CHEK2
CHEK2,全稱為細胞周期檢查點激酶2,常被簡稱為CHK2,也有RAD53同源物等別名。它是細胞內關鍵的“安全衛士”,當DNA遭遇損傷時會迅速激活,推動細胞暫時停止分裂進程,為DNA修復創造條件;若損傷無法逆轉,還會引導細胞啟動程序性死亡,防止異常細胞增殖擴散。
CHEK2功能異常與多種疾病密切相關,最突出的是乳腺癌、卵巢癌等惡性腫瘤——攜帶CHEK2突變的個體,患癌風險顯著上升,部分遺傳性腫瘤綜合征(如Li-Fraumeni樣綜合征)也與它的突變有關。在藥物研發領域,針對CHEK2的小分子抑制劑是研究熱點,部分候選藥物已進入臨床試驗階段,它們有望通過抑制異常CHEK2的活性,提升腫瘤細胞對放化療的敏感性,為相關突變患者提供新的治療選擇。
熱銷產品
CHEK2 Recombinant Monoclonal Antibody (CSB-RA828105A0HU)
驗證數據
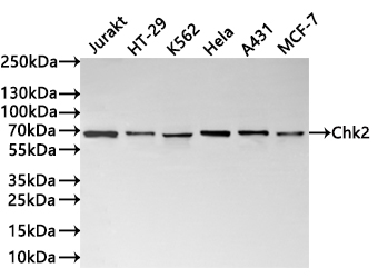
Western Blot
Positive WB detected in: Jurakt whole cell lysate(30μg), HT-29 whole cell lysate(30μg), K562 whole cell lysate(30μg), Hela whole cell lysate(30μg), A431 whole cell lysate(30μg), MCF-7 whole cell lysate(30μg)
All lanes: Chk2 antibody at 1:1000
Secondary
Goat polyclonal to rabbit IgG at 1/40000 dilution
Predicted band size: 61 kDa
Observed band size: 66 kDa
Exposure time:40s
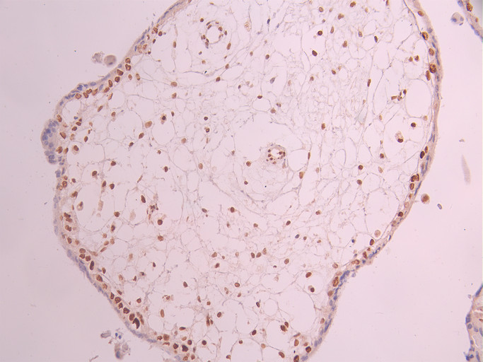
IHC image of CSB-RA828105A0HU diluted at 1:100 and staining in paraffin-embedded human placenta tissue performed on a Leica BondTM system. After dewaxing and hydration, antigen retrieval was mediated by high pressure in a citrate buffer (pH 6.0). Section was blocked with 10% normal goat serum 30min at RT. Then primary antibody (1% BSA) was incubated at 4°C overnight. The primary is detected by a Goat anti-rabbit polymer IgG labeled by HRP and visualized using 0.05% DAB.
Immunofluorescence staining of Hela cell with CSB-RA828105A0HU at 1:50, counter-stained with DAPI. The cells were fixed in 4% formaldehyde, permeabilized using 0.2% Triton X-100 and blocked in 10% normal Goat Serum. The cells were then incubated with the antibody overnight at 4°C. The secondary antibody was Alexa Fluor 488-congugated AffiniPure Goat Anti-Rabbit IgG(H+L).
Overlay Peak curve showing Hela cells stained with CSB-RA828105A0HU (red line) at 1:100. The cells were fixed in 4% formaldehyde and permeated by 0.2% TritonX-100 for 10min. Then 10% normal goat serum to block non-specific protein-protein interactions followed by the antibody (1ug/1*106cells) for 45min at 4℃. The secondary antibody used was FITC-conjugated goat anti-rabbit IgG (H+L) at 1/200 dilution for 35min at 4℃.Control antibody (green line) was Rabbit IgG (1ug/1*106cells) used under the same conditions. Acquisition of >10,000 events was performed.
