FCN1
FCN1全稱為纖維膠凝蛋白1,又稱Ficolin-1或血清L-ficolin,是固有免疫系統中重要的模式識別分子。該蛋白通過識別病原微生物表面的乙酰化糖結構,激活補體系統并促進吞噬細胞清除入侵病原體。FCN1功能異常與反復呼吸道感染、新生兒敗血癥等感染性疾病密切相關,同時與系統性紅斑狼瘡患者血清中補體異常活化存在關聯。近年研究還發現,纖維膠凝蛋白1在肺癌、結直腸癌等腫瘤微環境中呈現高表達,可能與腫瘤免疫逃逸機制相關。針對該蛋白的治療策略主要集中于開發重組蛋白制劑以增強抗感染能力,已有實驗證明其與甘露聚糖結合凝集素聯用可提升膿毒癥動物模型的存活率。此外,基于其與補體級聯反應的關聯特性,部分研究團隊正在探索將其作為慢性炎癥性疾病的新型生物標志物。
熱銷產品
FCN1 Antibody (CSB-PA008550ESR1HU)
驗證數據
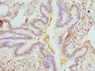
Immunohistochemistry of paraffin-embedded human lung tissue using CSB-PA008550ESR1HU at dilution of 1:100
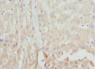
Immunohistochemistry of paraffin-embedded human liver tissue using CSB-PA008550ESR1HU at dilution of 1:100
FCN1 Antibodies
FCN1 for Homo sapiens (Human)
| 產品貨號 | 產品名稱 | 種屬反應性 | 應用類型 |
|---|---|---|---|
| CSB-PA008550GA01HU | FCN1 Antibody | Human | ELISA,WB |
| CSB-PA008550ESR1HU | FCN1 Antibody | Human | ELISA, IHC |
FCN1 Proteins
FCN1 Proteins for Homo sapiens (Human)
| 產品貨號 | 產品名稱 | 來源 |
|---|---|---|
| CSB-YP008550HU CSB-EP008550HU CSB-BP008550HU CSB-MP008550HU CSB-EP008550HU-B |
Recombinant Human Ficolin-1 (FCN1) | Yeast E.coli Baculovirus Mammalian cell In Vivo Biotinylation in E.coli |






