DUSP2
DUSP2,即雙特異性磷酸酶2,別名PAC1、PAC-1,是一種由人類基因DUSP2編碼的蛋白質,屬于雙特異性磷酸酶亞家族成員。DUSP2蛋白主要在造血組織中表達,并定位于細胞核。
DUSP2的作用機制是通過去磷酸化靶激酶上的磷酸絲氨酸/蘇氨酸和磷酸酪氨酸殘基,從而負向調節與細胞增殖和分化相關的絲裂原活化蛋白(MAP)激酶超家族成員,如MAPK/ERK、SAPK/JNK、p38。DUSP2對ERK1和ERK2的活性具有抑制作用。
DUSP2參與調控免疫反應、炎癥反應以及癌癥進展,與多種疾病相關,包括血液癌癥和2型糖尿病。DUSP2的功能喪失在某些癌癥中預示著不良預后,并且在調控TH17細胞分化中起重要作用,影響自身免疫疾病的發生發展。
熱銷產品
驗證數據
The image on the left is immunohistochemistry of paraffin-embedded Human thyroid cancer tissue using CSB-PA094054(DUSP2 Antibody) at dilution 1/30, on the right is treated with synthetic peptide. (Original magnification: ×200)
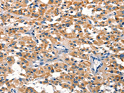
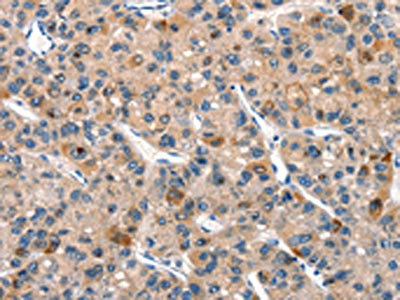
The image on the left is immunohistochemistry of paraffin-embedded Human liver cancer tissue using CSB-PA094054(DUSP2 Antibody) at dilution 1/30, on the right is treated with synthetic peptide. (Original magnification: ×200)
Gel: 8%SDS-PAGE, Lysate: 40 μg, Lane: Hela cells, Primary antibody: CSB-PA094054(DUSP2 Antibody) at dilution 1/300, Secondary antibody: Goat anti rabbit IgG at 1/8000 dilution, Exposure time: 1 minute
DUSP2 Antibodies
DUSP2 for Homo sapiens (Human)
| 產品貨號 | 產品名稱 | 種屬反應性 | 應用類型 |
|---|---|---|---|
| CSB-PA094054 | DUSP2 Antibody | Human,Mouse | ELISA,WB,IHC |






