GPR158
GPR158,即G蛋白偶聯受體158,別名mGlyR。這是一種在大腦中高度表達的受體,屬于孤兒G蛋白偶聯受體家族。GPR158的作用機制獨特,它通過與甘氨酸結合,激活RGS蛋白(Regulators of G protein signaling),從而抑制G蛋白信號傳導,而不是像大多數GPCR那樣激活G蛋白。這種抑制作用是通過調節第二信使的平衡來控制神經元活動,對大腦生理學產生顯著影響。GPR158的異常表達與多種疾病相關,包括抑郁癥、阿爾茨海默病、青光眼和膠質瘤等。GPR158的激活可以增強RGS蛋白的活性,這兩種蛋白質共同作用以調節第二信使的體內平衡。GPR158是抗抑郁藥開發的潛在新靶點。
熱銷產品
GPR158 Antibody (CSB-PA735975LA01HU)
驗證數據
IHC image of CSB-PA735975LA01HU diluted at 1:500 and staining in paraffin-embedded human brain tissue performed on a Leica BondTM system. After dewaxing and hydration, antigen retrieval was mediated by high pressure in a citrate buffer (pH 6.0). Section was blocked with 10% normal goat serum 30min at RT. Then primary antibody (1% BSA) was incubated at 4°C overnight. The primary is detected by a biotinylated secondary antibody and visualized using an HRP conjugated SP system.
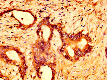
IHC image of CSB-PA735975LA01HU diluted at 1:500 and staining in paraffin-embedded human colon cancer performed on a Leica BondTM system. After dewaxing and hydration, antigen retrieval was mediated by high pressure in a citrate buffer (pH 6.0). Section was blocked with 10% normal goat serum 30min at RT. Then primary antibody (1% BSA) was incubated at 4°C overnight. The primary is detected by a biotinylated secondary antibody and visualized using an HRP conjugated SP system.
Immunofluorescence staining of U251 cells with CSB-PA735975LA01HU at 1:166, counter-stained with DAPI. The cells were fixed in 4% formaldehyde, permeabilized using 0.2% Triton X-100 and blocked in 10% normal Goat Serum. The cells were then incubated with the antibody overnight at 4°C. The secondary antibody was Alexa Fluor 488-congugated AffiniPure Goat Anti-Rabbit IgG(H+L).
GPR158 Antibodies
GPR158 for Homo sapiens (Human)
| 產品貨號 | 產品名稱 | 種屬反應性 | 應用類型 |
|---|---|---|---|
| CSB-PA040083 | GPR158 Antibody | Human,Mouse | WB, IHC, IF, ELISA |
| CSB-PA735975LA01HU | GPR158 Antibody | Human | ELISA, IHC, IF |
| CSB-PA735975LB01HU | GPR158 Antibody, HRP conjugated | Human | ELISA |
| CSB-PA735975LC01HU | GPR158 Antibody, FITC conjugated | Human | |
| CSB-PA735975LD01HU | GPR158 Antibody, Biotin conjugated | Human | ELISA |
GPR158 Proteins
GPR158 Proteins for Homo sapiens (Human)
| 產品貨號 | 產品名稱 | 來源 |
|---|---|---|
| CSB-YP735975HU CSB-EP735975HU CSB-BP735975HU CSB-MP735975HU CSB-EP735975HU-B |
Recombinant Human Probable G-protein coupled receptor 158 (GPR158), partial | Yeast E.coli Baculovirus Mammalian cell In Vivo Biotinylation in E.coli |
GPR158 Proteins for Mus musculus (Mouse)
| 產品貨號 | 產品名稱 | 來源 |
|---|---|---|
| CSB-YP805395MO CSB-EP805395MO CSB-BP805395MO CSB-MP805395MO CSB-EP805395MO-B |
Recombinant Mouse Probable G-protein coupled receptor 158 (Gpr158), partial | Yeast E.coli Baculovirus Mammalian cell In Vivo Biotinylation in E.coli |






