CLU
CLU,即叢生蛋白,別名SGP-2、SP-40、TRPM-2、KUB1、CLU1、CLU2。CLU是一種高度保守的糖蛋白,屬于補體系統調節因子和受體家族,廣泛分布于不同物種中。CLU的作用機制涉及多種生物學功能,包括調節細胞凋亡、促進細胞聚集、組織修復、轉運脂類、補體抑制和免疫調節。CLU可以編碼不同的蛋白產物,具有不同的細胞定位,發揮不同的生物學功能,主要是分泌型(sCLU)及核型(nCLU)。CLU不僅與多種生物過程相關,而且還與多種病理狀態有關,如神經退行性疾病、衰老和癌癥。CLU的表達與多種疾病的發生發展相關,使其成為一個有潛力的治療靶點和生物標志物。
熱銷產品
Recombinant Human Clusterin (CLU) (Active) (CSB-MP005595HUd7)
驗證數據
(Tris-Glycine gel) Discontinuous SDS-PAGE (reduced) with 5% enrichment gel and 15% separation gel.
Activity
Measured by its binding ability in a functional ELISA. Immobilized Human CLU at 2 μg/ml can bind Anti-CLU recombinant antibody (CSB-RA005595MA1HU). The EC50 is 2.032-2.320 ng/mL.
Recombinant Human Clusterin (CLU) (CSB-MP005595HU)
驗證數據
(Tris-Glycine gel) Discontinuous SDS-PAGE (reduced) with 5% enrichment gel and 15% separation gel.
CLU Recombinant Monoclonal Antibody (CSB-RA449834A0HU)
驗證數據
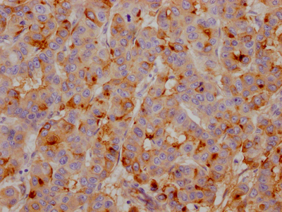
IHC image of CSB-RA449834A0HU diluted at 1:100 and staining in paraffin-embedded human breast cancer performed on a Leica BondTM system. After dewaxing and hydration, antigen retrieval was mediated by high pressure in a citrate buffer (pH 6.0). Section was blocked with 10% normal goat serum 30min at RT. Then primary antibody (1% BSA) was incubated at 4℃ overnight. The primary is detected by a Goat anti-rabbit IgG polymer labeled by HRP and visualized using 0.05% DAB.
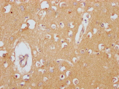
IHC image of CSB-RA449834A0HU diluted at 1:100 and staining in paraffin-embedded human brain tissue performed on a Leica BondTM system. After dewaxing and hydration, antigen retrieval was mediated by high pressure in a citrate buffer (pH 6.0). Section was blocked with 10% normal goat serum 30min at RT. Then primary antibody (1% BSA) was incubated at 4℃ overnight. The primary is detected by a Goat anti-rabbit IgG polymer labeled by HRP and visualized using 0.05% DAB.
CLU Antibodies
CLU for Homo sapiens (Human)
| 產品貨號 | 產品名稱 | 種屬反應性 | 應用類型 |
|---|---|---|---|
| CSB-PA005595GA01HU | CLU Antibody | Human,Mouse,Rat | ELISA,WB,IHC |
| CSB-PA06029A0Rb | CLU Antibody | Human | ELISA, IHC, IF |
| CSB-PA06029D0Rb | CLU Antibody, Biotin conjugated | Human | ELISA |
| CSB-PA001725 | CLU Antibody | Human,Mouse,Rat | WB, IHC, IF, ELISA |
| CSB-PA117475 | CLU Antibody | Human | ELISA,IHC |
| CSB-RA449834A0HU | CLU Recombinant Monoclonal Antibody | Human | ELISA, IHC |
CLU Proteins
CLU Proteins for Homo sapiens (Human)
| 產品貨號 | 產品名稱 | 來源 |
|---|---|---|
| CSB-YP005595HU CSB-BP005595HU CSB-EP005595HU-B |
Recombinant Human Clusterin (CLU) | Yeast Baculovirus In Vivo Biotinylation in E.coli |
| CSB-EP005595HU1 | Recombinant Human Clusterin (CLU), partial | E.coli |
| CSB-EP005595HU | Recombinant Human Clusterin (CLU) | E.coli |
| CSB-MP005595HU | Recombinant Human Clusterin (CLU) | Mammalian cell |
CLU Proteins for Ovis aries (Sheep)
| 產品貨號 | 產品名稱 | 來源 |
|---|---|---|
| CSB-YP005595SH CSB-EP005595SH CSB-BP005595SH CSB-MP005595SH CSB-EP005595SH-B |
Recombinant Sheep Clusterin (CLU) | Yeast E.coli Baculovirus Mammalian cell In Vivo Biotinylation in E.coli |
CLU Proteins for Bos taurus (Bovine)
| 產品貨號 | 產品名稱 | 來源 |
