FGF1
FGF1,即成纖維細胞生長因子1,是一種重要的信號蛋白,也被稱為酸性成纖維細胞生長因子(aFGF)。該蛋白參與多種生理過程,包括細胞增殖、血管生成和組織修復。FGF1通過與成纖維細胞生長因子受體(FGFR)結合,激活下游信號級聯反應,從而影響細胞行為和基因表達。在疾病方面,FGF1與肥胖、2型糖尿病、非酒精性脂肪性肝病、癌癥和心臟病等多種疾病相關。研究表明,FGF1在調節肝臟炎癥、維持穩態以及抗氧化應激等方面發揮重要作用。然而,長期使用FGF1可能導致腫瘤發生風險增加,限制了其在臨床治療中的應用。目前,研究人員正致力于開發針對FGF1的靶向藥物,以降低其副作用并提高治療效果。例如,溫州醫科大學的李校堃團隊發現FGF1在腸肝疾病中的關鍵作用,為開發基于FGF1的精準治療策略提供了新思路。
熱銷產品
Recombinant Human Fibroblast growth factor 1 (FGF1) (CSB-EP008615HU)
驗證數據
(Tris-Glycine gel) Discontinuous SDS-PAGE (reduced) with 5% enrichment gel and 15% separation gel.
FGF1 Recombinant Monoclonal Antibody (CSB-RA008615MA1HU)
驗證數據
Immunofluorescence staining of U251 cell with CSB-RA008615MA1HU at 1:200, counter-stained with DAPI. The cells were fixed in 4% formaldehyde and blocked in 10% normal Goat Serum. The cells were then incubated with the antibody overnight at 4C. The secondary antibody was FITC-conjugated AffiniPure Goat Anti-Mouse IgG(H+L).
Overlay Peak curve showing PC-3 cells stained with CSB-RA008615MA1HU (red line) at 1:200. The cells were fixed in 4% formaldehyde and permeated by 0.2% TritonX-100. Then 10% normal goat serum to block non-specific protein-protein interactions followed by the antibody (1ug/1*106cells) for 45min at 4℃. The secondary antibody used was FITC-conjugated Goat Anti-Mouse IgG(H+L) at 1:200 dilution for 35min at 4℃.Control antibody (green line) was mouse IgG (1ug/1*106cells) used under the same conditions. Acquisition of >10,000 events was performed.
FGF1 Antibody (CSB-PA008615ESR1HU)
驗證數據
Western blot
All lanes: Fibroblast growth factor 1 antibody at 6μg/ml
Lane 1: Mouse kidney tissue
Lane 2: Mouse heart tissue
Secondary
Goat polyclonal to rabbit IgG at 1/10000 dilution
Predicted band size: 18, 7 kDa
Observed band size: 18 kDa
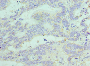
Immunohistochemistry of paraffin-embedded human colon cancer using CSB-PA008615ESR1HU at dilution of 1:100
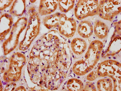
IHC image of CSB-PA008615ESR1HU diluted at 1:289 and staining in paraffin-embedded human kidney tissue performed on a Leica BondTM system. After dewaxing and hydration, antigen retrieval was mediated by high pressure in a citrate buffer (pH 6.0). Section was blocked with 10% normal goat serum 30min at RT. Then primary antibody (1% BSA) was incubated at 4°C overnight. The primary is detected by a biotinylated secondary antibody and visualized using an HRP conjugated SP system.
IHC image of CSB-PA008615ESR1HU diluted at 1:289 and staining in paraffin-embedded human brain tissue performed on a Leica BondTM system. After dewaxing and hydration, antigen retrieval was mediated by high pressure in a citrate buffer (pH 6.0). Section was blocked with 10% normal goat serum 30min at RT. Then primary antibody (1% BSA) was incubated at 4°C overnight. The primary is detected by a biotinylated secondary antibody and visualized using an HRP conjugated SP system.
Immunofluorescence staining of Hela cells with CSB-PA008615ESR1HU at 1:96, counter-stained with DAPI. The cells were fixed in 4% formaldehyde, permeabilized using 0.2% Triton X-100 and blocked in 10% normal Goat Serum. The cells were then incubated with the antibody overnight at 4°C. The secondary antibody was Alexa Fluor 488-congugated AffiniPure Goat Anti-Rabbit IgG(H+L).
Human acidic fibroblast growth factor,aFGF/FGF-1 ELISA Kit (CSB-E04546h)
驗證數據
貨號:CSB-E04546h
規格:96T/48T
靈敏度:3.9 pg/mL
檢測范圍:15.6 pg/mL-1000 pg/mL
These standard curves are provided for demonstration only. A standard curve should be generated for each set of samples assayed.
