GAA
GAA,又被稱為LYAG(Lysosomal alpha-glucosidase),溶酶體α-葡糖苷酶是一種關鍵的酶,它在溶酶體中發揮重要作用,參與糖原的分解過程,確保糖原被正確降解為葡萄糖分子以維持細胞能量代謝和其他生物過程的正常進行。然而,當溶酶體α-葡糖苷酶出現缺陷或功能失調時,會引發一系列遺傳性疾病,其中最具代表性的是龐貝病。龐貝病是一種由該酶缺乏或功能不足導致的常染色體隱性遺傳病,表現為糖原在溶酶體內積累,引發肌無力、心臟肥大等臨床癥狀。
熱銷產品
GAA Recombinant Monoclonal Antibody
驗證數據
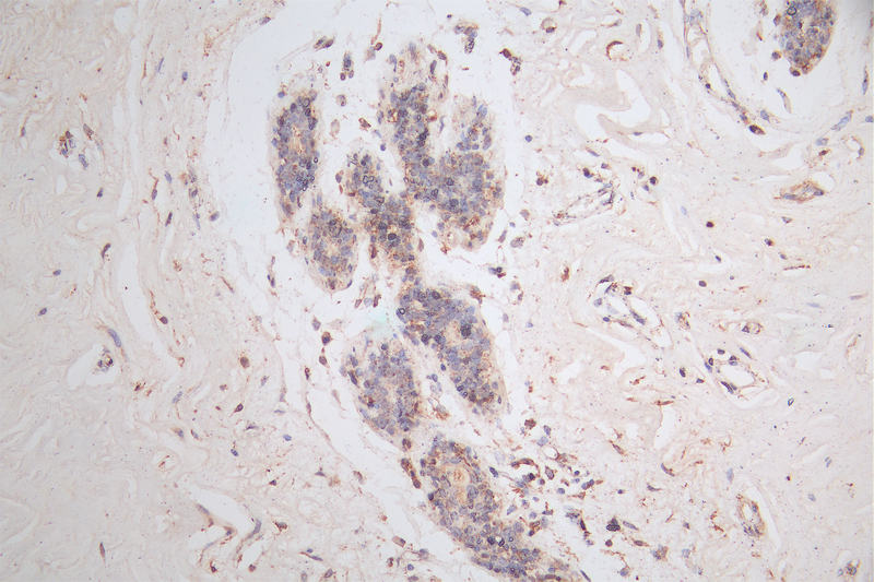
IHC image of CSB-RA566370A0HU diluted at 1:50 and staining in paraffin-embedded human breast cancer performed on a Leica BondTM system. After dewaxing and hydration, antigen retrieval was mediated by high pressure in a citrate buffer (pH 6.0). Section was blocked with 10% normal goat serum 30min at RT. Then primary antibody (1% BSA) was incubated at 4°C overnight. The primary is detected by a Goat anti-rabbit polymer IgG labeled by HRP and visualized using 0.15% DAB.
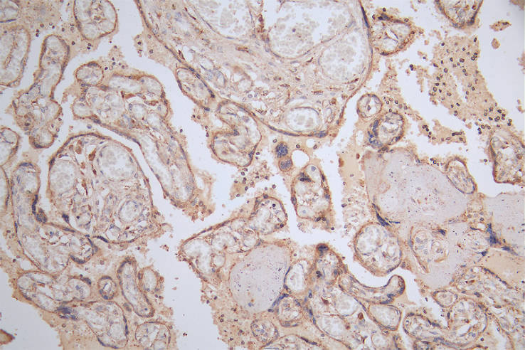
IHC image of CSB-RA566370A0HU diluted at 1:50 and staining in paraffin-embedded human placenta tissue performed on a Leica BondTM system. After dewaxing and hydration, antigen retrieval was mediated by high pressure in a citrate buffer (pH 6.0). Section was blocked with 10% normal goat serum 30min at RT. Then primary antibody (1% BSA) was incubated at 4°C overnight. The primary is detected by a Goat anti-rabbit polymer IgG labeled by HRP and visualized using 0.15% DAB.
GAA Antibodies
GAA for Homo sapiens (Human)
| 產品貨號 | 產品名稱 | 種屬反應性 | 應用類型 |
|---|---|---|---|
| CSB-PA009125GA01HU | GAA Antibody | Human,Mouse,Rat | ELISA,WB,IHC |
| CSB-PA009125LA01HU | GAA Antibody | Human, Mouse | ELISA, WB, IHC, IF |
| CSB-PA009125LB01HU | GAA Antibody, HRP conjugated | Human | ELISA |
| CSB-PA009125LC01HU | GAA Antibody, FITC conjugated | Human | |
| CSB-PA009125LD01HU | GAA Antibody, Biotin conjugated | Human | ELISA |
| CSB-RA566370A0HU | GAA Recombinant Monoclonal Antibody | Human | ELISA, IHC |
GAA Proteins
GAA Proteins for Homo sapiens (Human)
| 產品貨號 | 產品名稱 | 來源 |
|---|---|---|
| CSB-YP009125HU CSB-EP009125HU CSB-BP009125HU CSB-MP009125HU CSB-EP009125HU-B |
Recombinant Human Lysosomal alpha-glucosidase (GAA), partial | Yeast E.coli Baculovirus Mammalian cell In Vivo Biotinylation in E.coli |
GAA ELISA Kit
GAA ELISA Kit for Homo sapiens (Human)
| 產品貨號 | 產品名稱 | 樣本類型 | 靈敏度 |
|---|---|---|---|
| CSB-EL009125HU | Human Lysosomal alpha-glucosidase(GAA) ELISA kit | serum, plasma, tissue homogenates, cell lysates | 6.25 pg/mL |






