DUX4
DUX4,即雙同源盒4,別名DUXF、FSHD1、FSHDregiongene1。它是一種在早期胚胎發育階段表達的轉錄因子,來源于人類基因組中的重復元件。DUX4的作用機制主要是通過其雙同源盒結構域與DNA特異性結合,激活下游基因的表達。DUX4在胚胎發育、細胞增殖、分化以及免疫反應中發揮重要作用。異常激活或表達失調與多種疾病相關,如面肩肱型肌營養不良癥(FSHD)、某些類型的癌癥和病毒感染。DUX4的異常表達可能導致肌細胞凋亡和炎癥反應,是FSHD發病機制的關鍵。此外,DUX4還參與人類胚胎基因組激活和胚胎植入前發育的轉錄調控。
熱銷產品
Recombinant Human Double homeobox protein 4 (DUX4), partial (CSB-EP890667HU1)
驗證數據
(Tris-Glycine gel) Discontinuous SDS-PAGE (reduced) with 5% enrichment gel and 15% separation gel.
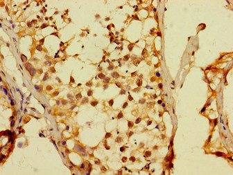
DUX4 Antibody (CSB-PA890667LA01HU)
驗證數據
Immunohistochemistry of paraffin-embedded human testis tissue using CSB-PA890667LA01HU at dilution of 1: 100
Western Blot
Positive WB detected in: Hela whole cell lysate, PC-3 whole cell lysate, A549 whole cell lysate, HepG2 whole cell lysate
All lanes: DUX4 antibody at 1:2000
Secondary
Goat polyclonal to rabbit IgG at 1/50000 dilution
Predicted band size: 45 kDa
Observed band size: 45 kDa
DUX4 Antibodies
DUX4 for Homo sapiens (Human)
| 產品貨號 | 產品名稱 | 種屬反應性 | 應用類型 |
|---|---|---|---|
| CSB-PA890667LA01HU | DUX4 Antibody | Human | ELISA, WB, IHC |
| CSB-PA890667LB01HU | DUX4 Antibody, HRP conjugated | Human | ELISA |
| CSB-PA890667LC01HU | DUX4 Antibody, FITC conjugated | Human | |
| CSB-PA890667LD01HU | DUX4 Antibody, Biotin conjugated | Human | ELISA |
DUX4 Proteins
DUX4 Proteins for Homo sapiens (Human)
| 產品貨號 | 產品名稱 | 來源 |
|---|---|---|
| CSB-BP890667HU1 CSB-MP890667HU1 CSB-EP890667HU1-B |
Recombinant Human Double homeobox protein 4 (DUX4), partial | Baculovirus Mammalian cell In Vivo Biotinylation in E.coli |
| CSB-EP890667HU1 | Recombinant Human Double homeobox protein 4 (DUX4), partial | E.coli |
| CSB-EP890667HU1c7 | Recombinant Human Double homeobox protein 4 (DUX4), partial | E.coli |
| CSB-YP890667HU1 | Recombinant Human Double homeobox protein 4 (DUX4), partial | Yeast |