FGF1 Antibodies
FGF1 for Homo sapiens (Human)
| 產品貨號 | 產品名稱 | 種屬反應性 | 應用類型 |
|---|---|---|---|
| CSB-PA008615GA01HU | FGF1 Antibody | Human,Mouse,Rat | ELISA,IHC |
| CSB-PA06379A0Rb | FGF1 Antibody | Human | ELISA |
| CSB-PA06379B0Rb | FGF1 Antibody, HRP conjugated | Human | ELISA |
| CSB-PA008615ESR1HU | FGF1 Antibody | Human, Mouse | ELISA, WB, IHC, IF |
| CSB-PA008615ESR2HU | FGF1 Antibody | Human | ELISA, IHC, IF |
| CSB-PA008237 | FGF1 Antibody | Human,Mouse,Rat | IHC, ELISA |
| CSB-PA954065 | FGF1 Antibody | Human,Mouse,Rat | ELISA,IHC |
| CSB-PA449957 | FGF1 Antibody | Human,Mouse,Rat | ELISA,IHC |
| CSB-RA008615MA1HU | FGF1 Recombinant Monoclonal Antibody | Human | ELISA, IF, FC |
FGF1 for Mus musculus (Mouse)
| 產品貨號 | 產品名稱 | 種屬反應性 | 應用類型 |
|---|---|---|---|
| CSB-PA008615HA01MO | Fgf1 Antibody | Mouse, Human | ELISA, WB, IHC |
FGF1 Proteins
FGF1 Proteins for Canis familiaris (Dog) (Canis lupus familiaris)
| 產品貨號 | 產品名稱 | 來源 |
|---|---|---|
| CSB-YP008615DO CSB-EP008615DO CSB-BP008615DO CSB-MP008615DO CSB-EP008615DO-B |
Recombinant Dog Fibroblast growth factor 1 (FGF1) | Yeast E.coli Baculovirus Mammalian cell In Vivo Biotinylation in E.coli |
FGF1 Proteins for Sus scrofa (Pig)
| 產品貨號 | 產品名稱 | 來源 |
|---|---|---|
| CSB-YP008615PI CSB-EP008615PI CSB-BP008615PI CSB-MP008615PI CSB-EP008615PI-B |
Recombinant Pig Fibroblast growth factor 1 (FGF1) | Yeast E.coli Baculovirus Mammalian cell In Vivo Biotinylation in E.coli |
FGF1 Proteins for Gallus gallus (Chicken)
| 產品貨號 | 產品名稱 | 來源 |
|---|---|---|
| CSB-EP008615CH CSB-BP008615CH CSB-MP008615CH CSB-EP008615CH-B |
Recombinant Chicken Fibroblast growth factor 1 (FGF1), partial | E.coli Baculovirus Mammalian cell In Vivo Biotinylation in E.coli |
FGF1 Proteins for Mus musculus (Mouse)
| 產品貨號 | 產品名稱 | 來源 |
|---|---|---|
| CSB-BP008615MO CSB-EP008615MO-B |
Recombinant Mouse Fibroblast growth factor 1 (Fgf1) | Baculovirus In Vivo Biotinylation in E.coli |
| CSB-EP008615MO | Recombinant Mouse Fibroblast growth factor 1 (Fgf1) | E.coli |
| CSB-AP004151MO | Recombinant Mouse Fibroblast growth factor 1 (Fgf1) (Active) | E.coli |
FGF1 Proteins for Rattus norvegicus (Rat)
| 產品貨號 | 產品名稱 | 來源 |
|---|---|---|
| CSB-YP008615RA CSB-EP008615RA CSB-BP008615RA CSB-MP008615RA CSB-EP008615RA-B |
Recombinant Rat Fibroblast growth factor 1 (Fgf1) | Yeast E.coli Baculovirus Mammalian cell In Vivo Biotinylation in E.coli |
FGF1 Proteins for Bos taurus (Bovine)
| 產品貨號 | 產品名稱 | 來源 |
|---|---|---|
| CSB-BP008615BO CSB-MP008615BO CSB-EP008615BO-B |
Recombinant Bovine Fibroblast growth factor 1 (FGF1) | Baculovirus Mammalian cell In Vivo Biotinylation in E.coli |
FGF1 Proteins for Homo sapiens (Human)
| 產品貨號 | 產品名稱 | 來源 |
|---|---|---|
| CSB-BP008615HU CSB-MP008615HU CSB-EP008615HU-B |
Recombinant Human Fibroblast growth factor 1 (FGF1) | Baculovirus Mammalian cell In Vivo Biotinylation in E.coli |
| CSB-EP008615HU | Recombinant Human Fibroblast growth factor 1 (FGF1) | E.coli |
| CSB-AP002391HU | Recombinant Human Fibroblast growth factor 1 protein (FGF1) | E.Coli |
| CSB-AP002381HU | Recombinant Human Fibroblast growth factor 1 protein (FGF1) (Active) | E.Coli |
