GPA33
GPA33,作為Ig超家族的重要成員,其結構由胞外區、跨膜結構域和胞內尾區構成,其中胞外區包含兩個Ig樣結構域,負責細胞間的識別和相互作用。GPA33主要在消化道上皮細胞表面表達,并參與細胞黏附、信號傳導以及免疫調節等生物學過程。通過其與其他細胞表面分子的相互作用,GPA33不僅維持組織的完整性和功能,還影響免疫應答的強度和方向,甚至參與炎癥過程。對GPA33結構和功能的深入研究,有助于我們更好地理解其在生理和病理過程中的作用,為相關疾病的治療提供新的思路和方法。
熱銷產品
GPA33 Recombinant Monoclonal Antibody (CSB-RA245537A0HU)
驗證數據
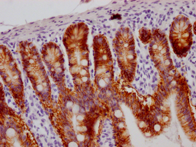
IHC image of CSB-RA245537A0HU diluted at 1:100 and staining in paraffin-embedded human small intestine tissue performed on a Leica BondTM system. After dewaxing and hydration, antigen retrieval was mediated by high pressure in a citrate buffer (pH 6.0). Section was blocked with 10% normal goat serum 30min at RT. Then primary antibody (1% BSA) was incubated at 4℃ overnight. The primary is detected by a Goat anti-rabbit IgG polymer labeled by HRP and visualized using 0.05% DAB.
IHC image of CSB-RA245537A0HU diluted at 1:100 and staining in paraffin-embedded human colon cancer performed on a Leica BondTM system. After dewaxing and hydration, antigen retrieval was mediated by high pressure in a citrate buffer (pH 6.0). Section was blocked with 10% normal goat serum 30min at RT. Then primary antibody (1% BSA) was incubated at 4℃ overnight. The primary is detected by a Goat anti-rabbit IgG polymer labeled by HRP and visualized using 0.05% DAB.
GPA33 Antibodies
GPA33 for Homo sapiens (Human)
| 產品貨號 | 產品名稱 | 種屬反應性 | 應用類型 |
|---|---|---|---|
| CSB-PA857459EA01HU | GPA33 Antibody | Human | ELISA, WB, IHC, IF |
| CSB-PA857459ED01HU | GPA33 Antibody, Biotin conjugated | Human | ELISA |
| CSB-PA029827 | GPA33 Antibody | Human | ELISA,IHC |
| CSB-PA055320 | GPA33 Antibody | Human | ELISA,WB,IHC |
| CSB-RA245537A0HU | GPA33 Recombinant Monoclonal Antibody | Human | ELISA, IHC |
GPA33 Proteins
GPA33 Proteins for Homo sapiens (Human)
| 產品貨號 | 產品名稱 | 來源 |
|---|---|---|
| CSB-YP857459HU CSB-EP857459HU CSB-BP857459HU CSB-MP857459HU CSB-EP857459HU-B |
Recombinant Human Cell surface A33 antigen (GPA33), partial | Yeast E.coli Baculovirus Mammalian cell In Vivo Biotinylation in E.coli |






