CTSB
組織蛋白酶B(Cathepsin B)是一種溶酶體半胱氨酸蛋白酶,常被簡稱為CathB或CTSB。這種酶在正常生理狀態下負責降解受損蛋白質,維持細胞穩態,但在病理條件下可能促進腫瘤侵襲與炎癥反應。研究發現,其過度激活會破壞細胞外基質,加速癌細胞穿透血管壁形成轉移灶,在乳腺癌、膠質瘤等多種惡性腫瘤中呈現高表達特征。此外,該蛋白酶還參與阿爾茨海默病的β淀粉樣蛋白沉積過程,并能激活炎癥小體加重類風濕性關節炎。
近年來針對CTSB的藥物開發聚焦于特異性抑制劑,例如CA-074系列化合物已顯示出阻斷腫瘤轉移的潛力。部分研究嘗試將CTSB抑制劑與免疫檢查點療法聯用,通過調控腫瘤微環境增強抗PD-1治療效果。在神經退行性疾病領域,小分子抑制劑Esteya表現出抑制tau蛋白異常磷酸化的作用,目前處于臨床前研究階段。值得注意的是,新冠病毒感染研究中發現CTSB可能參與病毒刺突蛋白的切割激活,這為抗病毒藥物研發提供了新思路。
熱銷產品
Recombinant Human Cathepsin B (CTSB), partial (CSB-EP006185HU1e1)
驗證數據
(Tris-Glycine gel) Discontinuous SDS-PAGE (reduced) with 5% enrichment gel and 15% separation gel.
CTSB Antibody (CSB-PA06974A0Rb)
驗證數據
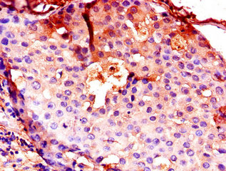
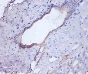
Immunohistochemistry of paraffin-embedded human liver tissue using CSB-PA06974A0Rb at dilution of 1:100
Western Blot
Positive WB detected in: Mouse heart tissue, Mouse liver tissue
All lanes: CTSB antibody at 3µg/ml
Secondary
Goat polyclonal to rabbit IgG at 1/50000 dilution
Predicted band size: 38 kDa
Observed band size: 38 kDa
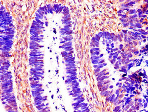
Immunohistochemistry of paraffin-embedded human ovarian cancer using CSB-PA06974A0Rb at dilution of 1:100
Immunohistochemistry of paraffin-embedded human breast cancer using CSB-PA06974A0Rb at dilution of 1:100
Immunofluorescent analysis of A375 cells using CSB-PA06974A0Rb at dilution of 1:100 and Alexa Fluor 488-congugated AffiniPure Goat Anti-Rabbit IgG(H+L)
Human cathepsin B (CTSB) ELISA kit (CSB-E13450h)
驗證數據
貨號:CSB-E13450h
規格:96T/48T
靈敏度:0.078 ng/mL
檢測范圍:0.312 ng/mL-20 ng/mL
These standard curves are provided for demonstration only. A standard curve should be generated for each set of samples assayed.
CTSB Antibodies
CTSB for Homo sapiens (Human)
| 產品貨號 | 產品名稱 | 種屬反應性 | 應用類型 |
|---|---|---|---|
| CSB-PA06974A0Rb | CTSB Antibody | Human, Mouse | ELISA, WB, IHC, IF |
| CSB-PA06974B0Rb | CTSB Antibody, HRP conjugated | Human | ELISA |
| CSB-PA06974C0Rb | CTSB Antibody, FITC conjugated | Human | |
| CSB-PA06974D0Rb | CTSB Antibody, Biotin conjugated | Human | ELISA |
| CSB-PA006185GA01HU | CTSB Antibody | Human,Mouse,Rat | ELISA,WB |
| CSB-PA001296 | CTSB Antibody | Human,Mouse,Rat | WB, IHC, ELISA |
| CSB-PA047604 | CTSB Antibody | Human,Mouse,Rat | ELISA,IHC |
| CSB-PA825136 | CTSB Antibody | Human,Mouse,Rat | ELISA,IHC |
CTSB Proteins
CTSB Proteins for Ovis aries (Sheep)
| 產品貨號 | 產品名稱 | 來源 |
|---|---|---|
| CSB-YP006185SH CSB-EP006185SH CSB-BP006185SH CSB-MP006185SH CSB-EP006185SH-B |
Recombinant Sheep Cathepsin B (CTSB) | Yeast E.coli Baculovirus Mammalian cell In Vivo Biotinylation in E.coli |
CTSB Proteins for Mus musculus (Mouse)
| 產品貨號 | 產品名稱 | 來源 |
|---|---|---|
| CSB-YP006185MO CSB-EP006185MO CSB-BP006185MO CSB-MP006185MO CSB-EP006185MO-B |
Recombinant Mouse Cathepsin B (Ctsb) | Yeast E.coli Baculovirus Mammalian cell In Vivo Biotinylation in E.coli |
CTSB Proteins for Gallus gallus (Chicken)
| 產品貨號 | 產品名稱 | 來源 |
|---|---|---|
| CSB-YP006185CH CSB-EP006185CH CSB-BP006185CH CSB-MP006185CH CSB-EP006185CH-B |
Recombinant Chicken Cathepsin B (CTSB) | Yeast E.coli Baculovirus Mammalian cell In Vivo Biotinylation in E.coli |
CTSB Proteins for Rattus norvegicus (Rat)
| 產品貨號 | 產品名稱 | 來源 |
|---|---|---|
