
IHC image of CSB-PA009892LA01HU diluted at 1:300 and staining in paraffin-embedded human testis tissue performed on a Leica BondTM system. After dewaxing and hydration, antigen retrieval was mediated by high pressure in a citrate buffer (pH 6.0). Section was blocked with 10% normal goat serum 30min at RT. Then primary antibody (1% BSA) was incubated at 4°C overnight. The primary is detected by a biotinylated secondary antibody and visualized using an HRP conjugated SP system.
IHC image of CSB-PA009892LA01HU diluted at 1:300 and staining in paraffin-embedded human skeletal muscle tissue performed on a Leica BondTM system. After dewaxing and hydration, antigen retrieval was mediated by high pressure in a citrate buffer (pH 6.0). Section was blocked with 10% normal goat serum 30min at RT. Then primary antibody (1% BSA) was incubated at 4°C overnight. The primary is detected by a biotinylated secondary antibody and visualized using an HRP conjugated SP system.
Human Gremlin-1(GREM1) ELISA kit (CSB-EL009892HU)
驗證數據
貨號:CSB-EL009892HU
規格:96T/48T
靈敏度:0.039 ng/mL
檢測范圍:0.156 ng/mL-10 ng/mL
These standard curves are provided for demonstration only. A standard curve should be generated for each set of samples assayed.
GREM1 Antibodies
GREM1 for Homo sapiens (Human)
| 產品貨號 | 產品名稱 | 種屬反應性 | 應用類型 |
|---|---|---|---|
| CSB-PA168659 | GREM1 Antibody | Human,Mouse,Rat | ELISA,WB |
| CSB-PA009892LA01HU | GREM1 Antibody | Human | ELISA, IHC |
| CSB-PA009892LB01HU | GREM1 Antibody, HRP conjugated | Human | ELISA |
| CSB-PA009892LC01HU | GREM1 Antibody, FITC conjugated | Human | |
| CSB-PA009892LD01HU | GREM1 Antibody, Biotin conjugated | Human | ELISA |
| CSB-RA009892MA1HU | GREM1 Recombinant Monoclonal Antibody | Human | ELISA, IHC |
GREM1 Proteins
GREM1 Proteins for Homo sapiens (Human)
| 產品貨號 | 產品名稱 | 來源 |
|---|---|---|
| CSB-YP009892HU CSB-EP009892HU CSB-BP009892HU CSB-MP009892HU CSB-EP009892HU-B |
Recombinant Human Gremlin-1 (GREM1) | Yeast E.coli Baculovirus Mammalian cell In Vivo Biotinylation in E.coli |
GREM1 ELISA Kit
GREM1 ELISA Kit for Homo sapiens (Human)
| 產品貨號 | 產品名稱 | 樣本類型 | 靈敏度 |
|---|---|---|---|
| CSB-EL009892HU | Human Gremlin-1(GREM1) ELISA kit | serum, plasma, cell culture supernates, tissue homogenates, cell lysates | 0.039 ng/mL |






