CIDEB
CIDEB,全稱為細胞死亡誘導DFFA樣效應子b(Cell death-inducing DFFA-like effector b),是一種在肝臟中高度表達的脂滴結合蛋白。它主要通過調節脂滴的融合與生長、極低密度脂蛋白(VLDL)的分泌以及肝臟新生脂質生成等,參與多種代謝和炎癥相關的生物學功能。研究表明,CIDEB的突變可能導致脂質代謝紊亂,與肥胖、非酒精性脂肪肝病(NAFLD)等代謝性疾病密切相關。
CIDEB蛋白的罕見突變已被證明與肝臟疾病的風險降低相關。例如,一項發表在《新英格蘭醫學雜志》上的研究發現,攜帶CIDEB罕見突變的個體,其罹患非酒精性脂肪肝炎(NASH)和肝硬化的風險分別降低了53%和54%。此外,CIDEB的突變對肥胖或患有第二型糖尿病的患者來說,具有更大的預防NASH的作用。
基于CIDEB蛋白的這些特性,正在探索將其作為治療肝臟疾病的靶點。例如,軼諾藥業和大睿生物合作研發了一種針對CIDEB基因的小核酸藥物(siRNA),在臨床前研究中取得了顯著成果。該藥物有望成為治療NASH和其他肝病的創新療法。
總的來說,CIDEB蛋白在肝臟疾病的發生發展中起著重要作用,其罕見突變具有肝臟保護作用,為肝臟疾病的藥物研發提供了新的思路和方向。
熱銷產品
CIDEB Antibody (CSB-PA12869A0Rb)
驗證數據
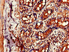
Immunohistochemistry of paraffin-embedded human small intestine tissue using CSB-PA12869A0Rb at dilution of 1:100
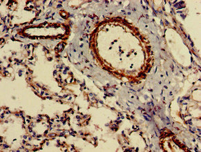
Immunohistochemistry of paraffin-embedded human lung tissue using CSB-PA12869A0Rb at dilution of 1:100
CIDEB Antibodies
CIDEB for Homo sapiens (Human)
| 產品貨號 | 產品名稱 | 種屬反應性 | 應用類型 |
|---|---|---|---|
| CSB-PA596246 | CIDEB Antibody | Human,Mouse | ELISA,WB,IHC,IF |
| CSB-PA001649 | CIDEB Antibody | Human,Mouse | WB, IHC, IF, ELISA |
| CSB-PA715372 | CIDEB Antibody | Human,Mouse | ELISA,IHC |
| CSB-PA552167 | CIDEB Antibody | Human,Mouse | ELISA,IHC |
| CSB-PA12869A0Rb | CIDEB Antibody | Human | ELISA, IHC |
CIDEB Proteins
CIDEB Proteins for Homo sapiens (Human)
| 產品貨號 | 產品名稱 | 來源 |
|---|---|---|
| CSB-YP887032HU CSB-EP887032HU CSB-BP887032HU CSB-MP887032HU CSB-EP887032HU-B |
Recombinant Human Lipid transferase CIDEB (CIDEB) | Yeast E.coli Baculovirus Mammalian cell In Vivo Biotinylation in E.coli |