| CSB-EP008615HUc7 | Recombinant Human Fibroblast growth factor 1 (FGF1) | E.coli |
| CSB-AP003761HU | Recombinant Human Fibroblast growth factor 1 (FGF1) (Active) | E.coli |
FGF1 Proteins for Mesocricetus auratus (Golden hamster)
| 產品貨號 | 產品名稱 | 來源 |
|---|---|---|
| CSB-YP327278MRG CSB-EP327278MRG CSB-BP327278MRG CSB-MP327278MRG CSB-EP327278MRG-B |
Recombinant Mesocricetus auratus Fibroblast growth factor 1 (FGF1) | Yeast E.coli Baculovirus Mammalian cell In Vivo Biotinylation in E.coli |
FGF1 Proteins for Pongo abelii (Sumatran orangutan)
| 產品貨號 | 產品名稱 | 來源 |
|---|---|---|
| CSB-YP689779PYX CSB-EP689779PYX CSB-BP689779PYX CSB-MP689779PYX CSB-EP689779PYX-B |
Recombinant Pongo abelii Fibroblast growth factor 1 (FGF1) | Yeast E.coli Baculovirus Mammalian cell In Vivo Biotinylation in E.coli |
FGF1 Proteins for Notophthalmus viridescens (Eastern newt) (Triturus viridescens)
| 產品貨號 | 產品名稱 | 來源 |
|---|---|---|
| CSB-YP742452NEO CSB-EP742452NEO CSB-BP742452NEO CSB-MP742452NEO CSB-EP742452NEO-B |
Recombinant Notophthalmus viridescens Fibroblast growth factor 1 (fgf1) | Yeast E.coli Baculovirus Mammalian cell In Vivo Biotinylation in E.coli |
FGF1 Proteins for Xenopus laevis (African clawed frog)
| 產品貨號 | 產品名稱 | 來源 |
|---|---|---|
| CSB-YP743425XBE CSB-EP743425XBE CSB-BP743425XBE CSB-MP743425XBE CSB-EP743425XBE-B |
Recombinant Xenopus laevis Fibroblast growth factor 1 (fgf1) | Yeast E.coli Baculovirus Mammalian cell In Vivo Biotinylation in E.coli |
FGF1 Proteins for Danio rerio (Zebrafish) (Brachydanio rerio)
| 產品貨號 | 產品名稱 | 來源 |
|---|---|---|
| CSB-YP754234DIL CSB-EP754234DIL CSB-BP754234DIL CSB-MP754234DIL CSB-EP754234DIL-B |
Recombinant Danio rerio Putative fibroblast growth factor 1 (fgf1) | Yeast E.coli Baculovirus Mammalian cell In Vivo Biotinylation in E.coli |
FGF1 Proteins for Cynops pyrrhogaster (Japanese common newt)
| 產品貨號 | 產品名稱 | 來源 |
|---|---|---|
| CSB-YP757082EQC CSB-EP757082EQC CSB-BP757082EQC CSB-MP757082EQC CSB-EP757082EQC-B |
Recombinant Cynops pyrrhogaster Fibroblast growth factor 1 (fgf1) | Yeast E.coli Baculovirus Mammalian cell In Vivo Biotinylation in E.coli |
FGF1 Proteins for Ovis aries (Sheep)
| 產品貨號 | 產品名稱 | 來源 |
|---|---|---|
| CSB-YP765993SH CSB-EP765993SH CSB-BP765993SH CSB-MP765993SH CSB-EP765993SH-B |
Recombinant Sheep Fibroblast growth factor 1 (FGF1) | Yeast E.coli Baculovirus Mammalian cell In Vivo Biotinylation in E.coli |
FGF1 Proteins for Capreolus capreolus (Roe deer)
| 產品貨號 | 產品名稱 | 來源 |
|---|---|---|
| CSB-YP868230DQB CSB-EP868230DQB CSB-BP868230DQB CSB-MP868230DQB CSB-EP868230DQB-B |
Recombinant Capreolus capreolus Fibroblast growth factor 1 (FGF1) | Yeast E.coli Baculovirus Mammalian cell In Vivo Biotinylation in E.coli |
FGF1 ELISA Kit
FGF1 ELISA Kit for Homo sapiens (Human)
| 產品貨號 | 產品名稱 | 樣本類型 | 靈敏度 |
|---|---|---|---|
| CSB-E04546h | Human acidic fibroblast growth factor,aFGF/FGF-1 ELISA Kit | serum, plasma, tissue homogenates | 3.9 pg/mL |
FGF1 ELISA Kit for Mus musculus (Mouse)
| 產品貨號 | 產品名稱 | 樣本類型 | 靈敏度 |
|---|---|---|---|
| CSB-E07327m | Mouse acidic fibroblast growth factor,aFGF/FGF-1 ELISA Kit | serum, plasma, tissue homogenates | 1.56 pg/mL |






