CFLAR
CFLAR,全稱為CASP8和FADD樣凋亡調節器(CASP8 and FADD-like apoptosis regulator),也被稱為c-FLIP。CFLAR是一種細胞凋亡調節蛋白,主要作用是抑制細胞凋亡。它通過抑制ASK1的N端二聚化,阻斷ASK1的激活,從而改善并逆轉非酒精性脂肪肝炎(NASH)的進程。CFLAR在肝臟代謝性疾病中發揮重要作用,與NASH、脂肪肝等疾病相關。目前,針對CFLAR的研究正在推進,有望為NASH等疾病的治療提供新的策略。
熱銷產品
CFLAR Antibody (CSB-PA005282LA01HU)
驗證數據
Immunofluorescence staining of Hela cells with CSB-PA005282LA01HU at 1:40, counter-stained with DAPI. The cells were fixed in 4% formaldehyde, permeabilized using 0.2% Triton X-100 and blocked in 10% normal Goat Serum. The cells were then incubated with the antibody overnight at 4°C. The secondary antibody was Alexa Fluor 488-congugated AffiniPure Goat Anti-Rabbit IgG(H+L).
Western Blot
Positive WB detected in: Jurkat whole cell lysate, K562 whole cell lysate, 293T whole cell lysate
All lanes: CFLAR antibody at 4µg/ml
Secondary
Goat polyclonal to rabbit IgG at 1/50000 dilution
Predicted band size: 56, 26, 42, 28, 52, 51, 40, 31, 35, 53, 34, 24, 50, 45 kDa
Observed band size: 56 kDa
IHC image of CSB-PA005282LA01HU diluted at 1:400 and staining in paraffin-embedded human adrenal gland tissue performed on a Leica BondTM system. After dewaxing and hydration, antigen retrieval was mediated by high pressure in a citrate buffer (pH 6.0). Section was blocked with 10% normal goat serum 30min at RT. Then primary antibody (1% BSA) was incubated at 4°C overnight. The primary is detected by a biotinylated secondary antibody and visualized using an HRP conjugated SP system.
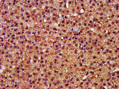
IHC image of CSB-PA005282LA01HU diluted at 1:400 and staining in paraffin-embedded human glioma performed on a Leica BondTM system. After dewaxing and hydration, antigen retrieval was mediated by high pressure in a citrate buffer (pH 6.0). Section was blocked with 10% normal goat serum 30min at RT. Then primary antibody (1% BSA) was incubated at 4°C overnight. The primary is detected by a biotinylated secondary antibody and visualized using an HRP conjugated SP system.
CFLAR Antibodies
CFLAR for Homo sapiens (Human)
| 產品貨號 | 產品名稱 | 種屬反應性 | 應用類型 |
|---|---|---|---|
| CSB-PA004981 | CFLAR Antibody | Human | WB, ELISA |
| CSB-PA070155 | CFLAR Antibody | Human | WB, IHC, ELISA |
| CSB-PA114305 | CFLAR Antibody | Human | ELISA,WB,IHC |
| CSB-PA569618 | CFLAR Antibody | Human | ELISA,WB |
| CSB-PA444421 | CFLAR Antibody | Human | ELISA,WB |
| CSB-PA285771 | CFLAR Antibody | Human,Mouse | ELISA,IHC |
| CSB-PA877207 | CFLAR Antibody | Human,Mouse | ELISA,WB,IHC |
| CSB-PA327117 | CFLAR Antibody | Human,Mouse | ELISA,WB,IHC |
| CSB-PA038919 | CFLAR Antibody | Human,Mouse | ELISA,WB |
| CSB-PA105996 | CFLAR Antibody | Human,Mouse | ELISA,WB,IHC |
| CSB-PA005282LA01HU | CFLAR Antibody | Human | ELISA, WB, IHC, IF |
CFLAR Proteins
CFLAR Proteins for Mus musculus (Mouse)
| 產品貨號 | 產品名稱 | 來源 |
|---|---|---|
| CSB-YP005282MO CSB-EP005282MO CSB-BP005282MO CSB-MP005282MO CSB-EP005282MO-B |
Recombinant Mouse CASP8 and FADD-like apoptosis regulator (Cflar) | Yeast E.coli Baculovirus Mammalian cell In Vivo Biotinylation in E.coli |
CFLAR Proteins for Homo sapiens (Human)
| 產品貨號 | 產品名稱 | 來源 |
|---|---|---|
| CSB-YP005282HU CSB-EP005282HU CSB-BP005282HU CSB-MP005282HU CSB-EP005282HU-B |
Recombinant Human CASP8 and FADD-like apoptosis regulator (CFLAR), partial | Yeast E.coli Baculovirus Mammalian cell In Vivo Biotinylation in E.coli |
CFLAR Proteins for Pongo abelii (Sumatran orangutan)
| 產品貨號 | 產品名稱 | 來源 |
|---|---|---|
| CSB-YP005282PYX CSB-EP005282PYX CSB-BP005282PYX CSB-MP005282PYX CSB-EP005282PYX-B |
Recombinant Pongo abelii CASP8 and FADD-like apoptosis regulator (CFLAR) | Yeast E.coli Baculovirus Mammalian cell In Vivo Biotinylation in E.coli |






