FGFR4
FGFR4,即成纖維細胞生長因子受體4,別名JTK2、TKF、Fibroblast growth factor receptor 4,是一種重要的酪氨酸激酶受體。FGFR4由FGFR4基因編碼,廣泛分布于骨骼、腎臟和肝臟等組織中。其作用機制主要是通過與成纖維細胞生長因子結合,激活下游的RAS/RAF/MEK/ERK和PI3K/AKT等信號通路,從而調控細胞的增殖、分化、遷移和存活。FGFR4在骨骼發育、腎臟功能維持等生物學過程中發揮著關鍵作用。異常的FGFR4活性與多種疾病如骨骼畸形、癌癥和腎臟疾病等有關,使其成為藥物開發的重要靶點。
熱銷產品
FGFR4 Recombinant Monoclonal Antibody (CSB-RA927449A0HU)
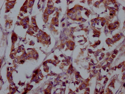
驗證數據
IHC image of CSB-RA927449A0HU diluted at 1:100 and staining in paraffin-embedded human breast cancer performed on a Leica BondTM system. After dewaxing and hydration, antigen retrieval was mediated by high pressure in a citrate buffer (pH 6.0). Section was blocked with 10% normal goat serum 30min at RT. Then primary antibody (1% BSA) was incubated at 4℃ overnight. The primary is detected by a Goat anti-rabbit IgG polymer labeled by HRP and visualized using 0.05% DAB.
FGFR4 Antibodies
FGFR4 for Homo sapiens (Human)
| 產品貨號 | 產品名稱 | 種屬反應性 | 應用類型 |
|---|---|---|---|
| CSB-PA008648GA01HU | FGFR4 Antibody | Human,Mouse,Rat | ELISA,WB,IHC |
| CSB-PA556085 | FGFR4 Antibody | Human,Mouse,Rat | ELISA,WB |
| CSB-PA977910 | Phospho-FGFR4 (Tyr642) Antibody | Human,Mouse,Rat | ELISA,WB |
| CSB-PA008250 | Phospho-FGFR4 (Y642) Antibody | Human,Mouse,Rat | WB, ELISA |
| CSB-PA604644 | FGFR4 Antibody | Human | WB, ELISA |
| CSB-PA008648LA01HU | FGFR4 Antibody | Human | ELISA, IHC, IF |
| CSB-PA008648LB01HU | FGFR4 Antibody, HRP conjugated | Human | ELISA |
| CSB-PA008648LC01HU | FGFR4 Antibody, FITC conjugated | Human | |
| CSB-PA008648LD01HU | FGFR4 Antibody, Biotin conjugated | Human | ELISA |
| CSB-RA927449A0HU | FGFR4 Recombinant Monoclonal Antibody | Human | ELISA, IHC |
FGFR4 Proteins
FGFR4 Proteins for Homo sapiens (Human)
| 產品貨號 | 產品名稱 | 來源 |
|---|---|---|
| CSB-YP008648HU1 CSB-EP008648HU1 CSB-BP008648HU1 CSB-EP008648HU1-B |
Recombinant Human Fibroblast growth factor receptor 4 (FGFR4), partial | Yeast E.coli Baculovirus In Vivo Biotinylation in E.coli |
| CSB-CF008648HU | Recombinant Human Fibroblast growth factor receptor 4 (FGFR4) | in vitro E.coli expression system |
FGFR4 Proteins for Danio rerio (Zebrafish) (Brachydanio rerio)
| 產品貨號 | 產品名稱 | 來源 |
|---|---|---|
| CSB-YP008648DIL CSB-EP008648DIL CSB-BP008648DIL CSB-MP008648DIL CSB-EP008648DIL-B |
Recombinant Danio rerio Fibroblast growth factor receptor 4 (fgfr4), partial | Yeast E.coli Baculovirus Mammalian cell In Vivo Biotinylation in E.coli |
FGFR4 Proteins for Coturnix coturnix (Common quail) (Tetrao coturnix)
| 產品貨號 | 產品名稱 | 來源 |
|---|---|---|
| CSB-YP008648CRA CSB-EP008648CRA CSB-BP008648CRA CSB-MP008648CRA CSB-EP008648CRA-B |
Recombinant Coturnix coturnix Fibroblast growth factor receptor 4 (FGFR4), partial | Yeast E.coli Baculovirus Mammalian cell In Vivo Biotinylation in E.coli |
FGFR4 Proteins for Pleurodeles waltl (Iberian ribbed newt)
| 產品貨號 | 產品名稱 | 來源 |
|---|---|---|
| CSB-YP008648EWZ CSB-EP008648EWZ CSB-BP008648EWZ CSB-MP008648EWZ CSB-EP008648EWZ-B |
Recombinant Pleurodeles waltl Fibroblast growth factor receptor 4 (FGFR4), partial | Yeast E.coli Baculovirus Mammalian cell In Vivo Biotinylation in E.coli |
FGFR4 Proteins for Xenopus laevis (African clawed frog)
| 產品貨號 | 產品名稱 | 來源 |
|---|---|---|
| CSB-YP008648XBE CSB-EP008648XBE CSB-BP008648XBE CSB-MP008648XBE CSB-EP008648XBE-B |
Recombinant Xenopus laevis Fibroblast growth factor receptor 4 (fgfr4), partial | Yeast E.coli Baculovirus Mammalian cell In Vivo Biotinylation in E.coli |
FGFR4 Proteins for Rattus norvegicus (Rat)
| 產品貨號 | 產品名稱 | 來源 |
|---|---|---|
| CSB-YP008648RA CSB-EP008648RA CSB-BP008648RA CSB-MP008648RA CSB-EP008648RA-B |
Recombinant Rat Fibroblast growth factor receptor 4 (Fgfr4), partial | Yeast E.coli Baculovirus Mammalian cell In Vivo Biotinylation in E.coli |






