FLCN
FLCN,即卵泡素,別名BHD、FLCL、DENND8B。FLCN是一種腫瘤抑制因子,可能通過AMPK和mTOR信號通路參與能量和/或營養感應,調節RPS6KB1的磷酸化。FLCN涉及多種細胞途徑,包括膜運輸、能量和營養穩態以及溶酶體生物發生,通過調節各種代謝途徑,包括線粒體的氧化代謝,維持細胞穩態。FLCN的突變與Birt-Hogg-Dubé綜合征(BHD綜合征)有關,這是一種常染色體顯性遺傳病,主要臨床表現為毛囊錯構瘤、腎囊腫和腎腫瘤等。
熱銷產品
驗證數據
The image on the left is immunohistochemistry of paraffin-embedded Human prostate cancer tissue using CSB-PA549292(FLCN Antibody) at dilution 1/40, on the right is treated with fusion protein. (Original magnification: ×200)
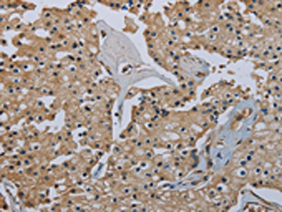
The image on the left is immunohistochemistry of paraffin-embedded Human brain tissue using CSB-PA549292(FLCN Antibody) at dilution 1/40, on the right is treated with fusion protein. (Original magnification: ×200)
Human Folliculin(FLCN) ELISA kit (CSB-EL008711HU)
驗證數據
貨號:CSB-EL008711HU
規格:96T/48T
靈敏度:3.9 pg/mL
檢測范圍:15.6 pg/mL-1000 pg/mL
These standard curves are provided for demonstration only. A standard curve should be generated for each set of samples assayed.
FLCN Antibodies
FLCN for Homo sapiens (Human)
| 產品貨號 | 產品名稱 | 種屬反應性 | 應用類型 |
|---|---|---|---|
| CSB-PA008711GA01HU | FLCN Antibody | Human,Mouse,Rat | ELISA,WB |
| CSB-PA549292 | FLCN Antibody | Human,Mouse,Rat | ELISA,IHC |
| CSB-PA797254 | FLCN Antibody | Human,Mouse,Rat | ELISA,IHC |
| CSB-PA008711HA01HU | FLCN Antibody | Human | ELISA, IHC |
| CSB-PA008711HC01HU | FLCN Antibody, FITC conjugated | Human | |
| CSB-PA008711HD01HU | FLCN Antibody, Biotin conjugated | Human | ELISA |
FLCN Proteins
FLCN Proteins for Xenopus tropicalis (Western clawed frog) (Silurana tropicalis)
| 產品貨號 | 產品名稱 | 來源 |
|---|---|---|
| CSB-YP008711XBF CSB-EP008711XBF CSB-BP008711XBF CSB-MP008711XBF CSB-EP008711XBF-B |
Recombinant Xenopus tropicalis Folliculin (flcn), partial | Yeast E.coli Baculovirus Mammalian cell In Vivo Biotinylation in E.coli |
FLCN Proteins for Rattus norvegicus (Rat)
| 產品貨號 | 產品名稱 | 來源 |
|---|---|---|
| CSB-YP008711RA CSB-EP008711RA CSB-BP008711RA CSB-MP008711RA CSB-EP008711RA-B |
Recombinant Rat Folliculin (Flcn) | Yeast E.coli Baculovirus Mammalian cell In Vivo Biotinylation in E.coli |
FLCN Proteins for Homo sapiens (Human)
| 產品貨號 | 產品名稱 | 來源 |
|---|---|---|
| CSB-YP008711HU CSB-BP008711HU CSB-MP008711HU CSB-EP008711HU-B |
Recombinant Human Folliculin (FLCN) | Yeast Baculovirus Mammalian cell In Vivo Biotinylation in E.coli |
FLCN Proteins for Mus musculus (Mouse)
| 產品貨號 | 產品名稱 | 來源 |
|---|---|---|
| CSB-YP008711MO CSB-EP008711MO CSB-BP008711MO CSB-MP008711MO CSB-EP008711MO-B |
Recombinant Mouse Folliculin (Flcn) | Yeast E.coli Baculovirus Mammalian cell In Vivo Biotinylation in E.coli |
FLCN Proteins for Bos taurus (Bovine)
| 產品貨號 | 產品名稱 | 來源 |
|---|---|---|
| CSB-YP008711BO CSB-EP008711BO CSB-BP008711BO CSB-MP008711BO CSB-EP008711BO-B |
Recombinant Bovine Folliculin (FLCN), partial | Yeast E.coli Baculovirus Mammalian cell In Vivo Biotinylation in E.coli |
FLCN ELISA Kit
FLCN ELISA Kit for Homo sapiens (Human)
| 產品貨號 | 產品名稱 | 樣本類型 | 靈敏度 |
|---|---|---|---|
| CSB-EL008711HU | Human Folliculin(FLCN) ELISA kit | serum, plasma, tissue homogenates, cell lysates | 3.9 pg/mL |






