CFB
CFB,即補體因子B,別名H2BF、PBF2,它是一種在人體免疫系統中發揮關鍵作用的血清蛋白。CFB參與補體系統的替代途徑,通過與補體因子D結合形成Bb復合物,進而裂解C3形成C3a和C3b,推動補體級聯反應。CFB的來源是肝臟,由CFB基因編碼。CFB在生物學上的意義非常廣泛,它不僅參與了機體對病原體的防御機制,還與多種疾病的發生發展有關,包括非典型溶血性尿毒綜合癥、自身免疫性疾病、眼疾、腎小球腎炎和鐮狀細胞性貧血等。
熱銷產品
CFB Antibody (CSB-PA11049A0Rb)
驗證數據
Western blot
All lanes: CFB antibody at 2µg/ml
Lane 1: K562 whole cell lysate
Lane 2: HepG2 whole cell lysate
Secondary
Goat polyclonal to rabbit IgG at 1/10000 dilution
Predicted band size: 86, 69 kDa
Observed band size: 86 kDa
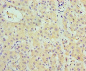
Immunohistochemistry of paraffin-embedded human liver cancer using CSB-PA11049A0Rb at dilution of 1:100
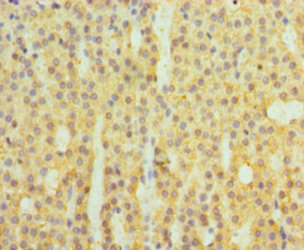
Immunohistochemistry of paraffin-embedded human adrenal gland tissue using CSB-PA11049A0Rb at dilution of 1:100
CFB Antibodies
CFB for Homo sapiens (Human)
| 產品貨號 | 產品名稱 | 種屬反應性 | 應用類型 |
|---|---|---|---|
| CSB-PA11049A0Rb | CFB Antibody | Human | ELISA, WB, IHC |
| CSB-PA005268GA01HU | CFB Antibody | Human,Mouse,Rat | ELISA,WB |
| CSB-PA040288 | Cleaved-CFB (K260) Antibody | Human,Mouse | WB, ELISA |
CFB for Mus musculus (Mouse)
| 產品貨號 | 產品名稱 | 種屬反應性 | 應用類型 |
|---|---|---|---|
| CSB-PA005268LA01MO | Cfb Antibody | Mouse, Human | ELISA, WB |
| CSB-PA005268LC01MO | Cfb Antibody, FITC conjugated | Mouse |
CFB Proteins
CFB Proteins for Bos taurus (Bovine)
| 產品貨號 | 產品名稱 | 來源 |
|---|---|---|
| CSB-YP005268BO CSB-EP005268BO CSB-BP005268BO CSB-MP005268BO CSB-EP005268BO-B |
Recombinant Bovine Complement factor B (CFB), partial | Yeast E.coli Baculovirus Mammalian cell In Vivo Biotinylation in E.coli |
CFB Proteins for Mus musculus (Mouse)
| 產品貨號 | 產品名稱 | 來源 |
|---|---|---|
| CSB-YP005268MO CSB-BP005268MO CSB-EP005268MO-B |
Recombinant Mouse Complement factor B (Cfb) | Yeast Baculovirus In Vivo Biotinylation in E.coli |
| CSB-EP005268MO | Recombinant Mouse Complement factor B (Cfb) | E.coli |
CFB Proteins for Gorilla gorilla gorilla (Lowland gorilla)
| 產品貨號 | 產品名稱 | 來源 |
|---|---|---|
| CSB-YP005268GGZ CSB-EP005268GGZ CSB-BP005268GGZ CSB-MP005268GGZ CSB-EP005268GGZ-B |
Recombinant Gorilla gorilla gorilla Complement factor B (CFB), partial | Yeast E.coli Baculovirus Mammalian cell In Vivo Biotinylation in E.coli |
CFB Proteins for Pongo pygmaeus (Bornean orangutan)
| 產品貨號 | 產品名稱 | 來源 |
|---|---|---|
| CSB-YP005268EXP CSB-EP005268EXP CSB-BP005268EXP CSB-MP005268EXP CSB-EP005268EXP-B |
Recombinant Pongo pygmaeus Complement factor B (CFB), partial | Yeast E.coli Baculovirus Mammalian cell In Vivo Biotinylation in E.coli |
CFB Proteins for Pan troglodytes (Chimpanzee)
| 產品貨號 | 產品名稱 | 來源 |
|---|---|---|
| CSB-YP005268EQV CSB-EP005268EQV CSB-BP005268EQV CSB-MP005268EQV CSB-EP005268EQV-B |
Recombinant Pan troglodytes Complement factor B (CFB), partial | Yeast E.coli Baculovirus Mammalian cell In Vivo Biotinylation in E.coli |
CFB ELISA Kit
CFB ELISA Kit for Mus musculus (Mouse)
| 產品貨號 | 產品名稱 | 樣本類型 | 靈敏度 |
|---|---|---|---|
| CSB-E04695m | Mouse factor B,BF ELISA Kit | serum, plasma | 0.078 μg/mL |
CFB ELISA Kit for Homo sapiens (Human)
| 產品貨號 | 產品名稱 | 樣本類型 | 靈敏度 |
|---|---|---|---|
| CSB-E09447h | Human factor B,BF ELISA Kit | serum, plasma | 0.39 ng/mL |






