EIF3H
EIF3H,全稱為真核翻譯起始因子3亞基H,是一種參與蛋白質翻譯起始過程的蛋白質。它也被稱為eIF3h,屬于Jab1/Mov34/MPN+蛋白酶家族。EIF3H在多種癌癥中表達上調,如結直腸癌和食管鱗狀細胞癌,其表達與腫瘤的侵襲性和預后不良相關。研究表明,EIF3H可能通過去泛素化作用穩定Snail蛋白,從而促進腫瘤細胞的侵襲和轉移。此外,EIF3H還與Wnt/β-catenin和RAF-MEK-ERK信號通路有關,這些信號通路在腫瘤的發生發展中扮演重要角色。針對EIF3H的藥物研發正在進展中,有望成為結直腸癌等癌癥治療的新靶點。
熱銷產品
EIF3H Antibody (CSB-PA007537ESR1HU)
驗證數據
Western blot
All lanes: EIF3H antibody at 6μg/ml
Lane 1: NIH/3T3 whole cell lysate
Lane 2: Rat brain tissue
Lane 3: U251 whole cell lysate
Secondary
Goat polyclonal to rabbit IgG at 1/10000 dilution
Predicted band size: 40 kDa
Observed band size: 40 kDa
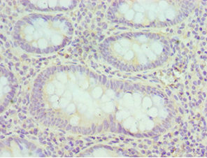
Immunohistochemistry of paraffin-embedded human epityphlon tissue using CSB-PA007537ESR1HU at dilution of 1:100
EIF3H Antibodies
EIF3H for Homo sapiens (Human)
| 產品貨號 | 產品名稱 | 種屬反應性 | 應用類型 |
|---|---|---|---|
| CSB-PA007537GA01HU | EIF3H Antibody | Human,Mouse,Rat | ELISA,WB |
| CSB-PA007537ESR1HU | EIF3H Antibody | Human, Rat | ELISA, WB, IHC |
| CSB-PA007537ESR2HU | EIF3H Antibody | Human, Rat | ELISA, WB, IHC |
| CSB-PA114148 | EIF3H Antibody | Human,Mouse,Rat | ELISA,IHC |
| CSB-PA903985 | EIF3H Antibody | Human,Mouse,Rat | ELISA,WB,IHC |
EIF3H Proteins
EIF3H Proteins for Homo sapiens (Human)
| 產品貨號 | 產品名稱 | 來源 |
|---|---|---|
| CSB-YP007537HU CSB-EP007537HU CSB-BP007537HU CSB-MP007537HU CSB-EP007537HU-B |
Recombinant Human Eukaryotic translation initiation factor 3 subunit H (EIF3H) | Yeast E.coli Baculovirus Mammalian cell In Vivo Biotinylation in E.coli |






