ERBIN
ERBIN蛋白,全稱為nerbb2 interacting protein,也被稱為densin-180-like protein、ERBB2-interacting protein、LAP2等。該蛋白在細胞骨架的組裝和細胞粘附中發揮重要作用。ERBIN通過與ERBB2受體結合,參與上皮細胞的信號傳導。在疾病方面,ERBIN與多種疾病相關,如癌癥、神經退行性疾病等。在藥物研發方面,目前已有針對ERBIN的抗體和抑制劑,用于治療相關疾病。
熱銷產品
ERBIN Antibody (CSB-PA857021ESR1HU)
驗證數據
Western blot
All lanes: VSX1 antibody IgG at 0.87μg/ml + Hela whole cell lysate
Secondary
Goat polyclonal to rabbit IgG at 1/10000 dilution
Predicted band size: 159, 154, 153, 152, 151, 147, 160 kDa
Observed band size: 159 kDa
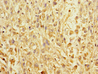
Immunohistochemistry of paraffin-embedded human melanoma using CSB-PA857021ESR1HU at dilution of 1:100
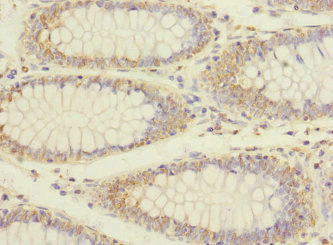
Immunohistochemistry of paraffin-embedded human colon cancer using CSB-PA857021ESR1HU at dilution of 1:100
ERBIN Antibodies
ERBIN for Homo sapiens (Human)
| 產品貨號 | 產品名稱 | 種屬反應性 | 應用類型 |
|---|---|---|---|
| CSB-PA000521 | Phospho-ERBB2IP (Y1104) Antibody | Human | WB, ELISA |
| CSB-PA857021ESR1HU | ERBIN Antibody | Human | ELISA, WB, IHC |
| CSB-PA857021ESR2HU | ERBIN Antibody | Human | ELISA, IHC |
ERBIN Proteins
ERBIN Proteins for Mus musculus (Mouse)
| 產品貨號 | 產品名稱 | 來源 |
|---|---|---|
| CSB-YP770455MO CSB-EP770455MO CSB-BP770455MO CSB-MP770455MO CSB-EP770455MO-B |
Recombinant Mouse Protein LAP2 (Erbb2ip), partial | Yeast E.coli Baculovirus Mammalian cell In Vivo Biotinylation in E.coli |
ERBIN Proteins for Homo sapiens (Human)
| 產品貨號 | 產品名稱 | 來源 |
|---|---|---|
| CSB-YP857021HU CSB-EP857021HU CSB-BP857021HU CSB-MP857021HU CSB-EP857021HU-B |
Recombinant Human Protein LAP2 (ERBB2IP), partial | Yeast E.coli Baculovirus Mammalian cell In Vivo Biotinylation in E.coli |






