FABP4
FABP4,全稱為脂肪酸結合蛋白4,也被稱為脂肪細胞脂肪酸結合蛋白(aP2)、422/aP2、AFABP、ALBP、ALBP/Ap2、Ap2、Lbpl、P15等,是一種主要在脂肪細胞中表達的脂質轉運蛋白。它負責將長鏈脂肪酸和視黃酸轉運至細胞核內各自的受體,在脂質和視黃酸轉運中發揮著關鍵作用。FABP4與其他細胞因子、炎癥介質、腫瘤組織等共同構成腫瘤微環境,通過激活核因子κB和c-Jun n-末端激酶途徑調節炎性反應,并促進脂肪分解和抑制脂肪生成。此外,FABP4還介導腫瘤相關巨噬細胞和脂肪細胞的代謝和炎癥反應,進而影響腫瘤的進展。
FABP4與肥胖、代謝疾病和心臟疾病密切相關。在肥胖人群中,FABP4的水平較高,與肥胖、代謝疾病和心臟疾病的發生發展有關。研究表明,FABP4可能成為肥胖相關乳腺癌診療的新方向,其在乳腺癌早期診療、預測預后及治療等方面具有應用前景。目前,已有多種靶向FABP4的抑制劑,如小分子抑制劑和si-RNA等,但尚無抑制劑應用于臨床。未來,加大對FABP4的相關研究及藥物開發和相關臨床試驗,將為治療癌癥患者提供新的選擇,改善患者的預后。
熱銷產品
Recombinant Human Fatty acid-binding protein, adipocyte (FABP4) (CSB-EP007945HU)
驗證數據
(Tris-Glycine gel) Discontinuous SDS-PAGE (reduced) with 5% enrichment gel and 15% separation gel.
FABP4 Antibody (CSB-PA007945LA01HU)
驗證數據
Western Blot
Positive WB detected in: 293T whole cell lysate, U251 whole cell lysate, PC-3 whole cell lysate, Hela whole cell lysate, U87 whole cell lysate, HepG2 whole cell lysate, A549 whole cell lysate
All lanes: FABP4 antibody at 1:1000
Secondary
Goat polyclonal to rabbit IgG at 1/50000 dilution
Predicted band size: 15 kDa
Observed band size: 15 kDa
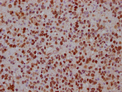
IHC image of CSB-PA007945LA01HU diluted at 1:100 and staining in paraffin-embedded human glioma cancer performed on a Leica BondTM system. After dewaxing and hydration, antigen retrieval was mediated by high pressure in a citrate buffer (pH 6.0). Section was blocked with 10% normal goat serum 30min at RT. Then primary antibody (1% BSA) was incubated at 4°C overnight. The primary is detected by a Goat anti-rabbit IgG labeled by HRP and visualized using 0.05% DAB.
FABP4 Antibodies
FABP4 for Homo sapiens (Human)
| 產品貨號 | 產品名稱 | 種屬反應性 | 應用類型 |
|---|---|---|---|
| CSB-PA007945GA01HU | FABP4 Antibody | Human,Mouse,Rat | ELISA,WB,IHC |
| CSB-PA114281 | FABP4 Antibody | Human,Mouse,Rat | ELISA,WB |
| CSB-RA007945A0HU | FABP4 Recombinant Monoclonal Antibody | Human | ELISA |
| CSB-PA007945LA01HU | FABP4 Antibody | Human | ELISA, WB, IHC |
| CSB-PA007945LB01HU | FABP4 Antibody, HRP conjugated | Human | ELISA |
| CSB-PA007945LC01HU | FABP4 Antibody,FITC conjugated | Human | |
| CSB-PA007945LD01HU | FABP4 Antibody,Biotin conjugated | Human | ELISA |
FABP4 Proteins
FABP4 Proteins for Rattus norvegicus (Rat)
| 產品貨號 | 產品名稱 | 來源 |
|---|---|---|
| CSB-YP007945RA CSB-EP007945RA CSB-BP007945RA CSB-MP007945RA CSB-EP007945RA-B |
Recombinant Rat Fatty acid-binding protein, adipocyte (Fabp4) | Yeast E.coli Baculovirus Mammalian cell In Vivo Biotinylation in E.coli |
FABP4 Proteins for Homo sapiens (Human)
