EZH2
EZH2,即增強子蛋白鋅指同源物2,別名EZH2B、KMT6、MLL2等。它是一種由EZH2基因編碼的組蛋白甲基轉移酶,屬于多梳蛋白復合體PRC2的催化亞基。EZH2的作用機制是通過催化組蛋白H3第27位賴氨酸的三甲基化(H3K27me3),參與調控基因的轉錄沉默。EZH2在細胞增殖、分化、發育和腫瘤發生等生物學過程中扮演關鍵角色。其異常表達和活性與癌癥的發生發展密切相關,尤其在淋巴瘤和上皮性腫瘤中,EZH2的高表達與不良預后相關,使其成為癌癥治療的潛在靶點。
熱銷產品
Recombinant Human Histone-lysine N-methyltransferase EZH2 (EZH2) (CSB-YP613606HU)
驗證數據
(Tris-Glycine gel) Discontinuous SDS-PAGE (reduced) with 5% enrichment gel and 15% separation gel.
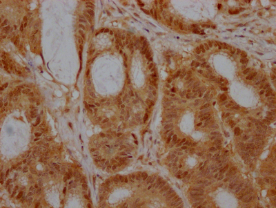
EZH2 Recombinant Monoclonal Antibody (CSB-RA218051A0HU)
驗證數據
IHC image of CSB-RA218051A0HU diluted at 1:100 and staining in paraffin-embedded human colon cancer performed on a Leica BondTM system. After dewaxing and hydration, antigen retrieval was mediated by high pressure in a citrate buffer (pH 6.0). Section was blocked with 10% normal goat serum 30min at RT. Then primary antibody (1% BSA) was incubated at 4℃ overnight. The primary is detected by a Goat anti-rabbit IgG polymer labeled by HRP and visualized using 0.05% DAB.
EZH2 Antibodies
EZH2 for Homo sapiens (Human)
| 產品貨號 | 產品名稱 | 種屬反應性 | 應用類型 |
|---|---|---|---|
| CSB-PA007913GA01HU | EZH2 Antibody | Human,Mouse,Rat | ELISA,WB |
| CSB-PA613606ESR2HU | EZH2 Antibody | Human, Mouse | ELISA, WB |
| CSB-PA761728 | EZH2 Antibody | Human,Mouse | ELISA,WB |
| CSB-PA934125 | EZH2 Antibody | Human,Mouse | ELISA,WB |
| CSB-RA218051A0HU | EZH2 Recombinant Monoclonal Antibody | Human | ELISA, IHC |
| CSB-RA942183A0HU | EZH2 Recombinant Monoclonal Antibody | Human | ELISA, IHC |
EZH2 Proteins
EZH2 Proteins for Homo sapiens (Human)
| 產品貨號 | 產品名稱 | 來源 |
|---|---|---|
| CSB-EP613606HU CSB-BP613606HU CSB-MP613606HU CSB-EP613606HU-B |
Recombinant Human Histone-lysine N-methyltransferase EZH2 (EZH2) | E.coli Baculovirus Mammalian cell In Vivo Biotinylation in E.coli |
| CSB-YP613606HU | Recombinant Human Histone-lysine N-methyltransferase EZH2 (EZH2) | Yeast |
EZH2 Proteins for Xenopus tropicalis (Western clawed frog) (Silurana tropicalis)
| 產品貨號 | 產品名稱 | 來源 |
|---|---|---|
| CSB-YP636758XBF CSB-EP636758XBF CSB-BP636758XBF CSB-MP636758XBF CSB-EP636758XBF-B |
Recombinant Xenopus tropicalis Histone-lysine N-methyltransferase EZH2 (ezh2), partial | Yeast E.coli Baculovirus Mammalian cell In Vivo Biotinylation in E.coli |
EZH2 Proteins for Macaca fascicularis (Crab-eating macaque) (Cynomolgus monkey)
| 產品貨號 | 產品名稱 | 來源 |
|---|---|---|
| CSB-YP689938MOV CSB-EP689938MOV CSB-BP689938MOV CSB-MP689938MOV CSB-EP689938MOV-B |
Recombinant Macaca fascicularis Histone-lysine N-methyltransferase EZH2 (EZH2), partial | Yeast E.coli Baculovirus Mammalian cell In Vivo Biotinylation in E.coli |
EZH2 Proteins for Mus musculus (Mouse)
| 產品貨號 | 產品名稱 | 來源 |
|---|---|---|
| CSB-YP723402MO CSB-EP723402MO CSB-BP723402MO CSB-MP723402MO CSB-EP723402MO-B |
Recombinant Mouse Histone-lysine N-methyltransferase EZH2 (Ezh2) | Yeast E.coli Baculovirus Mammalian cell In Vivo Biotinylation in E.coli |






