FCER1A
FCER1A,別名FCE1A、FCER1A、FcERI等。FCER1A由人類FCER1A基因編碼,該基因位于1號染色體的1q23.2區域。FCER1A是高親和力IgE受體的α亞基,與IgE分子的Fc區域結合,是一種高親和力受體。FCER1A的作用機制涉及與過敏原結合的IgE分子聚集,導致細胞激活和釋放如組胺等介質,引發過敏反應。FCER1A在過敏反應中發揮關鍵作用,其激活導致炎癥和即時超敏反應,這些反應是如花粉熱和哮喘等過敏性疾病的特征。
熱銷產品
驗證數據
(Tris-Glycine gel) Discontinuous SDS-PAGE (reduced) with 5% enrichment gel and 15% separation gel.
FCER1A Antibody (CSB-PA008532LA01HU)
驗證數據
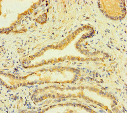
Immunohistochemistry of paraffin-embedded human prostate cancer using CSB-PA008532LA01HU at dilution of 1:100
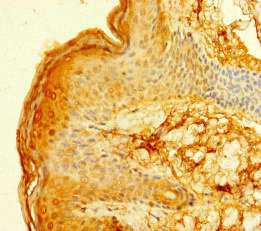
Immunohistochemistry of paraffin-embedded human skin tissue using CSB-PA008532LA01HU at dilution of 1:100
Immunofluorescent analysis of Hela cells using CSB-PA008532LA01HU at dilution of 1:100 and Alexa Fluor 488-congugated AffiniPure Goat Anti-Rabbit IgG(H+L)
Western Blot
Positive WB detected in: Mouse heart tissue, Mouse brain tissue
All lanes: FCER1A antibody at 3μg/ml
Secondary
Goat polyclonal to rabbit IgG at 1/50000 dilution
Predicted band size: 30 kDa
Observed band size: 30 kDa
FCER1A Antibodies
FCER1A for Homo sapiens (Human)
| 產品貨號 | 產品名稱 | 種屬反應性 | 應用類型 |
|---|---|---|---|
| CSB-PA008532GA01HU | FCER1A Antibody | Human | ELISA,WB,IHC |
| CSB-PA008532LA01HU | FCER1A Antibody | Human, Mouse | ELISA, WB, IHC, IF |
| CSB-PA008532LB01HU | FCER1A Antibody, HRP conjugated | Human | ELISA |
| CSB-PA008532LC01HU | FCER1A Antibody, FITC conjugated | Human | |
| CSB-PA008532LD01HU | FCER1A Antibody, Biotin conjugated | Human | ELISA |
FCER1A Proteins
FCER1A Proteins for Homo sapiens (Human)
| 產品貨號 | 產品名稱 | 來源 |
|---|---|---|
| CSB-YP008532HU | Recombinant Human High affinity immunoglobulin epsilon receptor subunit alpha (FCER1A), partial | Yeast |
| CSB-EP008532HU | Recombinant Human High affinity immunoglobulin epsilon receptor subunit alpha (FCER1A), partial | E.coli |
| CSB-BP008532HU CSB-EP008532HU-B |
Recombinant Human High affinity immunoglobulin epsilon receptor subunit alpha (FCER1A), partial | Baculovirus In Vivo Biotinylation in E.coli |
FCER1A Proteins for Rattus norvegicus (Rat)
| 產品貨號 | 產品名稱 | 來源 |
|---|---|---|
| CSB-YP008532RA1 CSB-EP008532RA1 CSB-BP008532RA1 CSB-MP008532RA1 CSB-EP008532RA1-B |
Recombinant Rat High affinity immunoglobulin epsilon receptor subunit alpha (Fcer1a), partial | Yeast E.coli Baculovirus Mammalian cell In Vivo Biotinylation in E.coli |
| CSB-CF008532RA | Recombinant Rat High affinity immunoglobulin epsilon receptor subunit alpha (Fcer1a) | in vitro E.coli expression system |
FCER1A Proteins for Mus musculus (Mouse)
| 產品貨號 | 產品名稱 | 來源 |
|---|---|---|
| CSB-YP008532MO1 CSB-EP008532MO1 CSB-BP008532MO1 CSB-EP008532MO1-B |
Recombinant Mouse High affinity immunoglobulin epsilon receptor subunit alpha (Fcer1a), partial | Yeast E.coli Baculovirus In Vivo Biotinylation in E.coli |
| CSB-CF008532MO | Recombinant Mouse High affinity immunoglobulin epsilon receptor subunit alpha (Fcer1a) | in vitro E.coli expression system |
| CSB-MP008532MO | Recombinant Mouse High affinity immunoglobulin epsilon receptor subunit alpha (Fcer1a)-VLPs | Mammalian cell |






