FKBP1A
FKBP1A,即FKBP脯氨酸異構酶1A,別名FKBP12。它是一種在細胞內具有多種生物學功能的蛋白質,由人體細胞自身的基因編碼。FKBP1A的作用機制涉及到其作為順式/反式肽基脯氨酰異構酶(cis/trans peptidyl prolyl isomerase, PPIase)的活性,這種酶能夠催化蛋白質肽鏈中脯氨酸殘基的順式和反式構象的相互轉換,從而參與蛋白質的折疊和穩定性調節。FKBP1A還參與調節包括mTOR/AKT信號通路在內的多種信號傳導途徑。FKBP1A在生物學上的意義主要體現在其參與調節的多種細胞生理過程,包括細胞增殖、代謝、免疫反應等。在腫瘤生物學中,FKBP1A被發現在多種癌癥中表達上調,并與腫瘤的惡性行為相關。例如,在胃癌中,FKBP1A的高表達與患者的不良預后相關,并且可能通過激活PI3K/AKT信號通路來促進癌細胞的糖代謝和惡性生物學行為。此外,FKBP1A還涉及炎癥相關信號通路的調節,對炎癥、適應性免疫反應、癌癥和發育生物學等過程具有重要作用。
熱銷產品
Recombinant Human Peptidyl-prolyl cis-trans isomerase FKBP1A (FKBP1A), partial (CSB-EP008691HU1)
驗證數據
(Tris-Glycine gel) Discontinuous SDS-PAGE (reduced) with 5% enrichment gel and 15% separation gel.
FKBP1A Antibody (CSB-PA02325A0Rb)
驗證數據
Western blot
All lanes: FKBP1A antibody at 2µg/ml
Lane 1: EC109 whole cell lysate
Lane 2: 293T whole cell lysate
Secondary
Goat polyclonal to rabbit IgG at 1/15000 dilution
Predicted band size: 12 kDa
Observed band size: 12 kDa
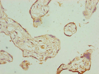
Immunohistochemistry of paraffin-embedded human placenta tissue using CSB-PA02325A0Rb at dilution of 1:100
Immunofluorescent analysis of MCF-7 cells using CSB-PA02325A0Rb at dilution of 1:100 and Alexa Fluor 488-congugated AffiniPure Goat Anti-Rabbit IgG(H+L)
FKBP1A Antibodies
FKBP1A for Homo sapiens (Human)
| 產品貨號 | 產品名稱 | 種屬反應性 | 應用類型 |
|---|---|---|---|
| CSB-PA02325A0Rb | FKBP1A Antibody | Human | ELISA, WB, IHC, IF |
| CSB-PA02325B0Rb | FKBP1A Antibody, HRP conjugated | Human | ELISA |
| CSB-PA02325D0Rb | FKBP1A Antibody, Biotin conjugated | Human | ELISA |
| CSB-PA008691GA01HU | FKBP1A Antibody | Human,Mouse,Rat | ELISA,WB,IHC |
FKBP1A Proteins
FKBP1A Proteins for Homo sapiens (Human)
| 產品貨號 | 產品名稱 | 來源 |
|---|---|---|
| CSB-YP008691HU CSB-EP008691HU CSB-BP008691HU CSB-MP008691HU CSB-EP008691HU-B |
Recombinant Human Peptidyl-prolyl cis-trans isomerase FKBP1A (FKBP1A) | Yeast E.coli Baculovirus Mammalian cell In Vivo Biotinylation in E.coli |
| CSB-EP008691HU1 | Recombinant Human Peptidyl-prolyl cis-trans isomerase FKBP1A (FKBP1A), partial | E.coli |