| 產品貨號 | 產品名稱 | 來源 |
|---|---|---|
| CSB-YP007945HU CSB-BP007945HU CSB-MP007945HU CSB-EP007945HU-B |
Recombinant Human Fatty acid-binding protein, adipocyte (FABP4) | Yeast Baculovirus Mammalian cell In Vivo Biotinylation in E.coli |
| CSB-EP007945HU | Recombinant Human Fatty acid-binding protein, adipocyte (FABP4) | E.coli |
FABP4 Proteins for Bos taurus (Bovine)
| 產品貨號 | 產品名稱 | 來源 |
|---|---|---|
| CSB-YP007945BO CSB-EP007945BO CSB-BP007945BO CSB-MP007945BO CSB-EP007945BO-B |
Recombinant Bovine Fatty acid-binding protein, adipocyte (FABP4) | Yeast E.coli Baculovirus Mammalian cell In Vivo Biotinylation in E.coli |
FABP4 Proteins for Mus musculus (Mouse)
| 產品貨號 | 產品名稱 | 來源 |
|---|---|---|
| CSB-BP007945MO CSB-EP007945MO-B |
Recombinant Mouse Fatty acid-binding protein, adipocyte (Fabp4) | Baculovirus In Vivo Biotinylation in E.coli |
FABP4 Proteins for Sus scrofa (Pig)
| 產品貨號 | 產品名稱 | 來源 |
|---|---|---|
| CSB-YP007945PI CSB-EP007945PI CSB-BP007945PI CSB-MP007945PI CSB-EP007945PI-B |
Recombinant Pig Fatty acid-binding protein, adipocyte (FABP4) | Yeast E.coli Baculovirus Mammalian cell In Vivo Biotinylation in E.coli |
FABP4 Proteins for Cervus elaphus (Red deer)
| 產品貨號 | 產品名稱 | 來源 |
|---|---|---|
| CSB-YP413810DRN CSB-EP413810DRN CSB-BP413810DRN CSB-MP413810DRN CSB-EP413810DRN-B |
Recombinant Cervus elaphus Fatty acid-binding protein, adipocyte (FABP4) | Yeast E.coli Baculovirus Mammalian cell In Vivo Biotinylation in E.coli |
FABP4 Proteins for Spermophilus tridecemlineatus (Thirteen-lined ground squirrel) (Ictidomys tridecemlineatus)
| 產品貨號 | 產品名稱 | 來源 |
|---|---|---|
| CSB-YP857516FKA CSB-EP857516FKA CSB-BP857516FKA CSB-MP857516FKA CSB-EP857516FKA-B |
Recombinant Spermophilus tridecemlineatus Fatty acid-binding protein, adipocyte (FABP4) | Yeast E.coli Baculovirus Mammalian cell In Vivo Biotinylation in E.coli |
FABP4 ELISA Kit
FABP4 ELISA Kit for Homo sapiens (Human)
| 產品貨號 | 產品名稱 | 樣本類型 | 靈敏度 |
|---|---|---|---|
| CSB-E12995h | Human fatty acid binding protein 4,FABP-4 Elisa Kit | serum, plasma. | 1.56pg/ml. |
FABP4 ELISA Kit for Mus musculus (Mouse)
| 產品貨號 | 產品名稱 | 樣本類型 | 靈敏度 |
|---|---|---|---|
| CSB-EL007945MO | Mouse Fatty acid-binding protein, adipocyte(FABP4) ELISA kit | serum, plasma, tissue homogenates | 7.81 pg/mL |
FABP4 ELISA Kit for Rattus norvegicus (Rat)
| 產品貨號 | 產品名稱 | 樣本類型 | 靈敏度 |
|---|---|---|---|
| CSB-E13027r | Rat fatty acid binding protein 4, adipocyte (FABP4) ELISA kit | serum, plasma, tissue homogenates, cell lysates | 0.39 ng/mL |






