ELANE
ELANE,全稱為彈性蛋白酶,中性粒細胞表達,也被稱為中性粒細胞彈性蛋白酶。這是一種絲氨酸蛋白酶,主要在中性粒細胞中表達。它能夠水解多種蛋白質,除了彈性蛋白外,還能降解細菌的外膜蛋白,如大腸桿菌的OmpA。ELANE在退行性和炎癥性疾病中可能發揮作用,其突變與周期性中性粒細胞減少癥和嚴重的先天性中性粒細胞減少癥相關。在藥物研發方面,ELANE蛋白及其相關疾病的研究為開發新的治療策略提供了新的方向。
熱銷產品
Recombinant Human Neutrophil elastase (ELANE) (CSB-EP007587HUe1)
驗證數據
(Tris-Glycine gel) Discontinuous SDS-PAGE (reduced) with 5% enrichment gel and 15% separation gel.
ELANE Recombinant Monoclonal Antibody (CSB-RA200985A0HU)
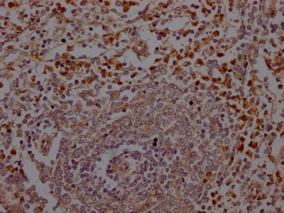
驗證數據
IHC image of CSB-RA200985A0HU diluted at 1:100 and staining in paraffin-embedded human spleen tissue performed on a Leica BondTM system. After dewaxing and hydration, antigen retrieval was mediated by high pressure in a citrate buffer (pH 6.0). Section was blocked with 10% normal goat serum 30min at RT. Then primary antibody (1% BSA) was incubated at 4℃ overnight. The primary is detected by a Goat anti-rabbit IgG polymer labeled by HRP and visualized using 0.05% DAB.
Overlay histogram showing Jurkat cells stained with CSB-RA200985A0HU (red line) at 1:50. The cells were fixed with 70% Ethylalcohol (18h) and then incubated in 10% normal goat serum to block non-specific protein-protein interactions followedby the antibody (1μg/1*106 cells) for 1 h at 4℃.The secondary antibody used was FITC-conjugated goat anti-rabbit IgG (H+L) at 1/200 dilution for 30min at 4℃. Control antibody (green line) was Rabbit IgG (1μg/1*106 cells) used under the same conditions. Acquisition of >10,000 events was performed.
ELANE Antibodies
ELANE for Homo sapiens (Human)
| 產品貨號 | 產品名稱 | 種屬反應性 | 應用類型 |
|---|---|---|---|
| CSB-PA007587LA01HU | ELANE Antibody | Human | ELISA, IHC, IF |
| CSB-PA007587LB01HU | ELANE Antibody, HRP conjugated | Human | ELISA |
| CSB-PA007587LC01HU | ELANE Antibody, FITC conjugated | Human | |
| CSB-PA007587LD01HU | ELANE Antibody, Biotin conjugated | Human | ELISA |
| CSB-RA200985A0HU | ELANE Recombinant Monoclonal Antibody | Human | ELISA, IHC, FC |
ELANE Proteins
ELANE Proteins for Homo sapiens (Human)
| 產品貨號 | 產品名稱 | 來源 |
|---|---|---|
| CSB-YP007587HU | Recombinant Human Neutrophil elastase (ELANE) | Yeast |
| CSB-EP007587HU | Recombinant Human Neutrophil elastase (ELANE) | E.coli |
| Recombinant Human Neutrophil elastase (ELANE) | ||
| CSB-EP007587HU-B | Recombinant Human Neutrophil elastase (ELANE),Biotinylated | E.coli |
| CSB-EP007587HUe1 | Recombinant Human Neutrophil elastase (ELANE) | E.coli |
| CSB-EP007587HUb0 | Recombinant Human Neutrophil elastase (ELANE) | E.coli |
| CSB-EP007587HUc7 | Recombinant Human Neutrophil elastase (ELANE) | E.coli |
| CSB-MP007587HU | Recombinant Human Neutrophil elastase (ELANE) | Mammalian cell |
| CSB-BP007587HU | Recombinant Human Neutrophil elastase (ELANE) | Baculovirus |
| CSB-MP007587HU1 | Recombinant Human Neutrophil elastase (ELANE), partial | Mammalian cell |
ELANE Proteins for Mus musculus (Mouse)
| 產品貨號 | 產品名稱 | 來源 |
|---|---|---|
| CSB-BP659740MO CSB-MP659740MO CSB-EP659740MO-B |
Recombinant Mouse Neutrophil elastase (Elane) | Baculovirus Mammalian cell In Vivo Biotinylation in E.coli |
ELANE ELISA Kit
ELANE ELISA Kit for Mus musculus (Mouse)
| 產品貨號 | 產品名稱 | 樣本類型 | 靈敏度 |
|---|---|---|---|
| CSB-E04804m | Mouse neutrophil elastase,NE ELISA Kit | serum, plasma, cell culture supernates, tissue homogenates | 0.078 ng/mL |
ELANE ELISA Kit for Rattus norvegicus (Rat)
| 產品貨號 | 產品名稱 | 樣本類型 | 靈敏度 |
|---|---|---|---|
| CSB-E08847r | Rat neutrophil elastase,NE ELISA Kit | serum, plasma, cell culture supernates, tissue homogenates, cell lysates | 3.12 ng/mL |
ELANE ELISA Kit for Homo sapiens (Human)
| 產品貨號 | 產品名稱 | 樣本類型 | 靈敏度 |
|---|---|---|---|
| CSB-EL007587HU | Human elastase 2, neutrophil (ELA2)ELISA kit | serum, plasma, tissue homogenates | 1.56 ng/mL |






