GNRH1
GNRH1,全稱為促性腺激素釋放激素(GnRH),一種重要的神經內分泌肽。GnRH全稱為人促性腺激素釋放激素1,別名包括GRH、LHRH、LNRH等。GnRH主要由下丘腦分泌,作用于垂體前葉,刺激促性腺激素(LH和FSH)的分泌,進而影響性腺功能。GnRH的表達具有脈沖性,這種模式對于維持生殖功能至關重要。GnRH還與多囊卵巢綜合征(PCOS)、子宮內膜異位癥等生殖系統疾病相關。目前,針對GnRH信號通路的藥物研發主要集中在激素調節方面,例如GnRH類似物用于避孕和治療性早熟,GnRH拮抗劑用于治療肥胖和不孕癥。此外,GnRH也受到多種因素的影響,包括性激素反饋、神經遞質和代謝信號等。
熱銷產品
驗證數據
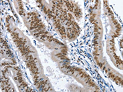
The image on the left is immunohistochemistry of paraffin-embedded Human colon cancer tissue using CSB-PA238659(GNRH1 Antibody) at dilution 1/70, on the right is treated with fusion protein. (Original magnification: ×200)
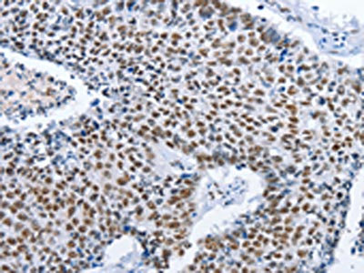
The image on the left is immunohistochemistry of paraffin-embedded Human lung cancer tissue using CSB-PA238659(GNRH1 Antibody) at dilution 1/70, on the right is treated with fusion protein. (Original magnification: ×200)
Human gonadotropin-releasing hormone,GnRH ELISA Kit (CSB-E06880h)
驗證數據
貨號:CSB-E06880h
規格:96T/48T
靈敏度:0.625 pg/ml
檢測范圍:2.5 pg/ml-100 pg/ml.
These standard curves are provided for demonstration only. A standard curve should be generated for each set of samples assayed.
GNRH1 Antibodies
GNRH1 for Homo sapiens (Human)
| 產品貨號 | 產品名稱 | 種屬反應性 | 應用類型 |
|---|---|---|---|
| CSB-PA008890 | GNRH1 Antibody | Human | IHC, ELISA |
| CSB-PA238659 | GNRH1 Antibody | Human | ELISA,IHC |
| CSB-PA199057 | GNRH1 Antibody | Human | ELISA,IHC |
GNRH1 Proteins
GNRH1 Proteins for Homo sapiens (Human)
| 產品貨號 | 產品名稱 | 來源 |
|---|---|---|
| CSB-YP009635HU CSB-EP009635HU CSB-BP009635HU CSB-MP009635HU CSB-EP009635HU-B |
Recombinant Human Progonadoliberin-1 (GNRH1) | Yeast E.coli Baculovirus Mammalian cell In Vivo Biotinylation in E.coli |
GNRH1 ELISA Kit
GNRH1 ELISA Kit for Homo sapiens (Human)
| 產品貨號 | 產品名稱 | 樣本類型 | 靈敏度 |
|---|---|---|---|
| CSB-E06880h | Human gonadotropin-releasing hormone,GnRH ELISA Kit | serum, plasma, tissue homogenates | 0.625 pg/ml |






