CX3CL1
CX3CL1蛋白全稱為C-X3-C基序趨化因子配體1,別名CXC3。這種獨特的趨化因子以跨膜形式存在于細胞表面,同時可被酶切釋放為可溶形式,兼具細胞黏附和趨化雙重功能。CX3CL1通過結合CX3CR1受體,在單核細胞、T細胞和神經小膠質細胞的遷移中起關鍵作用,尤其在神經免疫交互中表現突出。
CX3CL1與阿爾茨海默病、帕金森病等神經退行性疾病密切相關,腦內小膠質細胞通過CX3CL1-CX3CR1軸調控神經炎癥進程。在心血管領域,CX3CL1參與動脈粥樣硬化斑塊形成,促進單核細胞向血管壁浸潤。針對該通路的藥物開發已進入臨床試驗階段,例如E6011單抗通過阻斷CX3CL1-CX3CR1相互作用,在類風濕性關節炎和狼瘡性腎炎治療中顯示出潛力。阿爾茨海默病動物模型中,抑制該通路可減少β淀粉樣蛋白沉積,為神經退行性疾病治療提供了新方向。
熱銷產品
Recombinant Human Fractalkine (CX3CL1), partial, Biotinylated (CSB-MP006235HU-B)
驗證數據
(Tris-Glycine gel) Discontinuous SDS-PAGE (reduced) with 5% enrichment gel and 15% separation gel.
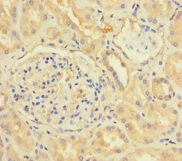
CX3CL1 Antibody (CSB-PA06087A0Rb)
驗證數據
Immunohistochemistry of paraffin-embedded human kidney tissue using CSB-PA06087A0Rb at dilution of 1:100
Immunohistochemistry of paraffin-embedded human gastric cancer using CSB-PA06087A0Rb at dilution of 1:100
Immunofluorescent analysis of Hela cells cells using CSB-PA06087A0Rb at dilution of 1:100 and Alexa Fluor 488-congugated AffiniPure Goat Anti-Rabbit IgG(H+L)
CX3CL1 Antibodies
CX3CL1 for Homo sapiens (Human)
| 產品貨號 | 產品名稱 | 種屬反應性 | 應用類型 |
|---|---|---|---|
| CSB-PA06087A0Rb | CX3CL1 Antibody | Human | ELISA, IHC, IF |
| CSB-PA006235GA01HU | CX3CL1 Antibody | Human | ELISA,WB |
| CSB-PA005564 | CX3CL1 Antibody | Human | WB, ELISA |
| CSB-PA092112 | CX3CL1 Antibody | Human,Mouse,Rat | ELISA,IHC |
CX3CL1 Proteins
CX3CL1 Proteins for Homo sapiens (Human)
| 產品貨號 | 產品名稱 | 來源 |
|---|---|---|
| CSB-YP006235HU CSB-EP006235HU CSB-BP006235HU CSB-MP006235HU CSB-EP006235HU-B |
Recombinant Human Fractalkine (CX3CL1) | Yeast E.coli Baculovirus Mammalian cell In Vivo Biotinylation in E.coli |
| CSB-EP006235HU(F) | Recombinant Human Fractalkine (CX3CL1), partial | E.coli |
| CSB-AP000801HU | Recombinant Human Fractalkine protein (CX3CL1), partial (Active) | E.Coli |
| CSB-MP006235HU-B | Recombinant Human Fractalkine (CX3CL1), partial, Biotinylated | Mammalian cell |
CX3CL1 Proteins for Mus musculus (Mouse)
| 產品貨號 | 產品名稱 | 來源 |
|---|---|---|
| CSB-YP006235MO1 CSB-EP006235MO1 CSB-BP006235MO1 CSB-MP006235MO1 CSB-EP006235MO1-B |
Recombinant Mouse Fractalkine (Cx3cl1), partial | Yeast E.coli Baculovirus Mammalian cell In Vivo Biotinylation in E.coli |
| CSB-AP001211MO | Recombinant Mouse Fractalkine protein (Cx3cl1), partial (Active) | E.Coli |
| CSB-CF006235MO | Recombinant Mouse Fractalkine (Cx3cl1) | in vitro E.coli expression system |
CX3CL1 Proteins for Rattus norvegicus (Rat)
| 產品貨號 | 產品名稱 | 來源 |
|---|---|---|
| CSB-YP006235RA1 CSB-EP006235RA1 CSB-BP006235RA1 CSB-MP006235RA1 CSB-EP006235RA1-B |
Recombinant Rat Fractalkine (Cx3cl1), partial | Yeast E.coli Baculovirus Mammalian cell In Vivo Biotinylation in E.coli |
| CSB-AP001511RA | Recombinant Rat Fractalkine protein (Cx3cl1), partial (Active) | E.Coli |
| CSB-CF006235RA | Recombinant Rat Fractalkine (Cx3cl1) | in vitro E.coli expression system |
CX3CL1 ELISA Kit
CX3CL1 ELISA Kit for Homo sapiens (Human)
| 產品貨號 | 產品名稱 | 樣本類型 | 靈敏度 |
|---|---|---|---|
| CSB-E04558h | Human Fractalkine,FK ELISA Kit | serum, plasma, tissue homogenates | 0.078 ng/mL |
CX3CL1 ELISA Kit for Mus musculus (Mouse)
| 產品貨號 | 產品名稱 | 樣本類型 | 靈敏度 |
|---|---|---|---|
| CSB-E04559m | Mouse Fractalkine,FK ELISA Kit | serum, plasma, cell culture supernates, tissue homogenates | 31.25 pg/mL |
CX3CL1 ELISA Kit for Rattus norvegicus (Rat)
| 產品貨號 | 產品名稱 | 樣本類型 | 靈敏度 |
|---|---|---|---|
| CSB-E04560r | Rat Fractalkine,FK ELISA Kit | serum, plasma | 0.078 ng/mL |






