FOXM1
FOXM1,全稱為叉頭框蛋白M1,是一種與細胞周期調控密切相關的轉錄因子蛋白。該蛋白在多種癌癥中過表達,如肺癌、肝癌、乳腺癌、腦癌等,是癌癥發生和發展的關鍵驅動因素。FOXM1的常見別名包括FKHL16、FOXM1B、HFH-11、HFH11、HNF-3、INS-1、MPHOSPH2、MPP-2、MPP2、PIG29、TGT3和TRIDENT。FOXM1在正常成人胸腺和睪丸中高表達,在肺和腸道中中度表達。研究表明,FOXM1的異常上調會導致細胞基因組不穩定,進而引發癌癥病變。FOXM1的表達成為癌癥測試和預防藥物開發的重點。目前,針對FOXM1的靶向治療研究主要集中在RNA干擾和特異性抑制劑等方面,但多集中在細胞層面,尚未有動物體內試驗和人體試驗。FOXM1有望成為胰腺癌診斷、評估治療及預后的重要指標,并成為治療胰腺癌的新靶點。
熱銷產品
Recombinant Human Forkhead box protein M1 (FOxM1), partial (CSB-EP008828HU1)
驗證數據
(Tris-Glycine gel) Discontinuous SDS-PAGE (reduced) with 5% enrichment gel and 15% separation gel.
FOXM1 Antibody (CSB-PA008828HA01HU)
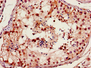
驗證數據
Immunohistochemistry of paraffin-embedded human testis tissue using CSB-PA008828HA01HU at dilution of 1:100
FOXM1 Antibodies
FOXM1 for Homo sapiens (Human)
| 產品貨號 | 產品名稱 | 種屬反應性 | 應用類型 |
|---|---|---|---|
| CSB-PA008828GA01HU | FOXM1 Antibody | Human,Mouse,Rat | ELISA,WB |
| CSB-PA008828HA01HU | FOXM1 Antibody | Human | ELISA, IHC |
| CSB-PA008828HB01HU | FOXM1 Antibody, HRP conjugated | Human | ELISA |
| CSB-PA008828HC01HU | FOXM1 Antibody, FITC conjugated | Human | |
| CSB-PA008828HD01HU | FOXM1 Antibody, Biotin conjugated | Human | ELISA |
FOXM1 Proteins
FOXM1 Proteins for Rattus norvegicus (Rat)
| 產品貨號 | 產品名稱 | 來源 |
|---|---|---|
| CSB-YP008828RA CSB-EP008828RA CSB-BP008828RA CSB-MP008828RA CSB-EP008828RA-B |
Recombinant Rat Forkhead box protein M1 (Foxm1) | Yeast E.coli Baculovirus Mammalian cell In Vivo Biotinylation in E.coli |
FOXM1 Proteins for Mus musculus (Mouse)
| 產品貨號 | 產品名稱 | 來源 |
|---|---|---|
| CSB-YP008828MO CSB-EP008828MO CSB-BP008828MO CSB-MP008828MO CSB-EP008828MO-B |
Recombinant Mouse Forkhead box protein M1 (Foxm1) | Yeast E.coli Baculovirus Mammalian cell In Vivo Biotinylation in E.coli |
FOXM1 Proteins for Xenopus laevis (African clawed frog)
| 產品貨號 | 產品名稱 | 來源 |
|---|---|---|
| CSB-YP716588XBE CSB-EP716588XBE CSB-BP716588XBE CSB-MP716588XBE CSB-EP716588XBE-B |
Recombinant Xenopus laevis Forkhead box protein M1 (foxm1), partial | Yeast E.coli Baculovirus Mammalian cell In Vivo Biotinylation in E.coli |
FOXM1 Proteins for Homo sapiens (Human)
| 產品貨號 | 產品名稱 | 來源 |
|---|---|---|
| CSB-EP008828HU | Recombinant Human Forkhead box protein M1 (FOxM1), partial | E.coli |
| CSB-EP008828HU1 | Recombinant Human Forkhead box protein M1 (FOxM1), partial | E.coli |