| CSB-YP006185RA CSB-EP006185RA CSB-BP006185RA CSB-MP006185RA CSB-EP006185RA-B |
Recombinant Rat Cathepsin B (Ctsb) | Yeast E.coli Baculovirus Mammalian cell In Vivo Biotinylation in E.coli |
CTSB Proteins for Homo sapiens (Human)
| 產品貨號 | 產品名稱 | 來源 |
|---|---|---|
| CSB-EP006185HU CSB-BP006185HU CSB-MP006185HU CSB-EP006185HU-B |
Recombinant Human Cathepsin B (CTSB) | E.coli Baculovirus Mammalian cell In Vivo Biotinylation in E.coli |
| CSB-EP006185HU1 | Recombinant Human Cathepsin B (CTSB), partial | E.coli |
| CSB-AP005381HU | Recombinant Human Cathepsin B (CTSB), partial (Active) | Mammalian cell |
| CSB-EP006185HU1e1 | Recombinant Human Cathepsin B (CTSB), partial | E.coli |
| CSB-YP006185HU | Recombinant Human Cathepsin B (CTSB) | Yeast |
| CSB-MP006185HU3(M) | Recombinant Human Cathepsin B (CTSB)(L26V) | Mammalian cell |
CTSB Proteins for Bos taurus (Bovine)
| 產品貨號 | 產品名稱 | 來源 |
|---|---|---|
| CSB-YP006185BO CSB-EP006185BO CSB-BP006185BO CSB-MP006185BO CSB-EP006185BO-B |
Recombinant Bovine Cathepsin B (CTSB) | Yeast E.coli Baculovirus Mammalian cell In Vivo Biotinylation in E.coli |
CTSB Proteins for Sus scrofa (Pig)
| 產品貨號 | 產品名稱 | 來源 |
|---|---|---|
| CSB-YP006185PI CSB-EP006185PI CSB-BP006185PI CSB-MP006185PI CSB-EP006185PI-B |
Recombinant Pig Cathepsin B (CTSB) | Yeast E.coli Baculovirus Mammalian cell In Vivo Biotinylation in E.coli |
CTSB Proteins for Coturnix coturnix japonica (Japanese quail) (Coturnix japonica)
| 產品貨號 | 產品名稱 | 來源 |
|---|---|---|
| CSB-YP006185DXJ CSB-EP006185DXJ CSB-BP006185DXJ CSB-MP006185DXJ CSB-EP006185DXJ-B |
Recombinant Coturnix coturnix japonica Cathepsin B (CTSB) | Yeast E.coli Baculovirus Mammalian cell In Vivo Biotinylation in E.coli |
CTSB Proteins for Dictyostelium discoideum (Slime mold)
| 產品貨號 | 產品名稱 | 來源 |
|---|---|---|
| CSB-YP006185DKK CSB-EP006185DKK CSB-BP006185DKK CSB-MP006185DKK CSB-EP006185DKK-B |
Recombinant Dictyostelium discoideum Cathepsin B (ctsB) | Yeast E.coli Baculovirus Mammalian cell In Vivo Biotinylation in E.coli |
CTSB Proteins for Pongo abelii (Sumatran orangutan)
| 產品貨號 | 產品名稱 | 來源 |
|---|---|---|
| CSB-YP006185PYX CSB-EP006185PYX CSB-BP006185PYX CSB-MP006185PYX CSB-EP006185PYX-B |
Recombinant Pongo abelii Cathepsin B (CTSB) | Yeast E.coli Baculovirus Mammalian cell In Vivo Biotinylation in E.coli |
CTSB Proteins for Macaca fascicularis (Crab-eating macaque) (Cynomolgus monkey)
| 產品貨號 | 產品名稱 | 來源 |
|---|---|---|
| CSB-YP006185MOV CSB-EP006185MOV CSB-BP006185MOV CSB-MP006185MOV CSB-EP006185MOV-B |
Recombinant Macaca fascicularis Cathepsin B (CTSB) | Yeast E.coli Baculovirus Mammalian cell In Vivo Biotinylation in E.coli |
CTSB ELISA Kit
CTSB ELISA Kit for Mus musculus (Mouse)
| 產品貨號 | 產品名稱 | 樣本類型 | 靈敏度 |
|---|---|---|---|
| CSB-EL006185MO | Mouse Cathepsin B(CTSB) ELISA kit | serum, plasma, tissue homogenates, cell lysates | 3.9 pg/mL |
CTSB ELISA Kit for Rattus norvegicus (Rat)
| 產品貨號 | 產品名稱 | 樣本類型 | 靈敏度 |
|---|---|---|---|
| CSB-EL006185RA | Rat Cathepsin B(CTSB) ELISA kit | serum, plasma, tissue homogenates, cell lysates | 4.67 ng/mL |
CTSB ELISA Kit for Homo sapiens (Human)
| 產品貨號 | 產品名稱 | 樣本類型 | 靈敏度 |
|---|---|---|---|
| CSB-E13450h | Human cathepsin B (CTSB) ELISA kit | serum, plasma, tissue homogenates | 0.078 ng/mL |






