CLPTM1L
CLPTM1L,全稱 Cleft Lip and Palate Transmembrane Protein 1-Like,常見別名包括 CRR9p 和 CLPTM1-like 蛋白。該蛋白主要表達于皮膚、肺和胰腺等組織中,定位于高爾基體和內質網,參與細胞內的囊泡運輸和蛋白質分選過程。研究表明,CLPTM1L 蛋白可能通過抑制細胞凋亡促進細胞存活,并與端粒酶活性調節相關,影響細胞衰老和增殖。該蛋白的異常表達或突變與多種癌癥風險增加有關,特別是肺癌、胰腺癌和卵巢癌。例如,在非小細胞肺癌中,CLPTM1L 蛋白的高表達與較差的預后相關。因此,CLPTM1L 蛋白已成為潛在的診斷標志物和治療靶點。目前,針對 CLPTM1L 蛋白的藥物研發尚處于探索階段,但已有研究表明,抑制 CLPTM1L 蛋白可以抑制腫瘤發生,而提高其表達則可能增加細胞對凋亡信號的敏感性。
熱銷產品
CLPTM1L Antibody (CSB-PA850323LA01HU)
驗證數據
Western Blot
Positive WB detected in: K562 whole cell lysate
All lanes: CLPTM1L antibody at 3.7μg/ml
Secondary
Goat polyclonal to rabbit IgG at 1/50000 dilution
Predicted band size: 63, 59 kDa
Observed band size: 63 kDa
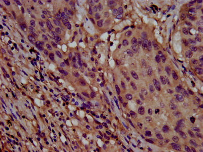
IHC image of CSB-PA850323LA01HU diluted at 1:800 and staining in paraffin-embedded human lung cancer performed on a Leica BondTM system. After dewaxing and hydration, antigen retrieval was mediated by high pressure in a citrate buffer (pH 6.0). Section was blocked with 10% normal goat serum 30min at RT. Then primary antibody (1% BSA) was incubated at 4°C overnight. The primary is detected by a biotinylated secondary antibody and visualized using an HRP conjugated SP system.
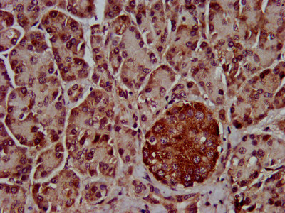
IHC image of CSB-PA850323LA01HU diluted at 1:800 and staining in paraffin-embedded human pancreatic tissue performed on a Leica BondTM system. After dewaxing and hydration, antigen retrieval was mediated by high pressure in a citrate buffer (pH 6.0). Section was blocked with 10% normal goat serum 30min at RT. Then primary antibody (1% BSA) was incubated at 4°C overnight. The primary is detected by a biotinylated secondary antibody and visualized using an HRP conjugated SP system.
Immunofluorescence staining of A549 cells with CSB-PA850323LA01HU at 1:266, counter-stained with DAPI. The cells were fixed in 4% formaldehyde, permeabilized using 0.2% Triton X-100 and blocked in 10% normal Goat Serum. The cells were then incubated with the antibody overnight at 4°C. The secondary antibody was Alexa Fluor 488-congugated AffiniPure Goat Anti-Rabbit IgG(H+L).
CLPTM1L Antibodies
CLPTM1L for Homo sapiens (Human)
| 產品貨號 | 產品名稱 | 種屬反應性 | 應用類型 |
|---|---|---|---|
| CSB-PA930031 | CLPTM1L Antibody | Human | ELISA,WB,IHC |
| CSB-PA017010 | CLPTM1L Antibody | Human | ELISA,IHC |
| CSB-PA850323LA01HU | CLPTM1L Antibody | Human | ELISA, WB, IHC, IF |
CLPTM1L Proteins
CLPTM1L Proteins for Homo sapiens (Human)
| 產品貨號 | 產品名稱 | 來源 |
|---|---|---|
| CSB-YP850323HU1 CSB-EP850323HU1 CSB-BP850323HU1 CSB-MP850323HU1 CSB-EP850323HU1-B |
Recombinant Human Lipid scramblase CLPTM1L (CLPTM1L), partial | Yeast E.coli Baculovirus Mammalian cell In Vivo Biotinylation in E.coli |
| CSB-CF850323HU | Recombinant Human Lipid scramblase CLPTM1L (CLPTM1L) | in vitro E.coli expression system |






