CREM
CREM,全稱cAMP響應元件調節因子,是一種參與細胞信號傳導的轉錄調控因子。它能夠結合cAMP響應元件,從而影響下游基因的轉錄。CREM蛋白具有多種別名,如ICER(Inducible cAMP early repressor),它在不同組織和細胞類型中表達水平存在差異。CREM蛋白與多種生理過程相關,包括葡萄糖代謝、生物鐘調節和視黃酸受體信號通路等。在疾病方面,CREM蛋白的表達異常與多種腫瘤的發生發展密切相關,如胃癌、前列腺癌、黑色素瘤等。此外,CREM蛋白也與神經系統疾病和肝臟疾病相關。目前,針對CREM蛋白的藥物研發尚處于起步階段,但已有研究表明,通過調控CREM蛋白的表達水平可以有效抑制腫瘤細胞的生長和轉移,并改善腫瘤患者的預后。因此,CREM蛋白有望成為腫瘤治療和神經系統疾病治療的新靶點。
熱銷產品
CREM Antibody (CSB-PA005961LA01HU)
驗證數據
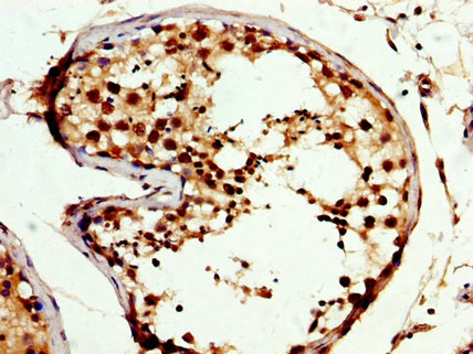
IHC image of CSB-PA005961LA01HU diluted at 1:300 and staining in paraffin-embedded human testis tissue performed on a Leica BondTM system. After dewaxing and hydration, antigen retrieval was mediated by high pressure in a citrate buffer (pH 6.0). Section was blocked with 10% normal goat serum 30min at RT. Then primary antibody (1% BSA) was incubated at 4°C overnight. The primary is detected by a biotinylated secondary antibody and visualized using an HRP conjugated SP system.
Immunofluorescence staining of Hela cells with CSB-PA005961LA01HU at 1:114, counter-stained with DAPI. The cells were fixed in 4% formaldehyde, permeabilized using 0.2% Triton X-100 and blocked in 10% normal Goat Serum. The cells were then incubated with the antibody overnight at 4°C. The secondary antibody was Alexa Fluor 488-congugated AffiniPure Goat Anti-Rabbit IgG(H+L).
CREM Antibodies
CREM for Homo sapiens (Human)
| 產品貨號 | 產品名稱 | 種屬反應性 | 應用類型 |
|---|---|---|---|
| CSB-PA005961GA01HU | CREM Antibody | Human,Mouse,Rat | ELISA,IHC |
| CSB-PA566721 | CREM Antibody | Human,Mouse,Rat | ELISA,WB |
| CSB-PA007277 | CREM Antibody | Human,Mouse,Rat | WB, IHC, ELISA |
| CSB-PA005961LA01HU | CREM Antibody | Human | ELISA, IHC, IF |
CREM Proteins
CREM Proteins for Homo sapiens (Human)
| 產品貨號 | 產品名稱 | 來源 |
|---|---|---|
| CSB-YP005961HU CSB-EP005961HU CSB-BP005961HU CSB-MP005961HU CSB-EP005961HU-B |
Recombinant Human cAMP-responsive element modulator (CREM) | Yeast E.coli Baculovirus Mammalian cell In Vivo Biotinylation in E.coli |






