CDO1
CDO1,全稱為半胱氨酸雙加氧酶1型(Cysteine dioxygenase 1, CDO1),是一種參與細胞代謝的重要酶。它能夠催化有毒的半胱氨酸轉化為半胱氨酸亞磺酸,從而調節體內半胱氨酸的濃度,并幫助降低細胞中的活性氧水平。CDO1蛋白也被稱為Cysteine Dioxygenase Type 1,在細胞硫代謝中發揮著關鍵作用。
研究表明,CDO1蛋白的表達水平在多種疾病中發生改變。在肺癌中,CDO1蛋白的表達常常被抑制,這可能與腫瘤細胞的氧化應激和轉移有關。此外,CDO1蛋白的甲基化水平在肺癌患者的外周血中顯著升高,這使其成為肺癌早期診斷的潛在生物標志物。
針對CDO1蛋白的藥物研發也取得了一些進展。例如,有研究開發了一種靶向CDO1蛋白的VHL分子膠降解劑,該藥物能夠誘導CDO1蛋白與VHL蛋白結合,從而實現VHL依賴性降解內源性CDO1蛋白,為靶向蛋白降解藥物研發提供了新思路。此外,還有研究探索了CDO1蛋白在其他疾病中的作用,并為其相關藥物研發提供了新的方向。
熱銷產品
Recombinant Human Cysteine dioxygenase type 1 (CDO1) (CSB-EP621975HUf0)
驗證數據
(Tris-Glycine gel) Discontinuous SDS-PAGE (reduced) with 5% enrichment gel and 15% separation gel.
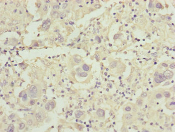
CDO1 Antibody (CSB-PA621975ESR1HU)
驗證數據
Immunohistochemistry of paraffin-embedded human liver cancer using CSB-PA621975ESR1HU at dilution of 1:100
Immunohistochemistry of paraffin-embedded human pancreatic cancer using CSB-PA621975ESR1HU at dilution of 1:100
CDO1 Antibodies
CDO1 for Homo sapiens (Human)
| 產品貨號 | 產品名稱 | 種屬反應性 | 應用類型 |
|---|---|---|---|
| CSB-PA005099GA01HU | CDO1 Antibody | Human,Mouse,Rat | ELISA,WB,IHC |
| CSB-PA438445 | CDO1 Antibody | Human,Mouse,Rat | ELISA,IHC |
| CSB-PA203536 | CDO1 Antibody | Human,Mouse,Rat | ELISA,IHC |
| CSB-PA621975ESR1HU | CDO1 Antibody | Human | ELISA, IHC |
CDO1 Proteins
CDO1 Proteins for Homo sapiens (Human)
| 產品貨號 | 產品名稱 | 來源 |
|---|---|---|
| CSB-YP621975HU CSB-BP621975HU CSB-MP621975HU CSB-EP621975HU-B |
Recombinant Human Cysteine dioxygenase type 1 (CDO1) | Yeast Baculovirus Mammalian cell In Vivo Biotinylation in E.coli |
| CSB-EP621975HU | Recombinant Human Cysteine dioxygenase type 1 (CDO1) | E.coli |
| CSB-EP621975HUf0 | Recombinant Human Cysteine dioxygenase type 1 (CDO1) | E.coli |






