CDS1
CDS1,全稱為CDP-diacylglycerol synthase (phosphatidate cytidylyltransferase) 1,常見別名包括CDP DAG synthase 1、CDP DG synthase 1、CDP diacylglycerol synthase 1、CDP diglyceride synthase 1、CDS、CDS 1、CDS1等。該蛋白參與磷脂酰肌醇的合成,在多種重要的癌癥信號通路中發揮關鍵作用。研究表明,CDS1和CDS2基因間的合成致死關系,為治療轉移性葡萄膜黑色素瘤提供了新的策略。此外,CDS1低表達的現象在其他多種惡性腫瘤中也觀察到,提示其在多種癌癥治療中具有潛在應用價值。目前,針對CDS1/CDS2互作的治療方法正進一步探索中,有望為罕見癌癥患者帶來新的治療希望。
熱銷產品
CDS1 Antibody (CSB-PA842170LA01HU)
驗證數據
Immunohistochemistry of paraffin-embedded human melanoma using CSB-PA842170LA01HU at dilution of 1:100
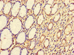
Immunohistochemistry of paraffin-embedded human stomach tissue using CSB-PA842170LA01HU at dilution of 1:100
Immunofluorescent analysis of Hela cells using CSB-PA842170LA01HU at dilution of 1:100 and Alexa Fluor 488-congugated AffiniPure Goat Anti-Rabbit IgG(H+L)
CDS1 Antibodies
CDS1 for Homo sapiens (Human)
| 產品貨號 | 產品名稱 | 種屬反應性 | 應用類型 |
|---|---|---|---|
| CSB-PA842170LA01HU | CDS1 Antibody | Human | ELISA, IHC, IF |
CDS1 Proteins
CDS1 Proteins for Mus musculus (Mouse)
| 產品貨號 | 產品名稱 | 來源 |
|---|---|---|
| CSB-YP005122MO1 CSB-EP005122MO1 CSB-BP005122MO1 CSB-MP005122MO1 CSB-EP005122MO1-B |
Recombinant Mouse Phosphatidate cytidylyltransferase 1 (Cds1), partial | Yeast E.coli Baculovirus Mammalian cell In Vivo Biotinylation in E.coli |
| CSB-CF005122MO | Recombinant Mouse Phosphatidate cytidylyltransferase 1 (Cds1) | in vitro E.coli expression system |
CDS1 Proteins for Rattus norvegicus (Rat)
| 產品貨號 | 產品名稱 | 來源 |
|---|---|---|
| CSB-YP005122RA1 CSB-EP005122RA1 CSB-BP005122RA1 CSB-MP005122RA1 CSB-EP005122RA1-B |
Recombinant Rat Phosphatidate cytidylyltransferase 1 (Cds1), partial | Yeast E.coli Baculovirus Mammalian cell In Vivo Biotinylation in E.coli |
| CSB-CF005122RA | Recombinant Rat Phosphatidate cytidylyltransferase 1 (Cds1) | in vitro E.coli expression system |
CDS1 Proteins for Saccharomyces cerevisiae (strain ATCC 204508 / S288c) (Baker's yeast)
| 產品貨號 | 產品名稱 | 來源 |
|---|---|---|
| CSB-YP334390SVG1 CSB-EP334390SVG1 CSB-BP334390SVG1 CSB-MP334390SVG1 CSB-EP334390SVG1-B |
Recombinant Saccharomyces cerevisiae Phosphatidate cytidylyltransferase (CDS1), partial | Yeast E.coli Baculovirus Mammalian cell In Vivo Biotinylation in E.coli |
| CSB-CF334390SVG | Recombinant Saccharomyces cerevisiae Phosphatidate cytidylyltransferase (CDS1) | in vitro E.coli expression system |
CDS1 Proteins for Arabidopsis thaliana (Mouse-ear cress)
| 產品貨號 | 產品名稱 | 來源 |
|---|---|---|
| CSB-YP516900DOA1 CSB-EP516900DOA1 CSB-BP516900DOA1 CSB-MP516900DOA1 CSB-EP516900DOA1-B |
Recombinant Arabidopsis thaliana Phosphatidate cytidylyltransferase (CDS1), partial | Yeast E.coli Baculovirus Mammalian cell In Vivo Biotinylation in E.coli |
| CSB-CF516900DOA | Recombinant Arabidopsis thaliana Phosphatidate cytidylyltransferase (CDS1) | in vitro E.coli expression system |
CDS1 Proteins for Solanum tuberosum (Potato)
| 產品貨號 | 產品名稱 | 來源 |
|---|---|---|
| CSB-YP516901FIG1 CSB-EP516901FIG1 CSB-BP516901FIG1 CSB-MP516901FIG1 CSB-EP516901FIG1-B |
Recombinant Solanum tuberosum Phosphatidate cytidylyltransferase (CDS1), partial | Yeast E.coli Baculovirus Mammalian cell In Vivo Biotinylation in E.coli |
| CSB-CF516901FIG | Recombinant Solanum tuberosum Phosphatidate cytidylyltransferase (CDS1) | in vitro E.coli expression system |
CDS1 Proteins for Schizosaccharomyces pombe (strain 972 / ATCC 24843) (Fission yeast)
| 產品貨號 | 產品名稱 | 來源 |
|---|---|---|
| CSB-YP600600SXV CSB-EP600600SXV CSB-BP600600SXV CSB-MP600600SXV CSB-EP600600SXV-B |
Recombinant Schizosaccharomyces pombe Serine/threonine-protein kinase cds1 (cds1) | Yeast E.coli Baculovirus Mammalian cell In Vivo Biotinylation in E.coli |
CDS1 Proteins for Encephalitozoon cuniculi (strain GB-M1) (Microsporidian parasite)
| 產品貨號 | 產品名稱 | 來源 |
|---|---|---|
| CSB-YP822127EKH CSB-EP822127EKH CSB-BP822127EKH CSB-MP822127EKH CSB-EP822127EKH-B |
Recombinant Encephalitozoon cuniculi Phosphatidate cytidylyltransferase (CDS1), partial | Yeast E.coli Baculovirus Mammalian cell In Vivo Biotinylation in E.coli |
CDS1 Proteins for Homo sapiens (Human)
| 產品貨號 | 產品名稱 | 來源 |
|---|---|---|
| CSB-YP842170HU1 CSB-EP842170HU1 CSB-BP842170HU1 CSB-MP842170HU1 CSB-EP842170HU1-B |
Recombinant Human Phosphatidate cytidylyltransferase 1 (CDS1), partial | Yeast E.coli Baculovirus Mammalian cell In Vivo Biotinylation in E.coli |
| CSB-CF842170HU | Recombinant Human Phosphatidate cytidylyltransferase 1 (CDS1) | in vitro E.coli expression system |