|---|---|---|
| CSB-YP005595BO CSB-EP005595BO CSB-BP005595BO CSB-MP005595BO CSB-EP005595BO-B |
Recombinant Bovine Clusterin (CLU) | Yeast E.coli Baculovirus Mammalian cell In Vivo Biotinylation in E.coli |
CLU Proteins for Canis familiaris (Dog) (Canis lupus familiaris)
| 產品貨號 | 產品名稱 | 來源 |
|---|---|---|
| CSB-YP005595DO CSB-EP005595DO CSB-BP005595DO CSB-MP005595DO CSB-EP005595DO-B |
Recombinant Dog Clusterin (CLU) | Yeast E.coli Baculovirus Mammalian cell In Vivo Biotinylation in E.coli |
CLU Proteins for Mesocricetus auratus (Golden hamster)
| 產品貨號 | 產品名稱 | 來源 |
|---|---|---|
| CSB-YP005595MRG CSB-BP005595MRG CSB-MP005595MRG CSB-EP005595MRG-B |
Recombinant Mesocricetus auratus Clusterin (CLU) | Yeast Baculovirus Mammalian cell In Vivo Biotinylation in E.coli |
CLU Proteins for Coturnix coturnix japonica (Japanese quail) (Coturnix japonica)
| 產品貨號 | 產品名稱 | 來源 |
|---|---|---|
| CSB-YP005595DXJ CSB-EP005595DXJ CSB-BP005595DXJ CSB-MP005595DXJ CSB-EP005595DXJ-B |
Recombinant Coturnix coturnix japonica Clusterin (CLU) | Yeast E.coli Baculovirus Mammalian cell In Vivo Biotinylation in E.coli |
CLU Proteins for Rattus norvegicus (Rat)
| 產品貨號 | 產品名稱 | 來源 |
|---|---|---|
| CSB-YP005595RA CSB-EP005595RA CSB-BP005595RA CSB-MP005595RA CSB-EP005595RA-B |
Recombinant Rat Clusterin (Clu) | Yeast E.coli Baculovirus Mammalian cell In Vivo Biotinylation in E.coli |
CLU Proteins for Drosophila melanogaster (Fruit fly)
| 產品貨號 | 產品名稱 | 來源 |
|---|---|---|
| CSB-YP381782DLU CSB-EP381782DLU CSB-BP381782DLU CSB-MP381782DLU CSB-EP381782DLU-B |
Recombinant Drosophila melanogaster Protein KIAA0664 homolog (CG8443), partial | Yeast E.coli Baculovirus Mammalian cell In Vivo Biotinylation in E.coli |
CLU Proteins for Drosophila ananassae (Fruit fly)
| 產品貨號 | 產品名稱 | 來源 |
|---|---|---|
| CSB-YP453413DKY CSB-EP453413DKY CSB-BP453413DKY CSB-MP453413DKY CSB-EP453413DKY-B |
Recombinant Drosophila ananassae Protein KIAA0664 homolog (GF12179), partial | Yeast E.coli Baculovirus Mammalian cell In Vivo Biotinylation in E.coli |
CLU Proteins for Drosophila virilis (Fruit fly)
| 產品貨號 | 產品名稱 | 來源 |
|---|---|---|
| CSB-YP453814DMP CSB-EP453814DMP CSB-BP453814DMP CSB-MP453814DMP CSB-EP453814DMP-B |
Recombinant Drosophila virilis Protein KIAA0664 homolog (GJ21424), partial | Yeast E.coli Baculovirus Mammalian cell In Vivo Biotinylation in E.coli |
CLU Proteins for Drosophila yakuba (Fruit fly)
| 產品貨號 | 產品名稱 | 來源 |
|---|---|---|
| CSB-YP453840DMR CSB-EP453840DMR CSB-BP453840DMR CSB-MP453840DMR CSB-EP453840DMR-B |
Recombinant Drosophila yakuba Protein KIAA0664 homolog (GE11763), partial | Yeast E.coli Baculovirus Mammalian cell In Vivo Biotinylation in E.coli |
CLU Proteins for Drosophila grimshawi (Fruit fly) (Idiomyia grimshawi)
| 產品貨號 | 產品名稱 | 來源 |
|---|---|---|
| CSB-YP455749DLL CSB-EP455749DLL CSB-BP455749DLL CSB-MP455749DLL CSB-EP455749DLL-B |
Recombinant Drosophila grimshawi Protein KIAA0664 homolog (GH22778), partial | Yeast E.coli Baculovirus Mammalian cell In Vivo Biotinylation in E.coli |
CLU Proteins for Drosophila willistoni (Fruit fly)
| 產品貨號 | 產品名稱 | 來源 |
|---|---|---|
| CSB-YP457700DMQ CSB-EP457700DMQ CSB-BP457700DMQ CSB-MP457700DMQ CSB-EP457700DMQ-B |