CHEK2 Antibody (CSB-PA005339LA01HU)
驗證數據
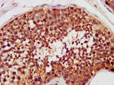
IHC image of CSB-PA005339LA01HU diluted at 1:200 and staining in paraffin-embedded human testis tissue performed on a Leica BondTM system. After dewaxing and hydration, antigen retrieval was mediated by high pressure in a citrate buffer (pH 6.0). Section was blocked with 10% normal goat serum 30min at RT. Then primary antibody (1% BSA) was incubated at 4°C overnight. The primary is detected by a biotinylated secondary antibody and visualized using an HRP conjugated SP system.
CHEK2 Antibodies
CHEK2 for Homo sapiens (Human)
| 產品貨號 | 產品名稱 | 種屬反應性 | 應用類型 |
|---|---|---|---|
| CSB-PA005339GA01HU | CHEK2 Antibody | Human,Mouse,Rat | ELISA,WB |
| CSB-PA440208 | Phospho-CHEK2 (Ser516) Antibody | Human | ELISA,WB |
| CSB-PA074742 | CHEK2 (Ab-516) Antibody | Human | ELISA,WB |
| CSB-PA983913 | Phospho-CHEK2 (Thr387) Antibody | Human,Mouse,Rat | ELISA,WB |
| CSB-PA159350 | Phospho-CHEK2 (Thr383) Antibody | Human,Mouse,Rat | ELISA,WB,IF |
| CSB-PA884585 | CHEK2 (Ab-68) Antibody | Human,Mouse,Rat | ELISA,WB,IHC |
| CSB-PA000499 | Phospho-CHEK2 (S516) Antibody | Human,Monkey | WB, ELISA |
| CSB-PA000500 | Phospho-CHEK2 (T68) Antibody | Human,Mouse,Rat | WB, IHC, ELISA |
| CSB-PA001630 | CHEK2 Antibody | Human | WB, ELISA |
| CSB-PA001634 | CHEK2 Antibody | Human,Mouse,Rat | WB, IHC, ELISA |
| CSB-PA006786 | Phospho-CHEK2 (T383) Antibody | Human,Mouse,Rat,Monkey | WB, IF, ELISA |
| CSB-PA006787 | Phospho-CHEK2 (T387) Antibody | Human,Mouse,Rat | WB, IHC, ELISA |
| CSB-PA006788 | CHEK2 Antibody | Human,Mouse,Rat | WB, IHC, ELISA |
| CSB-PA006789 | CHEK2 Antibody | Human,Mouse,Rat,Monkey | WB, IHC, ELISA |
| CSB-PA187496 | CHEK2 Antibody | Human | ELISA,WB |
| CSB-PA005339LA01HU | CHEK2 Antibody | Human | ELISA, IHC |
| CSB-RA828105A0HU | CHEK2 Recombinant Monoclonal Antibody | Human | ELISA, WB, IHC, IF, FC |
| CSB-RA913156A0HU | CHEK2 Recombinant Monoclonal Antibody | Human | ELISA, WB, FC, ICC, IHC |
| CSB-RA212233A0HU | CHEK2 Recombinant Monoclonal Antibody | Human, Rat | ELISA, WB, IHC |
CHEK2 Proteins
CHEK2 Proteins for Homo sapiens (Human)
| 產品貨號 | 產品名稱 | 來源 |
|---|---|---|
| CSB-YP005339HU CSB-EP005339HU CSB-BP005339HU CSB-MP005339HU CSB-EP005339HU-B |
Recombinant Human Serine/threonine-protein kinase Chk2 (CHEK2) | Yeast E.coli Baculovirus Mammalian cell In Vivo Biotinylation in E.coli |






