DSG1
DSG1,全稱Desmoglein-1,是一種橋粒芯糖蛋白,廣泛分布于皮膚、心臟、腦等器官中,在細胞間連接和細胞分化中發揮重要作用。DSG1與其他橋粒蛋白形成橋粒結構,維持細胞間的黏附,參與皮膚屏障功能的維持。研究表明,DSG1的表達和功能異常與多種疾病相關,包括天皰瘡、葡萄球菌性燙傷樣皮膚綜合征、掌跖角化病及SAM綜合征等。在天皰瘡中,DSG1自身抗體與DSG1結合,破壞細胞間黏附,導致棘層細胞松解,形成水皰。針對DSG1相關疾病的藥物研發主要集中在開發特異性抗體和抑制劑,以阻斷DSG1自身抗體與DSG1的結合,或抑制DSG1的表達和功能。目前,一些針對DSG1的單克隆抗體和ELISA試劑盒已應用于臨床診斷和治療。此外,研究人員也在探索通過調節DSG1相關信號通路,開發新的治療策略,以更有效地治療DSG1相關疾病。
熱銷產品
Recombinant Human Desmoglein-1 (DSG1), partial (CSB-MP861938HUc7)
驗證數據
(Tris-Glycine gel) Discontinuous SDS-PAGE (reduced) with 5% enrichment gel and 15% separation gel.
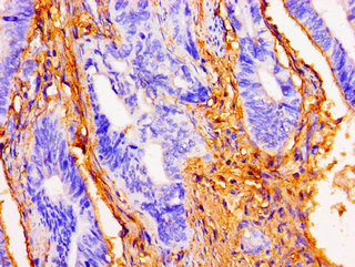
DSG1 Antibody (CSB-PA861938LA01HU)
驗證數據
Immunohistochemistry of paraffin-embedded human colon cancer using CSB-PA861938LA01HU at dilution of 1:100
Immunofluorescent analysis of HepG2 cells using CSB-PA861938LA01HU at dilution of 1:100 and Alexa Fluor 488-congugated AffiniPure Goat Anti-Rabbit IgG(H+L)
Human desmogleins 1,Dsg-1 ELISA Kit (CSB-E09592h)
驗證數據
貨號:CSB-E09592h
規格:96T/48T
靈敏度:5.8 pg/mL
檢測范圍:23.5 pg/mL-1500 pg/mL
These standard curves are provided for demonstration only. A standard curve should be generated for each set of samples assayed.
DSG1 Antibodies
DSG1 for Homo sapiens (Human)
| 產品貨號 | 產品名稱 | 種屬反應性 | 應用類型 |
|---|---|---|---|
| CSB-PA007835 | DSG1 Antibody | Human,Mouse | WB, ELISA |
| CSB-PA177422 | DSG1 Antibody | Human,Mouse | ELISA,WB |
| CSB-PA620185 | DSG1 Antibody | Human,Mouse,Rat | WB, IHC, ELISA |
| CSB-PA861938LA01HU | DSG1 Antibody | Human | ELISA, IHC, IF |
| CSB-PA861938LB01HU | DSG1 Antibody, HRP conjugated | Human | ELISA |
| CSB-PA861938LC01HU | DSG1 Antibody, FITC conjugated | Human | |
| CSB-PA861938LD01HU | DSG1 Antibody, Biotin conjugated | Human | ELISA |
DSG1 Proteins
DSG1 Proteins for Homo sapiens(Human)
| 產品貨號 | 產品名稱 | 來源 |
|---|---|---|
| CSB-CF861938HU | Recombinant Human Desmoglein-1 (DSG1), partial | in vitro E.coli expression system |
| CSB-CF861938HUb3 | Recombinant Human Desmoglein-1 (DSG1), partial | in vitro E.coli expression system |
DSG1 Proteins for Homo sapiens (Human)
| 產品貨號 | 產品名稱 | 來源 |
|---|---|---|
| CSB-MP861938HUc7 | Recombinant Human Desmoglein-1 (DSG1), partial | Mammalian cell |
| CSB-MP861938HU | Recombinant Human Desmoglein-1 (DSG1), partial | Mammalian cell |
| CSB-BP861938HU | Recombinant Human Desmoglein-1 (DSG1), partial | Baculovirus |
DSG1 ELISA Kit
DSG1 ELISA Kit for Homo sapiens (Human)
| 產品貨號 | 產品名稱 | 樣本類型 | 靈敏度 |
|---|---|---|---|
| CSB-E09592h | Human desmogleins 1,Dsg-1 ELISA Kit | serum, plasma, tissue homogenates, cell lysates | 5.8 pg/mL |