Recombinant Drosophila willistoni Protein KIAA0664 homolog (GK22132), partial | Yeast E.coli Baculovirus Mammalian cell In Vivo Biotinylation in E.coli |
CLU Proteins for Drosophila erecta (Fruit fly)
| 產品貨號 | 產品名稱 | 來源 |
|---|---|---|
| CSB-YP459260DLK CSB-EP459260DLK CSB-BP459260DLK CSB-MP459260DLK CSB-EP459260DLK-B |
Recombinant Drosophila erecta Protein KIAA0664 homolog (GG20578), partial | Yeast E.coli Baculovirus Mammalian cell In Vivo Biotinylation in E.coli |
CLU Proteins for Drosophila mojavensis (Fruit fly)
| 產品貨號 | 產品名稱 | 來源 |
|---|---|---|
| CSB-YP459632DLY CSB-EP459632DLY CSB-BP459632DLY CSB-MP459632DLY CSB-EP459632DLY-B |
Recombinant Drosophila mojavensis Protein KIAA0664 homolog (GI20574), partial | Yeast E.coli Baculovirus Mammalian cell In Vivo Biotinylation in E.coli |
CLU Proteins for Drosophila persimilis (Fruit fly)
| 產品貨號 | 產品名稱 | 來源 |
|---|---|---|
| CSB-YP461540DMB CSB-EP461540DMB CSB-BP461540DMB CSB-MP461540DMB CSB-EP461540DMB-B |
Recombinant Drosophila persimilis Protein KIAA0664 homolog (GL11405), partial | Yeast E.coli Baculovirus Mammalian cell In Vivo Biotinylation in E.coli |
CLU Proteins for Oryctolagus cuniculus (Rabbit)
| 產品貨號 | 產品名稱 | 來源 |
|---|---|---|
| CSB-YP005595RB CSB-EP005595RB CSB-BP005595RB CSB-MP005595RB CSB-EP005595RB-B |
Recombinant Rabbit Clusterin (CLU) | Yeast E.coli Baculovirus Mammalian cell In Vivo Biotinylation in E.coli |
CLU Proteins for Sus scrofa (Pig)
| 產品貨號 | 產品名稱 | 來源 |
|---|---|---|
| CSB-YP005595PI CSB-EP005595PI CSB-BP005595PI CSB-MP005595PI CSB-EP005595PI-B |
Recombinant Pig Clusterin (CLU) | Yeast E.coli Baculovirus Mammalian cell In Vivo Biotinylation in E.coli |
CLU Proteins for Equus caballus (Horse)
| 產品貨號 | 產品名稱 | 來源 |
|---|---|---|
| CSB-YP005595HO CSB-EP005595HO CSB-BP005595HO CSB-MP005595HO CSB-EP005595HO-B |
Recombinant Horse Clusterin (CLU) | Yeast E.coli Baculovirus Mammalian cell In Vivo Biotinylation in E.coli |
CLU Proteins for Drosophila pseudoobscura pseudoobscura (Fruit fly)
| 產品貨號 | 產品名稱 | 來源 |
|---|---|---|
| CSB-YP640896DME CSB-EP640896DME CSB-BP640896DME CSB-MP640896DME CSB-EP640896DME-B |
Recombinant Drosophila pseudoobscura pseudoobscura Protein KIAA0664 homolog (GA21082), partial | Yeast E.coli Baculovirus Mammalian cell In Vivo Biotinylation in E.coli |
CLU ELISA Kit
CLU ELISA Kit for Canis lupus familiaris (Dog) (Canis familiaris)
| 產品貨號 | 產品名稱 | 樣本類型 | 靈敏度 |
|---|---|---|---|
| CSB-E13770c | Dog clusterin,CLU ELISA Kit | serum, plasma, tissue homogenates | 4.963 ng/mL |
CLU ELISA Kit for Equus caballus (Horse)
| 產品貨號 | 產品名稱 | 樣本類型 | 靈敏度 |
|---|---|---|---|
| CSB-EL005595HO | Horse Clusterin(CLU) ELISA kit | serum, plasma, tissue homogenates | 3.9 ng/mL |
CLU ELISA Kit for Homo sapiens (Human)
| 產品貨號 | 產品名稱 | 樣本類型 | 靈敏度 |
|---|---|---|---|
| CSB-E09121h | Human clusterin,CLU ELISA Kit | serum, plasma, cell culture supernates, saliva, urine | 0.78 ng/mL |
CLU ELISA Kit for Mus musculus (Mouse)
| 產品貨號 | 產品名稱 | 樣本類型 | 靈敏度 |
|---|---|---|---|
| CSB-EL005595MO | Mouse Clusterin(CLU) ELISA kit | serum, plasma, cell culture supernates, tissue homogenates | 0.277 ng/mL |






