CD81
CD81是一種四次跨膜蛋白,屬于跨膜家族(TM4SF)的成員。擁有一個大的胞外親水環,這個環包含兩個半胱氨酸殘基,可以形成二硫鍵,對維持其結構穩定具有重要作用。此外,CD81的胞內區域較短,含有多個可能的磷酸化位點,這些位點參與信號轉導過程。CD81的異常表達或功能失調與多種疾病的發生和發展有關。例如,在丙型肝炎病毒感染中,CD81是病毒進入細胞的關鍵受體之一,因此其表達水平的變化可能影響病毒的感染效率和疾病的進展。此外,CD81還與某些自身免疫性疾病、腫瘤以及感染性疾病的發病機制有關。
熱銷產品
CD81 Recombinant Monoclonal Antibody
驗證數據
Positive WB detected in:K562 whole cell lysate
All lanes:CD81 antibody at 1.25μg/ml
Secondary
Goat polyclonal to rabbit IgG at 1/50000 dilution
Predicted band size: 26 KDa
Observed band size: 26 KDa
Overlay histogram showing Jurkat cells stained with CSB-RA004960A0HU (red line) at 1:50. The cells were fixed with 70% Ethylalcohol (18h) and then permeabilized with 0.3% Triton X-100 for 2 min.The cells were then incubated in 1x PBS /10% normal goat serum to block non-specific protein-protein interactions followed by primary antibody for 1 h at 4°C.The secondary antibody used was FITC goat anti-rabbit IgG (H+L) at 1/200 dilution for 1 h at 4°C. Control antibody (green line) was used under the same conditions. Acquisition of >10,000 events was performed.
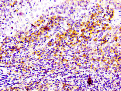
IHC image of CSB-RA004960A0HU diluted at 1:100 and staining in paraffin-embedded human tonsil tissue performed on a Leica BondTM system. After dewaxing and hydration, antigen retrieval was mediated by high pressure in a citrate buffer (pH 6.0). Section was blocked with 10% normal goat serum 30min at RT. Then primary antibody (1% BSA) was incubated at 4°C overnight. The primary is detected by a biotinylated secondary antibody and visualized using an HRP conjugated SP system.
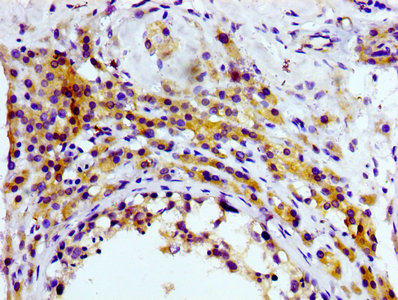
IHC image of CSB-RA004960A0HU diluted at 1:100 and staining in paraffin-embedded human testis tissue performed on a Leica BondTM system. After dewaxing and hydration, antigen retrieval was mediated by high pressure in a citrate buffer (pH 6.0). Section was blocked with 10% normal goat serum 30min at RT. Then primary antibody (1% BSA) was incubated at 4°C overnight. The primary is detected by a biotinylated secondary antibody and visualized using an HRP conjugated SP system.
CD81 Antibodies
CD81 for Mus musculus (Mouse)
| 產品貨號 | 產品名稱 | 種屬反應性 | 應用類型 |
|---|---|---|---|
| CSB-PA004960DA01MO | Cd81 Antibody | Mouse | ELISA |
| CSB-PA004960DB01MO | Cd81 Antibody, HRP conjugated | Mouse | ELISA |
| CSB-PA004960DD01MO | Cd81 Antibody, Biotin conjugated | Mouse | ELISA |
CD81 for Homo sapiens (Human)
| 產品貨號 | 產品名稱 | 種屬反應性 | 應用類型 |
|---|---|---|---|
| CSB-MA0049601A0m | CD81 Monoclonal Antibody | Human | ELISA,IHC |
| CSB-PA005630 | CD81 Antibody | Human,Mouse,Rat | WB, ELISA |
| CSB-RA004960A0HU | CD81 Recombinant Monoclonal Antibody | Human, Mouse, Rat | ELISA, WB, IHC, FC |
| CSB-PA004960NA01HU | CD81 Antibody | Human | ELISA, IHC |
| CSB-PA004960NB01HU | CD81 Antibody, HRP conjugated | Human | ELISA |
| CSB-PA004960NC01HU | CD81 Antibody, FITC conjugated | Human | |
| CSB-PA004960ND01HU | CD81 Antibody, Biotin conjugated | Human | ELISA |
| CSB-MA004960A1m | CD81 Monoclonal Antibody | Human | ELISA, FC |
