CYP27A1
CYP27A1,即細胞色素P450家族27亞家族A成員1。別名CTX、CP27、CYP27,它是一種線粒體酶,主要在肝臟中催化膽汁酸生物合成途徑中膽固醇的27-羥基化,這一步驟是合成膽汁酸的替代途徑的關鍵步驟。CYP27A1還參與了膽固醇的27-羥化,生成27-羥基膽固醇,這種物質可以激活肝孤兒受體并誘導巨噬細胞中的膽固醇流出轉運蛋白ABCA1和ABCG1,對膽固醇的逆向轉運和整體膽固醇穩態具有重要作用。此外,CYP27A1還催化維生素D3的生物活化過程。CYP27A1與多種腫瘤的形成密切相關,包括乳腺癌、前列腺癌、結腸直腸癌和肝癌等。在腫瘤細胞中,CYP27A1的表達可能影響腫瘤的生長和預后,其在腫瘤進程中的作用是一個重要的研究領域。
熱銷產品
CYP27A1 Antibody (CSB-PA880560LA01HU)
驗證數據
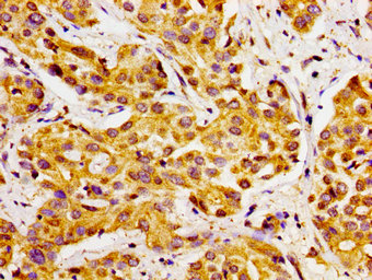
Immunohistochemistry of paraffin-embedded human liver cancer using CSB-PA880560LA01HU at dilution of 1:100
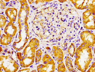
Immunohistochemistry of paraffin-embedded human kidney tissue using CSB-PA880560LA01HU at dilution of 1:100
CYP27A1 Antibodies
CYP27A1 for Homo sapiens (Human)
| 產品貨號 | 產品名稱 | 種屬反應性 | 應用類型 |
|---|---|---|---|
| CSB-PA006405GA01HU | CYP27A1 Antibody | Human,Mouse,Rat | ELISA,WB,IHC |
| CSB-PA695994 | CYP27A1 Antibody | Human | ELISA,WB |
| CSB-PA001944 | CYP27A1 Antibody | Human | WB, IHC, IF, ELISA |
| CSB-PA446866 | CYP27A1 Antibody | Human | ELISA,IHC |
| CSB-PA033966 | CYP27A1 Antibody | Human,Mouse | ELISA,WB,IHC |
| CSB-PA880560LA01HU | CYP27A1 Antibody | Human | ELISA, IHC |
CYP27A1 Proteins
CYP27A1 Proteins for Oryctolagus cuniculus (Rabbit)
| 產品貨號 | 產品名稱 | 來源 |
|---|---|---|
| CSB-YP006405RB CSB-EP006405RB CSB-BP006405RB CSB-MP006405RB CSB-EP006405RB-B |
Recombinant Rabbit Sterol 26-hydroxylase, mitochondrial (CYP27A1), partial | Yeast E.coli Baculovirus Mammalian cell In Vivo Biotinylation in E.coli |
CYP27A1 Proteins for Mus musculus (Mouse)
| 產品貨號 | 產品名稱 | 來源 |
|---|---|---|
| CSB-YP880560MO CSB-EP880560MO CSB-BP880560MO CSB-MP880560MO CSB-EP880560MO-B |
Recombinant Mouse Sterol 26-hydroxylase, mitochondrial (Cyp27a1) | Yeast E.coli Baculovirus Mammalian cell In Vivo Biotinylation in E.coli |






