FGG
纖維蛋白原γ鏈(Fibrinogen Gamma Chain,FGG)是纖維蛋白原復合物的核心組分,與α、β鏈共同構成血漿中重要的凝血蛋白,在UniProt中記錄為FGgamma或Fibrinogen gamma polypeptide。該蛋白在凝血級聯反應中發揮關鍵作用,凝血酶將其切割后釋放纖維蛋白單體,通過交聯形成網狀結構,穩定血栓并促進傷口愈合。其異常表達或功能缺陷可能引發先天性纖維蛋白原缺乏癥,表現為出血傾向或異常血栓形成,部分突變還與遺傳性淀粉樣變性相關。臨床研究發現,血漿FGG水平升高與動脈粥樣硬化、深靜脈血栓及腫瘤轉移風險顯著相關,尤其在肝癌、胰腺癌中常作為預后標志物。目前針對纖維蛋白原的藥物以抗凝劑為主,如直接凝血酶抑制劑比伐盧定,而針對FGG特異性的單克隆抗體尚處于臨床前研究階段。近年來,基于FGG結構設計的靶向纖維蛋白溶解療法在溶栓藥物開發中受到關注,例如改良型組織纖溶酶原激活劑(tPA)的增效策略已進入Ⅱ期臨床試驗。
熱銷產品
Recombinant Human Fibrinogen gamma chain (FGG) (CSB-EP008651HU)
驗證數據
(Tris-Glycine gel) Discontinuous SDS-PAGE (reduced) with 5% enrichment gel and 15% separation gel.
FGG Antibody (CSB-PA008651LA01HU)
驗證數據
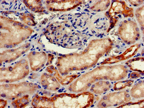
Immunohistochemistry of paraffin-embedded human kidney tissue using CSB-PA008651LA01HU at dilution of 1:100
Immunofluorescent analysis of Hela cells using CSB-PA008651LA01HU at dilution of 1:100 and Alexa Fluor 488-congugated AffiniPure Goat Anti-Rabbit IgG(H+L)
Western Blot
Positive WB detected in: Mouse heart tissue
All lanes: FGG antibody at 2.7μg/ml
Secondary
Goat polyclonal to rabbit IgG at 1/50000 dilution
Predicted band size: 52, 50 kDa
Observed band size: 52 kDa
Human Fibrinogen Gamma Chain (FGG)ELISA Kit (CSB-E13319h)
驗證數據
貨號:CSB-E13319h
規格:96T/48T
靈敏度:31.25 ng/mL
檢測范圍:125 ng/mL-8000 ng/mL
These standard curves are provided for demonstration only. A standard curve should be generated for each set of samples assayed.
FGG Antibodies
FGG for Homo sapiens (Human)
| 產品貨號 | 產品名稱 | 種屬反應性 | 應用類型 |
|---|---|---|---|
| CSB-PA008651GA01HU | FGG Antibody | Human,Mouse,Rat | ELISA,WB |
| CSB-PA008651LA01HU | FGG Antibody | Human, Mouse | ELISA, WB, IHC, IF |
| CSB-PA008651LB01HU | FGG Antibody, HRP conjugated | Human | ELISA |
| CSB-PA008651LC01HU | FGG Antibody, FITC conjugated | Human | |
| CSB-PA008651LD01HU | FGG Antibody, Biotin conjugated | Human | ELISA |
FGG Proteins
FGG Proteins for Canis familiaris (Dog) (Canis lupus familiaris)
| 產品貨號 | 產品名稱 | 來源 |
|---|---|---|
| CSB-YP008651DO CSB-EP008651DO CSB-BP008651DO CSB-MP008651DO CSB-EP008651DO-B |
Recombinant Dog Fibrinogen gamma chain (FGG) | Yeast E.coli Baculovirus Mammalian cell In Vivo Biotinylation in E.coli |
FGG Proteins for Rattus norvegicus (Rat)
| 產品貨號 | 產品名稱 | 來源 |
|---|---|---|
| CSB-YP008651RA CSB-EP008651RA CSB-BP008651RA CSB-MP008651RA CSB-EP008651RA-B |
Recombinant Rat Fibrinogen gamma chain (Fgg) | Yeast E.coli Baculovirus Mammalian cell In Vivo Biotinylation in E.coli |
FGG Proteins for Homo sapiens (Human)
| 產品貨號 | 產品名稱 | 來源 |
|---|---|---|
| CSB-YP008651HU CSB-BP008651HU CSB-MP008651HU CSB-EP008651HU-B |
Recombinant Human Fibrinogen gamma chain (FGG) | Yeast Baculovirus Mammalian cell In Vivo Biotinylation in E.coli |
| CSB-EP008651HU | Recombinant Human Fibrinogen gamma chain (FGG) | E.coli |
FGG Proteins for Xenopus laevis (African clawed frog)
| 產品貨號 | 產品名稱 | 來源 |
|---|---|---|
| CSB-YP008651XBE CSB-EP008651XBE CSB-BP008651XBE CSB-MP008651XBE CSB-EP008651XBE-B |
Recombinant Xenopus laevis Fibrinogen gamma chain (fgg) | Yeast E.coli Baculovirus Mammalian cell In Vivo Biotinylation in E.coli |
FGG Proteins for Petromyzon marinus (Sea lamprey)
| 產品貨號 | 產品名稱 | 來源 |
|---|---|---|
| CSB-YP008651EUC CSB-EP008651EUC CSB-BP008651EUC CSB-MP008651EUC CSB-EP008651EUC-B |
Recombinant Petromyzon marinus Fibrinogen gamma chain (FGG) | Yeast E.coli Baculovirus Mammalian cell In Vivo Biotinylation in E.coli |
FGG Proteins for Mus musculus (Mouse)
| 產品貨號 | 產品名稱 | 來源 |
|---|---|---|
| CSB-YP008651MO CSB-EP008651MO CSB-BP008651MO CSB-MP008651MO CSB-EP008651MO-B |
Recombinant Mouse Fibrinogen gamma chain (Fgg) | Yeast E.coli Baculovirus Mammalian cell In Vivo Biotinylation in E.coli |
FGG ELISA Kit
FGG ELISA Kit for Homo sapiens (Human)
| 產品貨號 | 產品名稱 | 樣本類型 | 靈敏度 |
|---|---|---|---|
| CSB-E13319h | Human Fibrinogen Gamma Chain (FGG)ELISA Kit | serum, plasma, tissue homogenates | 31.25 ng/mL |






