COMT
COMT,即兒茶酚-O-甲基轉移酶,別名catechol-O-methyltransferase。它是一種參與兒茶酚胺類物質代謝的酶,在中樞神經系統和外周組織中均有分布,對神經遞質的平衡和調節起著重要作用。其作用機制是通過催化S-腺苷酰甲硫氨酸的甲基轉移至兒茶酚或兒茶酚胺的苯環3-位羥基上,從而調節這些神經遞質在突觸間隙中的濃度。COMT的基因多態性對酶的活性和功能有顯著影響,最常見的多態性是位于第22號染色體上的Val158Met(rs4680),即第158位氨基酸由纈氨酸(Val)變為蛋氨酸(Met)。這一多態性導致COMT酶活性的差異,進而影響個體對藥物的反應和某些疾病的風險,如精神分裂癥、抑郁癥、焦慮癥等精神疾病。COMT在多種疾病如帕金森病的發病機制和治療中具有重要意義。
熱銷產品
Recombinant Human Catechol O-methyltransferase (COMT), partial (CSB-EP005779HU)
驗證數據
(Tris-Glycine gel) Discontinuous SDS-PAGE (reduced) with 5% enrichment gel and 15% separation gel.
COMT Recombinant Monoclonal Antibody (CSB-RA909081A0HU)
驗證數據
Western Blot
Positive WB detected in: 293 whole cell lysate, THP-1 whole cell lysate, HepG2 whole cell lysate
All lanes: COMT Antibody at 1:1000
Secondary
Goat polyclonal to rabbit IgG at 1/50000 dilution
Predicted band size: 31, 25 kDa
Observed band size: 31 kDa
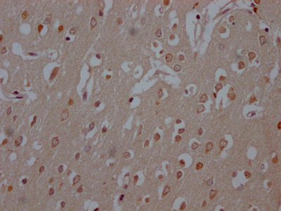
IHC image of CSB-RA909081A0HU diluted at 1:100 and staining in paraffin-embedded human brain tissue performed on a Leica BondTM system. After dewaxing and hydration, antigen retrieval was mediated by high pressure in a citrate buffer (pH 6.0). Section was blocked with 10% normal goat serum 30min at RT. Then primary antibody (1% BSA) was incubated at 4℃ overnight. The primary is detected by a Goat anti-rabbit IgG polymer labeled by HRP and visualized using 0.05% DAB.
COMT Antibodies
COMT for Homo sapiens (Human)
| 產品貨號 | 產品名稱 | 種屬反應性 | 應用類型 |
|---|---|---|---|
| CSB-PA005779GA01HU | COMT Antibody | Human,Mouse,Rat | ELISA,WB,IHC,IF |
| CSB-PA443797 | COMT Antibody | Human | ELISA,WB |
| CSB-PA007149 | COMT Antibody | Human | WB, ELISA |
| CSB-RA909081A0HU | COMT Recombinant Monoclonal Antibody | Human | ELISA, WB, IHC |
COMT Proteins
COMT Proteins for Rattus norvegicus (Rat)
| 產品貨號 | 產品名稱 | 來源 |
|---|---|---|
| CSB-YP005779RA1 CSB-EP005779RA1 CSB-BP005779RA1 CSB-MP005779RA1 CSB-EP005779RA1-B |
Recombinant Rat Catechol O-methyltransferase (Comt), partial | Yeast E.coli Baculovirus Mammalian cell In Vivo Biotinylation in E.coli |
| CSB-CF005779RA | Recombinant Rat Catechol O-methyltransferase (Comt) | in vitro E.coli expression system |
COMT Proteins for Bos taurus (Bovine)
| 產品貨號 | 產品名稱 | 來源 |
|---|---|---|
| CSB-YP005779BO1 CSB-EP005779BO1 CSB-BP005779BO1 CSB-MP005779BO1 CSB-EP005779BO1-B |
Recombinant Bovine Catechol O-methyltransferase (COMT), partial | Yeast E.coli Baculovirus Mammalian cell In Vivo Biotinylation in E.coli |
| CSB-CF005779BO | Recombinant Bovine Catechol O-methyltransferase (COMT) | in vitro E.coli expression system |
COMT Proteins for Mus musculus (Mouse)
| 產品貨號 | 產品名稱 | 來源 |
|---|---|---|
| CSB-YP005779MO1 CSB-EP005779MO1 CSB-BP005779MO1 CSB-MP005779MO1 CSB-EP005779MO1-B |
Recombinant Mouse Catechol O-methyltransferase (Comt), partial | Yeast E.coli Baculovirus Mammalian cell In Vivo Biotinylation in E.coli |
| CSB-CF005779MO | Recombinant Mouse Catechol O-methyltransferase (Comt) | in vitro E.coli expression system |
COMT Proteins for Drosophila melanogaster (Fruit fly)
| 產品貨號 | 產品名稱 | 來源 |
|---|---|---|
