EIF5A
EIF5A,即真核翻譯起始因子5A,別名eIF-5A、eIF5A-1。它是一種在真核細胞中高度保守的蛋白質,含有獨特的多胺衍生氨基酸——羥腐胺賴氨酸(hypusine)。EIF5A的作用機制涉及到其獨特的翻譯后修飾——hypusination,這一過程由DHPS和DOHH催化,以多胺精胺為起始。這種修飾對EIF5A的活性至關重要,影響其在蛋白質合成中的功能。EIF5A通過緩解翻譯延伸過程中核糖體在多種基序處的停滯,促進肽鏈的釋放,增強翻譯終止。EIF5A不僅參與蛋白質的合成,還涉及細胞自噬、細胞衰老、多胺穩態、能量代謝等一系列關鍵的細胞進程,并在癌癥等多種疾病中發揮作用。EIF5A的活性受到其hypusination狀態的嚴格調控,這一獨特的修飾使其在細胞生命活動中扮演著重要角色。
熱銷產品
EIF5A Recombinant Monoclonal Antibody (CSB-RA932542A0HU)
驗證數據
Western Blot
Positive WB detected in: A2780 whole cell lysate, Hela whole cell lysate, MCF-7 whole cell lysate, Jurkat whole cell lysate, Raji whole cell lysate
All lanes: EIF5A antibody at 1:2000
Secondary
Goat polyclonal to rabbit IgG at 1/50000 dilution
Predicted band size: 17, 21 kDa
Observed band size: 18 kDa
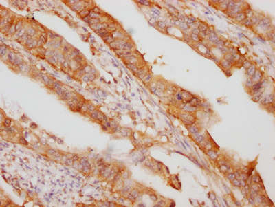
IHC image of CSB-RA932542A0HU diluted at 1:100 and staining in paraffin-embedded human colon cancer performed on a Leica BondTM system. After dewaxing and hydration, antigen retrieval was mediated by high pressure in a citrate buffer (pH 6.0). Section was blocked with 10% normal goat serum 30min at RT. Then primary antibody (1% BSA) was incubated at 4℃ overnight. The primary is detected by a Goat anti-rabbit IgG polymer labeled by HRP and visualized using 0.05% DAB.
Immunofluorescence staining of Hela Cells with CSB-RA932542A0HU at 1:50, counter-stained with DAPI. The cells were fixed in 4% formaldehyde, permeated by 0.2% TritonX-100, and blocked in 10% normal Goat Serum. The cells were then incubated with the antibody overnight at 4℃. Nuclear DNA was labeled in blue with DAPI. The secondary antibody was FITC-conjugated AffiniPure Goat Anti-Rabbit IgG (H+L).
Overlay histogram showing Jurkat cells stained with CSB-RA932542A0HU (red line) at 1:50. The cells were fixed with 70% Ethylalcohol (18h) and then incubated in 10% normal goat serum to block non-specific protein-protein interactions followedby the antibody (1μg/1*106 cells) for 1 h at 4℃.The secondary antibody used was FITC-conjugated goat anti-rabbit IgG (H+L) at 1/200 dilution for 30min at 4℃. Control antibody (green line) was Rabbit IgG (1μg/1*106 cells) used under the same conditions. Acquisition of >10,000 events was performed.
EIF5A Antibodies
EIF5A for Homo sapiens (Human)
| 產品貨號 | 產品名稱 | 種屬反應性 | 應用類型 |
|---|---|---|---|
| CSB-PA007573GA01HU | EIF5A Antibody | Human,Mouse,Rat | ELISA,WB |
| CSB-RA932542A0HU | EIF5A Recombinant Monoclonal Antibody | Human | ELISA, WB, IHC, IF, FC |
| CSB-PA007573HA01HU | EIF5A Antibody | Human | ELISA, IHC |
| CSB-PA007573HD01HU | EIF5A Antibody, Biotin conjugated | Human | ELISA |
| CSB-PA007573HB01HU | EIF5A Antibody, HRP conjugated | Human | ELISA |
EIF5A Proteins
EIF5A Proteins for Homo sapiens (Human)
| 產品貨號 | 產品名稱 | 來源 |
|---|---|---|
| CSB-YP007573HU CSB-EP007573HU CSB-BP007573HU CSB-MP007573HU CSB-EP007573HU-B |
Recombinant Human Eukaryotic translation initiation factor 5A-1 (EIF5A) | Yeast E.coli Baculovirus Mammalian cell In Vivo Biotinylation in E.coli |






