CLEC14A
CLEC14A,也被稱為C型凝集素結構域含有14A蛋白,是一種在免疫系統中發揮重要作用的蛋白質。它能夠識別并結合病原體相關分子模式(PAMPs)和損傷相關分子模式(DAMPs),在先天免疫和適應性免疫中扮演關鍵角色。CLEC14A蛋白的異常表達或功能與多種疾病密切相關,包括腫瘤、感染性疾病和自身免疫性疾病。目前,針對CLEC14A的研究正在推動相關藥物的研發,以期開發出新的治療方法來治療這些疾病。
熱銷產品
CLEC14A Antibody (CSB-PA801222LA01HU)
驗證數據
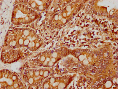
IHC image of CSB-PA801222LA01HU diluted at 1:400 and staining in paraffin-embedded human small intestine tissue performed on a Leica BondTM system. After dewaxing and hydration, antigen retrieval was mediated by high pressure in a citrate buffer (pH 6.0). Section was blocked with 10% normal goat serum 30min at RT. Then primary antibody (1% BSA) was incubated at 4°C overnight. The primary is detected by a biotinylated secondary antibody and visualized using an HRP conjugated SP system.
CLEC14A Antibodies
CLEC14A for Homo sapiens (Human)
| 產品貨號 | 產品名稱 | 種屬反應性 | 應用類型 |
|---|---|---|---|
| CSB-PA801222LA01HU | CLEC14A Antibody | Human | ELISA, IHC |
| CSB-PA801222LB01HU | CLEC14A Antibody, HRP conjugated | Human | ELISA |
| CSB-PA801222LC01HU | CLEC14A Antibody, FITC conjugated | Human | |
| CSB-PA801222LD01HU | CLEC14A Antibody, Biotin conjugated | Human | ELISA |
CLEC14A Proteins
CLEC14A Proteins for Homo sapiens (Human)
| 產品貨號 | 產品名稱 | 來源 |
|---|---|---|
| CSB-YP801222HU CSB-EP801222HU CSB-BP801222HU CSB-MP801222HU CSB-EP801222HU-B |
Recombinant Human C-type lectin domain family 14 member A (CLEC14A), partial | Yeast E.coli Baculovirus Mammalian cell In Vivo Biotinylation in E.coli |