| CSB-YP343978DLU CSB-EP343978DLU CSB-BP343978DLU CSB-MP343978DLU CSB-EP343978DLU-B |
Recombinant Drosophila melanogaster Vesicle-fusing ATPase 1 (comt), partial | Yeast E.coli Baculovirus Mammalian cell In Vivo Biotinylation in E.coli |
COMT Proteins for Clarkia breweri (Fairy fans) (Eucharidium breweri)
| 產品貨號 | 產品名稱 | 來源 |
|---|---|---|
| CSB-YP517818DTU CSB-EP517818DTU CSB-BP517818DTU CSB-MP517818DTU CSB-EP517818DTU-B |
Recombinant Clarkia breweri Caffeic acid 3-O-methyltransferase (COMT) | Yeast E.coli Baculovirus Mammalian cell In Vivo Biotinylation in E.coli |
COMT Proteins for Capsicum chinense (Scotch bonnet) (Bonnet pepper)
| 產品貨號 | 產品名稱 | 來源 |
|---|---|---|
| CSB-YP525733DQE CSB-EP525733DQE CSB-BP525733DQE CSB-MP525733DQE CSB-EP525733DQE-B |
Recombinant Capsicum chinense Caffeic acid 3-O-methyltransferase (COMT) | Yeast E.coli Baculovirus Mammalian cell In Vivo Biotinylation in E.coli |
COMT Proteins for Saccharum officinarum (Sugarcane)
| 產品貨號 | 產品名稱 | 來源 |
|---|---|---|
| CSB-YP526852SVV CSB-EP526852SVV CSB-BP526852SVV CSB-MP526852SVV CSB-EP526852SVV-B |
Recombinant Saccharum officinarum Caffeic acid 3-O-methyltransferase (COMT) | Yeast E.coli Baculovirus Mammalian cell In Vivo Biotinylation in E.coli |
COMT Proteins for Equus caballus (Horse)
| 產品貨號 | 產品名稱 | 來源 |
|---|---|---|
| CSB-YP705158HO CSB-EP705158HO CSB-BP705158HO CSB-MP705158HO CSB-EP705158HO-B |
Recombinant Horse Catechol O-methyltransferase (COMT), partial | Yeast E.coli Baculovirus Mammalian cell In Vivo Biotinylation in E.coli |
COMT Proteins for Oryza sativa subsp. japonica (Rice)
| 產品貨號 | 產品名稱 | 來源 |
|---|---|---|
| CSB-YP747764OFG CSB-EP747764OFG CSB-BP747764OFG CSB-MP747764OFG CSB-EP747764OFG-B |
Recombinant Oryza sativa subsp. japonica Quercetin 3-O-methyltransferase 1 (ROMT-9) | Yeast E.coli Baculovirus Mammalian cell In Vivo Biotinylation in E.coli |
COMT Proteins for Ammi majus (Bishop's weed)
| 產品貨號 | 產品名稱 | 來源 |
|---|---|---|
| CSB-YP754360AFAU CSB-EP754360AFAU CSB-BP754360AFAU CSB-MP754360AFAU CSB-EP754360AFAU-B |
Recombinant Ammi majus Caffeic acid 3-O-methyltransferase (COMT) | Yeast E.coli Baculovirus Mammalian cell In Vivo Biotinylation in E.coli |
COMT Proteins for Sus scrofa (Pig)
| 產品貨號 | 產品名稱 | 來源 |
|---|---|---|
| CSB-YP859909PI CSB-EP859909PI CSB-BP859909PI CSB-MP859909PI CSB-EP859909PI-B |
Recombinant Pig Catechol O-methyltransferase (COMT) | Yeast E.coli Baculovirus Mammalian cell In Vivo Biotinylation in E.coli |
COMT Proteins for Capsicum annuum (Bell pepper)
| 產品貨號 | 產品名稱 | 來源 |
|---|---|---|
| CSB-YP884319DQD CSB-EP884319DQD CSB-BP884319DQD CSB-MP884319DQD CSB-EP884319DQD-B |
Recombinant Capsicum annuum Caffeic acid 3-O-methyltransferase (COMT) | Yeast E.coli Baculovirus Mammalian cell In Vivo Biotinylation in E.coli |
COMT Proteins for Homo sapiens (Human)
| 產品貨號 | 產品名稱 | 來源 |
|---|---|---|
| CSB-CF005779HU | Recombinant Human Catechol O-methyltransferase (COMT) | in vitro E.coli expression system |
| CSB-EP005779HU | Recombinant Human Catechol O-methyltransferase (COMT), partial | E.coli |






