CIAO3
CIAO3,全稱為cytosolic iron-sulfur assembly component 3,在生物體內扮演著重要的角色。該蛋白也被稱為HPRN、IOP1、LET1L、NAR1、NARFL和PRN等。CIAO3蛋白參與細胞內的鐵硫簇組裝過程,是細胞鐵硫蛋白生物合成不可或缺的一部分。它與其他蛋白形成復合體,共同促進鐵硫簇的正確組裝,進而影響細胞內鐵代謝和氧化應激反應。研究表明,CIAO3蛋白可能參與調節HIF1A的表達水平,盡管這種影響可能是間接的。此外,CIAO3蛋白還與多種疾病的發生發展相關,如肺動脈畸形等。目前,針對CIAO3蛋白的功能和作用機制仍在深入研究中,相關藥物研發也處于探索階段。科學家們希望通過研究CIAO3蛋白,能夠開發出治療相關疾病的新藥,為患者帶來新的希望。
熱銷產品
CIAO3 Antibody (CSB-PA863991LA01HU)
驗證數據
Western Blot
Positive WB detected in: A549 whole cell lysate
All lanes: CIAO3 antibody at 2.7µg/ml
Secondary
Goat polyclonal to rabbit IgG at 1/50000 dilution
Predicted band size: 54, 27, 43 kDa
Observed band size: 54, 27 kDa
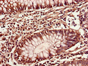
Immunohistochemistry of paraffin-embedded human colon cancer using CSB-PA863991LA01HU at dilution of 1:100
Immunofluorescent analysis of U251 cells using CSB-PA863991LA01HU at dilution of 1:100 and Alexa Fluor 488-congugated AffiniPure Goat Anti-Rabbit IgG(H+L)
CIAO3 Antibodies
CIAO3 for Homo sapiens (Human)
| 產品貨號 | 產品名稱 | 種屬反應性 | 應用類型 |
|---|---|---|---|
| CSB-PA015455GA01HU | NARFL Antibody | Human,Mouse,Rat | ELISA,WB,IHC |
| CSB-PA160212 | NARFL Antibody | Human | ELISA,WB |
| CSB-PA003370 | NARFL Antibody | Human | WB, IHC, ELISA |
| CSB-PA863991LA01HU | CIAO3 Antibody | Human | ELISA, WB, IHC, IF |
| CSB-PA863991LB01HU | CIAO3 Antibody, HRP conjugated | Human | ELISA |
| CSB-PA863991LC01HU | CIAO3 Antibody, FITC conjugated | Human | |
| CSB-PA863991LD01HU | CIAO3 Antibody, Biotin conjugated | Human | ELISA |
CIAO3 Proteins
CIAO3 Proteins for Homo sapiens (Human)
| 產品貨號 | 產品名稱 | 來源 |
|---|---|---|
| CSB-YP863991HU CSB-EP863991HU CSB-BP863991HU CSB-MP863991HU CSB-EP863991HU-B |
Recombinant Human Cytosolic Fe-S cluster assembly factor NARFL (NARFL) | Yeast E.coli Baculovirus Mammalian cell In Vivo Biotinylation in E.coli |






