CXCR2
CXCR2全稱為C-X-C趨化因子受體2型,又稱IL-8受體β或CD182,屬于G蛋白偶聯受體超家族成員。CXCR2通過與IL-8、GROα等趨化因子結合,介導中性粒細胞向炎癥部位遷移,在急慢性炎癥反應、組織修復及腫瘤微環境調控中發揮關鍵作用。CXCR2異常活化與慢性阻塞性肺病、銀屑病、類風濕性關節炎等炎癥性疾病密切相關,其在多種實體瘤中通過招募髓系抑制細胞促進免疫逃逸的特性也備受關注。
針對CXCR2的藥物開發聚焦于小分子拮抗劑,如Navarixin(MK-7123)已完成銀屑病二期臨床試驗,AZD5069在慢阻肺治療中顯示出抑制中性粒細胞浸潤的效果。由于CXCR2拮抗可能影響正常免疫功能,部分藥物因療效不足或毒副作用終止研發。目前研究轉向聯合用藥策略,如在胰腺癌治療中與免疫檢查點抑制劑聯用,或開發雙重CXCR1/CXCR2抑制劑以增強抗炎效果。該靶點的組織特異性調控機制仍是轉化醫學研究的難點。
熱銷產品
Recombinant Human C-X-C chemokine receptor type 2 (CXCR2)-VLPs (Active) (CSB-MP011673HU(A4))
驗證數據
CSB-MP011673HU(A4) is detected by Mouse anti-6*His monoclonal antibody.
Activity
Measured by its binding ability in a functional ELISA. Immobilized Human CXCR2 at 2 μg/ml can bind Anti-CXCR2 recombinant antibody (CSB-RA011673MA1HU). The EC50 is 0.3741-0.4671 ng/mL.
The VLPs (CSB-MP3838) is negative control.
Recombinant Human C-X-C chemokine receptor type 2 (CXCR2), partial (CSB-EP011673HU)
驗證數據
(Tris-Glycine gel) Discontinuous SDS-PAGE (reduced) with 5% enrichment gel and 15% separation gel.
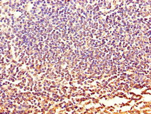
CXCR2 Antibody (CSB-PA011673HA01HU)
驗證數據
Immunohistochemistry of paraffin-embedded human lymph node tissue using CSB-PA011673HA01HU at dilution of 1:100
Immunohistochemistry of paraffin-embedded human tonsil tissue using CSB-PA011673HA01HU at dilution of 1:100
Immunofluorescent analysis of HepG2 cells using CSB-PA011673HA01HU at dilution of 1:100 and Alexa Fluor 488-congugated AffiniPure Goat Anti-Rabbit IgG(H+L)
CXCR2 Antibodies
CXCR2 for Homo sapiens (Human)
| 產品貨號 | 產品名稱 | 種屬反應性 | 應用類型 |
|---|---|---|---|
| CSB-PA011673GA01HU | CXCR2 Antibody | Human | ELISA,WB,IF |
| CSB-PA974167 | Phospho-CXCR2 (Ser347) Antibody | Human,Mouse | ELISA,WB |
| CSB-PA005633 | CXCR2 Antibody | Human | WB, ELISA |
| CSB-PA009566 | Phospho-CXCR2 (S347) Antibody | Human,Mouse | WB, IHC, IF, ELISA |
| CSB-PA009567 | CXCR2 Antibody | Human,Mouse | IF, ELISA |
| CSB-PA730026 | CXCR2 Antibody | Human | ELISA,WB |
| CSB-PA282080 | CXCR2 Antibody | Human | ELISA,WB |
| CSB-PA011673HA01HU | CXCR2 Antibody | Human | ELISA, IHC, IF |
| CSB-PA011673HB01HU | CXCR2 Antibody, HRP conjugated | Human | ELISA |
CXCR2 Proteins
CXCR2 Proteins for Homo sapiens (Human)
| 產品貨號 | 產品名稱 | 來源 |
|---|---|---|
| CSB-YP011673HU CSB-BP011673HU CSB-MP011673HU CSB-EP011673HU-B |
Recombinant Human C-X-C chemokine receptor type 2 (CXCR2), partial | Yeast Baculovirus Mammalian cell In Vivo Biotinylation in E.coli |
| CSB-EP011673HU | Recombinant Human C-X-C chemokine receptor type 2 (CXCR2), partial | E.coli |
| CSB-CF011673HU(A4) | Recombinant Human C-X-C chemokine receptor type 2 (CXCR2) | in vitro E.coli expression system |
CXCR2 Proteins for Oryctolagus cuniculus (Rabbit)
| 產品貨號 | 產品名稱 | 來源 |
|---|---|---|
| CSB-YP011673RB1 CSB-EP011673RB1 CSB-BP011673RB1 CSB-MP011673RB1 CSB-EP011673RB1-B |
Recombinant Rabbit C-X-C chemokine receptor type 2 (CXCR2), partial | Yeast E.coli Baculovirus Mammalian cell In Vivo Biotinylation in E.coli |
| CSB-CF011673RB | Recombinant Rabbit C-X-C chemokine receptor type 2 (CXCR2) | in vitro E.coli expression system |
CXCR2 Proteins for Rattus norvegicus (Rat)
| 產品貨號 | 產品名稱 | 來源 |
