CLEC4E
CLEC4E,全稱為C-type lectin domain family 4 member E,是一種鈣依賴性凝集素,在先天免疫系統中充當模式識別受體。它負責檢測并結合細菌和真菌中發現的異常自身的損傷相關分子模式(DAMP)和病原體相關分子模式(PAMP)。CLEC4E蛋白常見別名包括Mincle,它在免疫應答中發揮著重要作用,能夠識別病原體表面的糖類結構,從而啟動免疫反應。CLEC4E蛋白與多種疾病相關,如肺病、狼瘡性腎炎和肥胖等。目前,針對CLEC4E蛋白的藥物研發正在積極進行中,旨在開發出能夠調節免疫反應的新型治療藥物。研究表明,CLEC4E蛋白的表達水平與疾病的發生發展密切相關,因此,它成為了一個重要的藥物靶點。
熱銷產品
CLEC4E Antibody (CSB-PA891553LA01HU)
驗證數據
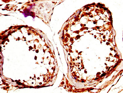
IHC image of CSB-PA891553LA01HU diluted at 1:600 and staining in paraffin-embedded human testis tissue performed on a Leica BondTM system. After dewaxing and hydration, antigen retrieval was mediated by high pressure in a citrate buffer (pH 6.0). Section was blocked with 10% normal goat serum 30min at RT. Then primary antibody (1% BSA) was incubated at 4°C overnight. The primary is detected by a biotinylated secondary antibody and visualized using an HRP conjugated SP system.
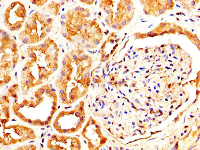
IHC image of CSB-PA891553LA01HU diluted at 1:600 and staining in paraffin-embedded human kidney tissue performed on a Leica BondTM system. After dewaxing and hydration, antigen retrieval was mediated by high pressure in a citrate buffer (pH 6.0). Section was blocked with 10% normal goat serum 30min at RT. Then primary antibody (1% BSA) was incubated at 4°C overnight. The primary is detected by a biotinylated secondary antibody and visualized using an HRP conjugated SP system.
Immunofluorescence staining of U251 cells with CSB-PA891553LA01HU at 1:250, counter-stained with DAPI. The cells were fixed in 4% formaldehyde, permeabilized using 0.2% Triton X-100 and blocked in 10% normal Goat Serum. The cells were then incubated with the antibody overnight at 4°C. The secondary antibody was Alexa Fluor 488-congugated AffiniPure Goat Anti-Rabbit IgG(H+L).
CLEC4E Antibodies
CLEC4E for Homo sapiens (Human)
| 產品貨號 | 產品名稱 | 種屬反應性 | 應用類型 |
|---|---|---|---|
| CSB-PA891553LA01HU | CLEC4E Antibody | Human | ELISA, IHC, IF |
CLEC4E Proteins
CLEC4E Proteins for Homo sapiens (Human)
| 產品貨號 | 產品名稱 | 來源 |
|---|---|---|
| CSB-YP891553HU CSB-EP891553HU CSB-BP891553HU CSB-MP891553HU CSB-EP891553HU-B |
Recombinant Human C-type lectin domain family 4 member E (CLEC4E), partial | Yeast E.coli Baculovirus Mammalian cell In Vivo Biotinylation in E.coli |






