CNPY3
CNPY3,即C型鈉尿肽受體3,它是一種在多種組織中表達的蛋白質,尤其在心血管系統中的作用受到廣泛關注。CNPY3作為利鈉肽家族的共受體,參與調節體內水電解質平衡和血壓。其作用機制包括與C型鈉尿肽(CNP)結合,激活cGMP-PKG信號通路,導致血管舒張和尿鈉排泄增加。CNPY3通過與GC-A受體相互作用,參與信號傳導,影響細胞內cGMP水平,進而調節心血管功能。在生物學意義上,CNPY3對維持心血管穩態、促進心肌保護和血管生成具有重要作用。CNPY3的功能異常與高血壓、心臟重塑和血管疾病等心血管疾病的發生發展密切相關,是心血管疾病治療的潛在靶點。
熱銷產品
CNPY3 Antibody (CSB-PA874802ESR2HU)
驗證數據
Western blot
All lanes: CNPY3 antibody at 1.2µg/ml
Lane 1: HepG2 whole cell lysate
Lane 2: MCF-7 whole cell lysate
Secondary
Goat polyclonal to rabbit IgG at 1/10000 dilution
Predicted band size: 31, 6 kDa
Observed band size: 31 kDa
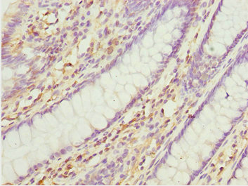
Immunohistochemistry of paraffin-embedded human colon cancer using CSB-PA874802ESR2HU at dilution of 1:100
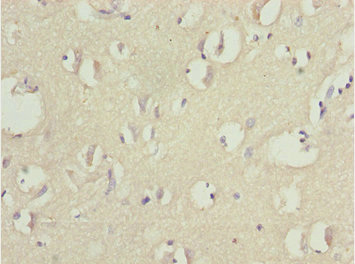
Immunohistochemistry of paraffin-embedded human brain tissue using CSB-PA874802ESR2HU at dilution of 1:100
CNPY3 Antibodies
CNPY3 for Homo sapiens (Human)
| 產品貨號 | 產品名稱 | 種屬反應性 | 應用類型 |
|---|---|---|---|
| CSB-PA874802ESR1HU | CNPY3 Antibody | Human | ELISA, IHC |
| CSB-PA874802ESR2HU | CNPY3 Antibody | Human | ELISA, WB, IHC |
CNPY3 Proteins
CNPY3 Proteins for Homo sapiens (Human)
| 產品貨號 | 產品名稱 | 來源 |
|---|---|---|
| CSB-YP874802HU CSB-EP874802HU CSB-BP874802HU CSB-MP874802HU CSB-EP874802HU-B |
Recombinant Human Protein canopy homolog 3 (CNPY3) | Yeast E.coli Baculovirus Mammalian cell In Vivo Biotinylation in E.coli |






