GPC1
GPC1,即磷脂球蛋白聚糖1(glypican1),別名Glypican-1、epididymissecretoryspermbindingprotein等。它是一種細胞表面硫酸乙酰肝素蛋白聚糖,由膜相關蛋白核心組成,該核心被可變數量的硫酸乙酰肝素鏈取代。GPC1通過糖基磷脂酰肌醇鍵固定在細胞質膜上,屬于glypican相關的完整膜蛋白多糖家族(GRIPS)。其作用機制涉及調節多種信號通路,包括FGF、VEGF-A、TGF-β、Wnt、Hh和BMP,通過與通路配體和受體的特異性相互作用,影響信號通路的激活或抑制。GPC1在控制細胞分裂和生長調節中發揮作用,參與發育過程,并在多種癌癥類型中表達明顯升高,包括胰腺癌、乳腺癌等,是癌癥檢測和治療的潛在生物標志物。
熱銷產品
Recombinant Human Glypican-1 (GPC1), partial (CSB-EP009703HU1)
驗證數據
(Tris-Glycine gel) Discontinuous SDS-PAGE (reduced) with 5% enrichment gel and 15% separation gel.
GPC1 Antibody (CSB-PA009703LA01HU)
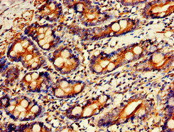
驗證數據
Immunohistochemistry of paraffin-embedded human small intestine tissue using CSB-PA009703LA01HU at dilution of 1:100
Immunohistochemistry of paraffin-embedded human placenta tissue using CSB-PA009703LA01HU at dilution of 1:100
Immunofluorescent analysis of MCF-7 cells using CSB-PA009703LA01HU at dilution of 1:100 and Alexa Fluor 488-congugated AffiniPure Goat Anti-Rabbit IgG(H+L)
GPC1 Antibodies
GPC1 for Homo sapiens (Human)
| 產品貨號 | 產品名稱 | 種屬反應性 | 應用類型 |
|---|---|---|---|
| CSB-PA009703GA01HU | GPC1 Antibody | Human,Mouse,Rat | ELISA,WB |
| CSB-PA009703LA01HU | GPC1 Antibody | Human | ELISA, IHC, IF |
| CSB-PA009703LB01HU | GPC1 Antibody, HRP conjugated | Human | ELISA |
| CSB-PA009703LC01HU | GPC1 Antibody, FITC conjugated | Human | |
| CSB-PA009703LD01HU | GPC1 Antibody, Biotin conjugated | Human | ELISA |
GPC1 Proteins
GPC1 Proteins for Homo sapiens (Human)
| 產品貨號 | 產品名稱 | 來源 |
|---|---|---|
| CSB-YP009703HU CSB-EP009703HU CSB-BP009703HU CSB-MP009703HU CSB-EP009703HU-B |
Recombinant Human Glypican-1 (GPC1) | Yeast E.coli Baculovirus Mammalian cell In Vivo Biotinylation in E.coli |
| CSB-EP009703HU1 | Recombinant Human Glypican-1 (GPC1), partial | E.coli |
GPC1 ELISA Kit
GPC1 ELISA Kit for Homo sapiens (Human)
| 產品貨號 | 產品名稱 | 樣本類型 | 靈敏度 |
|---|---|---|---|
| CSB-EL009703HU | Human glypican 1 (GPC1) ELISA kit | serum, plasma, tissue homogenates. | 0.039 ng/ml. |






