FLNA
Filamin A(常被稱為細絲蛋白A或ABP-280)是細胞內重要的骨架蛋白,負責維持細胞形態與調控細胞活動。它像分子橋梁般連接肌動蛋白纖維,穩定細胞結構,還參與細胞間的信號交流,影響細胞移動、分化等過程。
FLNA異常會引發多種健康問題:部分X染色體相關遺傳病患者可能出現骨骼發育異常、心血管功能紊亂或神經系統癥狀;此外,其突變也與腫瘤進展有關,如某些白血病或實體瘤中,FLNA的變化可能促進癌細胞的侵襲和轉移。目前針對FLNA相關疾病的治療仍在探索階段,研究人員嘗試通過調節其功能來干預疾病進程,比如開發靶向它與其他蛋白相互作用的小分子藥物,但這些候選藥物大多處于實驗室研究或早期臨床試驗階段,尚未有成熟方案應用于臨床。
熱銷產品
Recombinant Human Filamin-A (FLNA), partial (CSB-EP008724HU)
驗證數據
(Tris-Glycine gel) Discontinuous SDS-PAGE (reduced) with 5% enrichment gel and 15% separation gel.
FLNA Recombinant Monoclonal Antibody (CSB-RA932766A0HU)
驗證數據
Flow cytometric analysis of FLNA expression in HepG2 cells using FLNA antibody. Green, isotype control; red, FLNA.
Western blotting analysis using FLNA antibody. Total cell lysates (30 μg) from various cell lines were loaded and separated by SDS-PAGE. The blot was incubated with FLNA antibody and HRP-conjugated goat rabbit secondary antibody respectively.
FLNA Antibody (CSB-PA008724LA01HU)
驗證數據
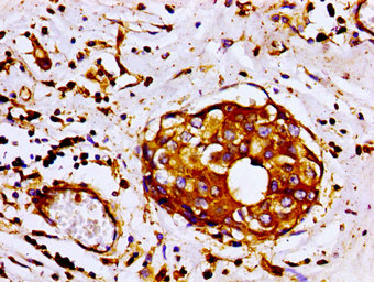
Immunohistochemistry of paraffin-embedded human breast cancer using CSB-PA008724LA01HU at dilution of 1:100
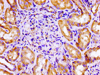
Immunohistochemistry of paraffin-embedded human kidney tissue using CSB-PA008724LA01HU at dilution of 1:100
Immunofluorescent analysis of Hela cells using CSB-PA008724LA01HU at dilution of 1:100 and Alexa Fluor 488-congugated AffiniPure Goat Anti-Rabbit IgG(H+L)
Human Filamin-A(FLNA) ELISA kit (CSB-EL008724HU)
驗證數據
貨號:CSB-EL008724HU
規格:96T/48T
靈敏度:4.68 pg/mL
檢測范圍:18.75 pg/mL-1200 pg/mL
These standard curves are provided for demonstration only. A standard curve should be generated for each set of samples assayed.
FLNA Antibodies
FLNA for Homo sapiens (Human)
| 產品貨號 | 產品名稱 | 種屬反應性 | 應用類型 |
|---|---|---|---|
| CSB-PA000688 | Phospho-FLNA (S2152) Antibody | Human,Mouse,Rat,Monkey | WB, IHC, ELISA |
| CSB-PA002535 | FLNA Antibody | Human,Mouse,Rat | WB, IHC, ELISA |
| CSB-PA985162 | FLNA Antibody | Human,Mouse | ELISA,WB,IHC |
| CSB-PA904028 | FLNA Antibody | Human,Mouse | ELISA,WB,IHC |
| CSB-PA008724LA01HU | FLNA Antibody | Human | ELISA, IHC, IF |
| CSB-PA008724LB01HU | FLNA Antibody, HRP conjugated | Human | ELISA |
| CSB-PA008724LC01HU | FLNA Antibody, FITC conjugated | Human | |
| CSB-PA008724LD01HU | FLNA Antibody, Biotin conjugated | Human | ELISA |
| CSB-RA548809A0HU | FLNA Recombinant Monoclonal Antibody | Human | ELISA, IHC |
| CSB-RA932766A0HU | FLNA Recombinant Monoclonal Antibody | Human, Mouse, Rat | ELISA, WB, FC |
FLNA Proteins
FLNA Proteins for Homo sapiens (Human)
| 產品貨號 | 產品名稱 | 來源 |
|---|---|---|
| CSB-YP008724HU CSB-BP008724HU CSB-MP008724HU CSB-EP008724HU-B |
Recombinant Human Filamin-A (FLNA), partial | Yeast Baculovirus Mammalian cell In Vivo Biotinylation in E.coli |
| CSB-EP008724HU | Recombinant Human Filamin-A (FLNA), partial | E.coli |
FLNA Proteins for Mus musculus (Mouse)
| 產品貨號 | 產品名稱 | 來源 |
|---|---|---|
| CSB-YP804854MO CSB-BP804854MO CSB-MP804854MO CSB-EP804854MO-B |
Recombinant Mouse Filamin-A (Flna), partial | Yeast Baculovirus Mammalian cell In Vivo Biotinylation in E.coli |
FLNA ELISA Kit
FLNA ELISA Kit for Homo sapiens (Human)
| 產品貨號 | 產品名稱 | 樣本類型 | 靈敏度 |
|---|---|---|---|
| CSB-EL008724HU | Human Filamin-A(FLNA) ELISA kit | serum, plasma, tissue homogenates, cell lysates | 4.68 pg/mL |






