GPR65
GPR65,全稱G蛋白偶聯受體65,也被稱為TDAG8,是一種與鞘糖脂精神胺相關的蛋白質。它主要在T淋巴細胞、B淋巴細胞以及巨噬細胞等免疫細胞中表達。GPR65能夠感知細胞外pH值的變化,并在酸性環境下被激活,進而參與多種生理和病理過程。研究表明,GPR65的激活可以抑制炎癥反應,減輕疼痛,甚至抑制腫瘤生長。因此,GPR65被認為是多種疾病治療的潛在靶點。目前,已有研究人員開發了針對GPR65的激動劑和拮抗劑,并正在探索其在治療炎癥性疾病、神經性疼痛和腫瘤等方面的應用。
熱銷產品
Recombinant Human Psychosine receptor (GPR65) (CSB-CF810304HU)
驗證數據
(Tris-Glycine gel) Discontinuous SDS-PAGE (reduced) with 5% enrichment gel and 15% separation gel.
驗證數據
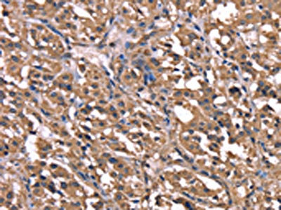
The image on the left is immunohistochemistry of paraffin-embedded Human ovarian cancer tissue using CSB-PA548371(GPR65 Antibody) at dilution 1/20, on the right is treated with synthetic peptide. (Original magnification: ×200)
The image on the left is immunohistochemistry of paraffin-embedded Human thyroid cancer tissue using CSB-PA548371(GPR65 Antibody) at dilution 1/20, on the right is treated with synthetic peptide. (Original magnification: ×200)
GPR65 Antibodies
GPR65 for Homo sapiens (Human)
| 產品貨號 | 產品名稱 | 種屬反應性 | 應用類型 |
|---|---|---|---|
| CSB-PA732036 | GPR65 Antibody | Human | ELISA,IHC |
| CSB-PA548371 | GPR65 Antibody | Human | ELISA,IHC |
GPR65 Proteins
GPR65 Proteins for Mus musculus (Mouse)
| 產品貨號 | 產品名稱 | 來源 |
|---|---|---|
| CSB-YP736801MO1 CSB-EP736801MO1 CSB-BP736801MO1 CSB-MP736801MO1 CSB-EP736801MO1-B |
Recombinant Mouse Psychosine receptor (Gpr65), partial | Yeast E.coli Baculovirus Mammalian cell In Vivo Biotinylation in E.coli |
| CSB-CF736801MO | Recombinant Mouse Psychosine receptor (Gpr65) | in vitro E.coli expression system |
GPR65 Proteins for Homo sapiens (Human)
| 產品貨號 | 產品名稱 | 來源 |
|---|---|---|
| CSB-YP810304HU1 CSB-EP810304HU1 CSB-BP810304HU1 CSB-MP810304HU1 CSB-EP810304HU1-B |
Recombinant Human Psychosine receptor (GPR65), partial | Yeast E.coli Baculovirus Mammalian cell In Vivo Biotinylation in E.coli |
| CSB-CF810304HU | Recombinant Human Psychosine receptor (GPR65) | in vitro E.coli expression system |
| CSB-MP810304HU | Recombinant Human Psychosine receptor (GPR65)-VLPs | Mammalian cell |






