DYRK4
DYRK4(雙特異性酪氨酸磷酸化調節激酶4)屬于DYRK激酶家族,在細胞周期調控和應激響應中具有關鍵作用。該蛋白通過磷酸化下游靶點調控細胞存活與分化,尤其在癌細胞中常通過抑制凋亡通路維持腫瘤細胞增殖。DYRK4異常表達與肝癌、胰腺癌等實體瘤進展相關,其過度激活可能加速腫瘤細胞對化療藥物的耐受性。在神經系統中,DYRK4與阿爾茨海默病相關的tau蛋白異常磷酸化存在潛在關聯,可能參與神經纖維纏結的形成。針對DYRK4的藥物開發,部分研究機構已篩選出選擇性激酶抑制劑,如INDY和化合物5-碘雷帕霉素衍生物,這些候選藥物在體外實驗中顯示出抑制腫瘤生長的潛力。
熱銷產品
DYRK4 Antibody (CSB-PA882080LA01HU)
驗證數據
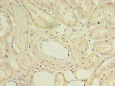
Immunohistochemistry of paraffin-embedded human kidney tissue using CSB-PA882080LA01HU at dilution of 1:100
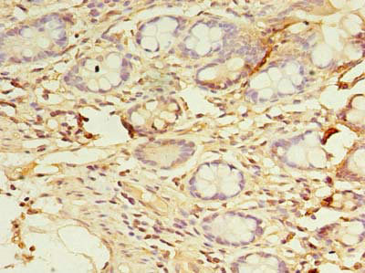
Immunohistochemistry of paraffin-embedded human small intestine tissue using CSB-PA882080LA01HU at dilution of 1:100
Immunofluorescent analysis of MCF-7 cells using CSB-PA882080LA01HU at dilution of 1:100 and Alexa Fluor 488-congugated AffiniPure Goat Anti-Rabbit IgG(H+L)
DYRK4 Antibodies
DYRK4 for Homo sapiens (Human)
| 產品貨號 | 產品名稱 | 種屬反應性 | 應用類型 |
|---|---|---|---|
| CSB-PA007313GA01HU | DYRK4 Antibody | Human,Mouse,Rat | ELISA,WB,IHC |
| CSB-PA070148 | DYRK4 Antibody | Human | WB, ELISA |
| CSB-PA882080LA01HU | DYRK4 Antibody | Human | ELISA, IHC, IF |
| CSB-PA882080LD01HU | DYRK4 Antibody, Biotin conjugated | Human | ELISA |
| CSB-PA882080LC01HU | DYRK4 Antibody, FITC conjugated | Human |
DYRK4 Proteins
DYRK4 Proteins for Homo sapiens (Human)
| 產品貨號 | 產品名稱 | 來源 |
|---|---|---|
| CSB-YP882080HU CSB-EP882080HU CSB-BP882080HU CSB-MP882080HU CSB-EP882080HU-B |
Recombinant Human Dual specificity tyrosine-phosphorylation-regulated kinase 4 (DYRK4) | Yeast E.coli Baculovirus Mammalian cell In Vivo Biotinylation in E.coli |