|---|---|---|
| CSB-YP011673RA1 CSB-EP011673RA1 CSB-BP011673RA1 CSB-MP011673RA1 CSB-EP011673RA1-B |
Recombinant Rat C-X-C chemokine receptor type 2 (Cxcr2), partial | Yeast E.coli Baculovirus Mammalian cell In Vivo Biotinylation in E.coli |
| CSB-CF011673RA | Recombinant Rat C-X-C chemokine receptor type 2 (Cxcr2) | in vitro E.coli expression system |
CXCR2 Proteins for Mus musculus (Mouse)
| 產品貨號 | 產品名稱 | 來源 |
|---|---|---|
| CSB-YP011673MO1 CSB-EP011673MO1 CSB-BP011673MO1 CSB-MP011673MO1 CSB-EP011673MO1-B |
Recombinant Mouse C-X-C chemokine receptor type 2 (Cxcr2), partial | Yeast E.coli Baculovirus Mammalian cell In Vivo Biotinylation in E.coli |
| CSB-CF011673MO | Recombinant Mouse C-X-C chemokine receptor type 2 (Cxcr2) | in vitro E.coli expression system |
| CSB-MP011673MO | Recombinant Mouse C-X-C chemokine receptor type 2 (Cxcr2)-VLPs | Mammalian cell |
CXCR2 Proteins for Canis familiaris (Dog) (Canis lupus familiaris)
| 產品貨號 | 產品名稱 | 來源 |
|---|---|---|
| CSB-YP011673DO1 CSB-EP011673DO1 CSB-BP011673DO1 CSB-MP011673DO1 CSB-EP011673DO1-B |
Recombinant Dog C-X-C chemokine receptor type 2 (CXCR2), partial | Yeast E.coli Baculovirus Mammalian cell In Vivo Biotinylation in E.coli |
| CSB-CF011673DO | Recombinant Dog C-X-C chemokine receptor type 2 (CXCR2) | in vitro E.coli expression system |
CXCR2 Proteins for Macaca mulatta (Rhesus macaque)
| 產品貨號 | 產品名稱 | 來源 |
|---|---|---|
| CSB-YP630684MOW1 CSB-EP630684MOW1 CSB-BP630684MOW1 CSB-MP630684MOW1 CSB-EP630684MOW1-B |
Recombinant Macaca mulatta C-X-C chemokine receptor type 2 (CXCR2), partial | Yeast E.coli Baculovirus Mammalian cell In Vivo Biotinylation in E.coli |
| CSB-CF630684MOW | Recombinant Macaca mulatta C-X-C chemokine receptor type 2 (CXCR2) | in vitro E.coli expression system |
CXCR2 Proteins for Pan troglodytes (Chimpanzee)
| 產品貨號 | 產品名稱 | 來源 |
|---|---|---|
| CSB-YP631729EQV1 CSB-EP631729EQV1 CSB-BP631729EQV1 CSB-MP631729EQV1 CSB-EP631729EQV1-B |
Recombinant Pan troglodytes C-X-C chemokine receptor type 2 (CXCR2), partial | Yeast E.coli Baculovirus Mammalian cell In Vivo Biotinylation in E.coli |
| CSB-CF631729EQV | Recombinant Pan troglodytes C-X-C chemokine receptor type 2 (CXCR2) | in vitro E.coli expression system |
CXCR2 Proteins for Bos taurus (Bovine)
| 產品貨號 | 產品名稱 | 來源 |
|---|---|---|
| CSB-YP632950BO1 CSB-EP632950BO1 CSB-BP632950BO1 CSB-MP632950BO1 CSB-EP632950BO1-B |
Recombinant Bovine C-X-C chemokine receptor type 2 (CXCR2), partial | Yeast E.coli Baculovirus Mammalian cell In Vivo Biotinylation in E.coli |
| CSB-CF632950BO | Recombinant Bovine C-X-C chemokine receptor type 2 (CXCR2) | in vitro E.coli expression system |
CXCR2 Proteins for Gorilla gorilla gorilla (Lowland gorilla)
| 產品貨號 | 產品名稱 | 來源 |
|---|---|---|
| CSB-YP636722GGZ1 CSB-EP636722GGZ1 CSB-BP636722GGZ1 CSB-MP636722GGZ1 CSB-EP636722GGZ1-B |
Recombinant Gorilla gorilla gorilla C-X-C chemokine receptor type 2 (CXCR2), partial | Yeast E.coli Baculovirus Mammalian cell In Vivo Biotinylation in E.coli |
| CSB-CF636722GGZ | Recombinant Gorilla gorilla gorilla C-X-C chemokine receptor type 2 (CXCR2) | in vitro E.coli expression system |






