CRLF2
CDLF2,即細胞因子受體樣因子2,別名CRLF2。它是由人類CRLF2基因編碼的I型細胞因子受體家族成員。CRLF2蛋白是胸腺基質淋巴生成素(TSLP)的受體,與白細胞介素7受體(IL7R)一起,能夠激活STAT3、STAT5和JAK2途徑,這些途徑控制著細胞增殖和造血系統發育等過程。CRLF2的作用機制涉及與TSLP和IL7R形成功能性復合體,通過激活JAK-STAT信號通路來刺激細胞增殖。CRLF2在正常B淋巴細胞的發育中起重要作用,但在急性淋巴細胞白血?。ˋLL)中,CRLF2的過表達或重排與疾病的發生發展有關,尤其是在Ph樣ALL(費城染色體樣急性淋巴細胞白血?。┲?,CRLF2的重排導致細胞表面CRLF2高表達,刺激前B淋巴細胞增殖,與不良預后相關。
熱銷產品
驗證數據
(Tris-Glycine gel) Discontinuous SDS-PAGE (reduced) with 5% enrichment gel and 15% separation gel.
Activity
Measured by its binding ability in a functional ELISA.Immobilized Macaca fascicularis TSLP(CSB-MP5042MOVd7-B) at 2 μg/ml on streptavidin coated plates can bind Macaca fascicularis CRLF2 protein. The EC50 is 2.698-3.710 ng/mL.
驗證數據
(Tris-Glycine gel) Discontinuous SDS-PAGE (reduced) with 5% enrichment gel and 15% separation gel.
Activity
Measured by its binding ability in a functional ELISA.Immobilized Macaca fascicularis CRLF2 at 2 μg/ml can bind Anti-CRLF2 recombinant antibody(CSB-RA005983MA1HU). The EC50 is 2.079-2.450 ng/mL.
驗證數據
(Tris-Glycine gel) Discontinuous SDS-PAGE (reduced) with 5% enrichment gel and 15% separation gel.
Activity
Measured by its binding ability in a functional ELISA.Immobilized Human CRLF2 at 2 μg/ml on streptavidin coated plates can bind Anti-CRLF2 recombinant antibody(CSB-RA005983MA1HU). The EC50 is 3.631-7.668 ng/mL.
Recombinant Human Cytokine receptor-like factor 2 (CRLF2), partial (Active) (CSB-MP005983HUd9)
驗證數據
(Tris-Glycine gel) Discontinuous SDS-PAGE (reduced) with 5% enrichment gel and 15% separation gel.
Activity
Measured by its binding ability in a functional ELISA.Immobilized Human TSLP(CSB-MP025141HUh7) at 2 μg/ml can bind Human CRLF2 protein.The EC50 is 41.01-45.10 ng/mL.
The purity of CRLF2 was greater than 95% as determined by SEC-HPLC
Recombinant Human Cytokine receptor-like factor 2 (CRLF2), partial (Active) (CSB-MP005983HU)
驗證數據
(Tris-Glycine gel) Discontinuous SDS-PAGE (reduced) with 5% enrichment gel and 15% separation gel.
Activity
Measured by its binding ability in a functional ELISA.Immobilized Human CRLF2 at 2 μg/ml can bind Anti-CRLF2 recombinant antibody(CSB-RA005983MA1HU). The EC50 is 1.630-1.842 ng/mL.
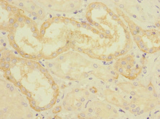
CRLF2 Antibody (CSB-PA005983ESR1HU)
驗證數據
Immunohistochemistry of paraffin-embedded human liver tissue using CSB-PA005983ESR1HU at dilution of 1:100
Immunohistochemistry of paraffin-embedded human kidney tissue using CSB-PA005983ESR1HU at dilution of 1:100
CRLF2 Antibodies
CRLF2 for Homo sapiens (Human)
| 產品貨號 | 產品名稱 | 種屬反應性 | 應用類型 |
|---|---|---|---|
| CSB-PA905549 | CRLF2 Antibody | Human | ELISA,IHC |
| CSB-PA976066 | CRLF2 Antibody | Human | ELISA,WB,IHC |
| CSB-PA005983ESR1HU | CRLF2 Antibody | Human | ELISA, IHC |
CRLF2 Proteins
CRLF2 Proteins for Mus musculus (Mouse)
| 產品貨號 | 產品名稱 | 來源 |
|---|---|---|
| CSB-YP005983MO CSB-EP005983MO CSB-BP005983MO CSB-MP005983MO CSB-EP005983MO-B |
Recombinant Mouse Cytokine receptor-like factor 2 (Crlf2), partial | Yeast E.coli Baculovirus Mammalian cell In Vivo Biotinylation in E.coli |
CRLF2 Proteins for Rattus norvegicus (Rat)
| 產品貨號 | 產品名稱 | 來源 |
|---|---|---|
| CSB-YP005983RA CSB-EP005983RA CSB-BP005983RA CSB-MP005983RA CSB-EP005983RA-B |
Recombinant Rat Cytokine receptor-like factor 2 (Crlf2), partial | Yeast E.coli Baculovirus Mammalian cell In Vivo Biotinylation in E.coli |
CRLF2 Proteins for Homo sapiens (Human)
| 產品貨號 | 產品名稱 | 來源 |
|---|---|---|
| CSB-YP005983HU CSB-EP005983HU CSB-BP005983HU CSB-EP005983HU-B |
Recombinant Human Cytokine receptor-like factor 2 (CRLF2), partial | Yeast E.coli Baculovirus In Vivo Biotinylation in E.coli |






