ERVK-6
ERVK-6,全稱Endogenous Retrovirus-K group member 6 Env polyprotein,是一種來源于人類內源性逆轉錄病毒K(HERV-K)家族的蛋白質。該蛋白在多種腫瘤類型中表達,包括乳腺癌、肺癌、前列腺癌、卵巢癌等,并且其表達水平在腫瘤組織和細胞系中顯著高于正常組織。因此,ERVK-6被認為是潛在的腫瘤相關抗原和癌癥免疫治療的理想靶點。
研究表明,ERVK-6蛋白的表達與腫瘤的發生發展密切相關。過表達ERVK-6的癌細胞顯示出包括Ras、p-ERK、P-P-38和β連環蛋白在內的與腫瘤形成相關的基因的表達增加。此外,ERVK-6蛋白還可以誘導EMT,導致細胞運動性增加,從而促進腫瘤的轉移。
基于ERVK-6蛋白的免疫治療策略已顯示出良好的抗腫瘤效果。例如,有研究開發了一種治療性人源化抗HERV-K抗體,該抗體能夠有效殺傷表達HERV-K抗原的癌細胞。此外,還有研究將ERVK-6蛋白與CAR-T細胞療法相結合,取得了顯著的抗腫瘤效果。
熱銷產品
驗證數據
(Tris-Glycine gel) Discontinuous SDS-PAGE (reduced) with 5% enrichment gel and 15% separation gel.
ERVK-6 Antibody (CSB-PA724336LA01HU)
驗證數據
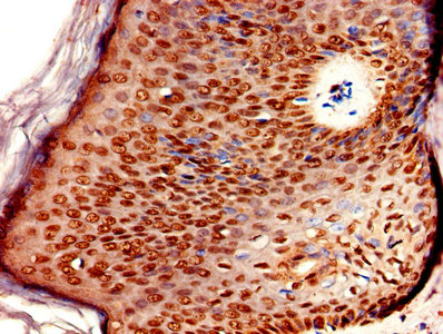
Immunohistochemistry of paraffin-embedded human skin tissue using CSB-PA724336LA01HU at dilution of 1:100
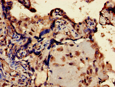
Immunohistochemistry of paraffin-embedded human placenta tissue using CSB-PA724336LA01HU at dilution of 1:100
Immunofluorescent analysis of A549 cells using CSB-PA724336LA01HU at dilution of 1:100 and Alexa Fluor 488-congugated AffiniPure Goat Anti-Rabbit IgG(H+L)
Human HERV-K_7p22.1 provirus ancestral Env polyprotein(ERVK6) ELISA kit (CSB-EL007812HU)
驗證數據
貨號:CSB-EL007812HU
規格:96T/48T
靈敏度:0.039 ng/mL
檢測范圍:0.156 ng/mL-10 ng/mL
These standard curves are provided for demonstration only. A standard curve should be generated for each set of samples assayed.
ERVK-6 Antibodies
ERVK-6 for Homo sapiens (Human)
| 產品貨號 | 產品名稱 | 種屬反應性 | 應用類型 |
|---|---|---|---|
| CSB-PA724336LA01HU | ERVK-6 Antibody | Human | ELISA, IHC, IF |
| CSB-PA724336LB01HU | ERVK-6 Antibody, HRP conjugated | Human | ELISA |
| CSB-PA724336LC01HU | ERVK-6 Antibody, FITC conjugated | Human | |
| CSB-PA724336LD01HU | ERVK-6 Antibody, Biotin conjugated | Human | ELISA |
ERVK-6 Proteins
ERVK-6 Proteins for Homo sapiens (Human)
ERVK-6 ELISA Kit
ERVK-6 ELISA Kit for Homo sapiens (Human)
| 產品貨號 | 產品名稱 | 樣本類型 | 靈敏度 |
|---|---|---|---|
| CSB-EL007812HU | Human HERV-K_7p22.1 provirus ancestral Env polyprotein(ERVK6) ELISA kit | serum, plasma, tissue homogenates | 0.039 ng/mL |






