CXCR5
CXCR5,即C-X-C基序趨化因子受體5,別名CD185。它是一種G蛋白偶聯受體,屬于趨化因子受體家族成員,主要在B細胞、濾泡輔助性T細胞(Tfh)、一些T細胞亞群和一些樹突狀細胞上表達。CXCR5的作用機制是通過與特定的配體CXCL13結合,這種結合激活了受體,進而觸發細胞內信號傳導,如通過Gαi蛋白激活PI3K、AKT和ERK/MAPK等信號通路,導致細胞的遷移、增殖和分化。CXCR5在生物學上的意義主要體現在其對B細胞和Tfh細胞的遷移和定位的調控作用。在次級淋巴器官如淋巴結和脾臟中,CXCR5與其配體CXCL13的相互作用對于形成B細胞濾泡和Tfh細胞區至關重要,這對于適應性免疫反應的發生和維持至關重要。此外,CXCR5也在某些自身免疫性疾病、炎癥性疾病和腫瘤中發揮作用,其表達水平的變化可能與疾病的進展相關。因此,CXCR5是免疫學研究和相關疾病治療中的一個潛在靶點。
熱銷產品
Recombinant Human C-X-C chemokine receptor type 5 (CXCR5), partial (CSB-YP006255HU1a4)
驗證數據
(Tris-Glycine gel) Discontinuous SDS-PAGE (reduced) with 5% enrichment gel and 15% separation gel.
CXCR5 Antibody (CSB-PA006255LA01HU)
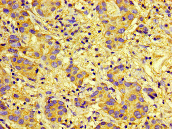
驗證數據
Immunohistochemistry of paraffin-embedded human liver cancer using CSB-PA006255LA01HU at dilution of 1:100
Immunohistochemistry of paraffin-embedded human lymph node tissue using CSB-PA006255LA01HU at dilution of 1:100
Immunofluorescent analysis of HepG2 cells using CSB-PA006255LA01HU at dilution of 1:100 and Alexa Fluor 488-congugated AffiniPure Goat Anti-Rabbit IgG(H+L)
CXCR5 Antibodies
CXCR5 for Homo sapiens (Human)
| 產品貨號 | 產品名稱 | 種屬反應性 | 應用類型 |
|---|---|---|---|
| CSB-PA006273 | CXCR5 Antibody | Human | WB, ELISA |
| CSB-PA158258 | CXCR5 Antibody | Human | ELISA,IHC |
| CSB-PA006255LA01HU | CXCR5 Antibody | Human | ELISA, IHC, IF |
| CSB-PA006255LD01HU | CXCR5 Antibody, Biotin conjugated | Human | ELISA |
CXCR5 Proteins
CXCR5 Proteins for Rattus norvegicus (Rat)
| 產品貨號 | 產品名稱 | 來源 |
|---|---|---|
| CSB-YP006255RA1 CSB-EP006255RA1 CSB-BP006255RA1 CSB-MP006255RA1 CSB-EP006255RA1-B |
Recombinant Rat C-X-C chemokine receptor type 5 (Cxcr5), partial | Yeast E.coli Baculovirus Mammalian cell In Vivo Biotinylation in E.coli |
| CSB-CF006255RA | Recombinant Rat C-X-C chemokine receptor type 5 (Cxcr5) | in vitro E.coli expression system |
CXCR5 Proteins for Homo sapiens (Human)
| 產品貨號 | 產品名稱 | 來源 |
|---|---|---|
| CSB-BP006255HU1 CSB-MP006255HU1 CSB-EP006255HU1-B |
Recombinant Human C-X-C chemokine receptor type 5 (CXCR5), partial | Baculovirus Mammalian cell In Vivo Biotinylation in E.coli |
| CSB-CF006255HU | Recombinant Human C-X-C chemokine receptor type 5 (CXCR5) | in vitro E.coli expression system |
| CSB-YP006255HU1 | Recombinant Human C-X-C chemokine receptor type 5 (CXCR5), partial | Yeast |
| CSB-YP006255HU1b0 | Recombinant Human C-X-C chemokine receptor type 5 (CXCR5), partial | Yeast |
| CSB-YP006255HU1a4 | Recombinant Human C-X-C chemokine receptor type 5 (CXCR5), partial | Yeast |
| CSB-EP006255HU1 | Recombinant Human C-X-C chemokine receptor type 5(CXCR5), partial | E.coli |