| CSB-RA004960MA1HU | CD81 Recombinant Monoclonal Antibody | Human | ELISA |
CD81 Proteins
CD81 Proteins for Mus musculus (Mouse)
| 產品貨號 | 產品名稱 | 來源 |
|---|---|---|
| CSB-YP004960MO CSB-BP004960MO CSB-MP004960MO CSB-EP004960MO-B |
Recombinant Mouse CD81 antigen (Cd81), partial | Yeast Baculovirus Mammalian cell In Vivo Biotinylation in E.coli |
| CSB-EP004960MO | Recombinant Mouse CD81 antigen (Cd81), partial | E.coli |
CD81 Proteins for Homo sapiens (Human)
| 產品貨號 | 產品名稱 | 來源 |
|---|---|---|
| CSB-YP004960HU | Recombinant Human CD81 antigen (CD81), partial | Yeast |
| CSB-EP004960HU | Recombinant Human CD81 antigen (CD81), partial | E.coli |
| CSB-MP004960HU | Recombinant Human CD81 antigen (CD81), partial | Mammalian cell |
| CSB-EP004960HUb1 | Recombinant Human CD81 antigen (CD81), partial | E.coli |
| CSB-MP004960HUd7 | Recombinant Human CD81 antigen (CD81), partial (Active) | Mammalian cell |
CD81 Proteins for Pan troglodytes (Chimpanzee)
| 產品貨號 | 產品名稱 | 來源 |
|---|---|---|
| CSB-YP004960EQV1 CSB-EP004960EQV1 CSB-BP004960EQV1 CSB-MP004960EQV1 CSB-EP004960EQV1-B |
Recombinant Pan troglodytes CD81 antigen (CD81), partial | Yeast E.coli Baculovirus Mammalian cell In Vivo Biotinylation in E.coli |
| CSB-CF004960EQV | Recombinant Pan troglodytes CD81 antigen (CD81) | in vitro E.coli expression system |
CD81 Proteins for Chlorocebus aethiops (Green monkey) (Cercopithecus aethiops)
| 產品貨號 | 產品名稱 | 來源 |
|---|---|---|
| CSB-YP004960DSU1 CSB-EP004960DSU1 CSB-BP004960DSU1 CSB-MP004960DSU1 CSB-EP004960DSU1-B |
Recombinant Chlorocebus aethiops CD81 antigen (CD81), partial | Yeast E.coli Baculovirus Mammalian cell In Vivo Biotinylation in E.coli |
| CSB-CF004960DSU | Recombinant Chlorocebus aethiops CD81 antigen (CD81) | in vitro E.coli expression system |
CD81 Proteins for Bos taurus (Bovine)
| 產品貨號 | 產品名稱 | 來源 |
|---|---|---|
| CSB-YP670263BO1 CSB-EP670263BO1 CSB-BP670263BO1 CSB-MP670263BO1 CSB-EP670263BO1-B |
Recombinant Bovine CD81 antigen (CD81), partial | Yeast E.coli Baculovirus Mammalian cell In Vivo Biotinylation in E.coli |
| CSB-CF670263BO | Recombinant Bovine CD81 antigen (CD81) | in vitro E.coli expression system |
CD81 Proteins for Rattus norvegicus (Rat)
| 產品貨號 | 產品名稱 | 來源 |
|---|---|---|
| CSB-YP726808RA1 CSB-EP726808RA1 CSB-BP726808RA1 CSB-MP726808RA1 CSB-EP726808RA1-B |
Recombinant Rat CD81 antigen (Cd81), partial | Yeast E.coli Baculovirus Mammalian cell In Vivo Biotinylation in E.coli |
| CSB-CF726808RA | Recombinant Rat CD81 antigen (Cd81) | in vitro E.coli expression system |
CD81 Proteins for Saguinus oedipus (Cotton-top tamarin)
| 產品貨號 | 產品名稱 | 來源 |
|---|---|---|
| CSB-YP868224SWB1 CSB-EP868224SWB1 CSB-BP868224SWB1 CSB-MP868224SWB1 CSB-EP868224SWB1-B |
Recombinant Saguinus oedipus CD81 protein (CD81), partial | Yeast E.coli Baculovirus Mammalian cell In Vivo Biotinylation in E.coli |
| CSB-CF868224SWB | Recombinant Saguinus oedipus CD81 protein (CD81) | in vitro E.coli expression system |
CD81 ELISA Kit
CD81 ELISA Kit for Homo sapiens (Human)
| 產品貨號 | 產品名稱 | 樣本類型 | 靈敏度 |
|---|---|---|---|
| CSB-EL004960HU | Human CD81 antigen(CD81) ELISA kit | serum, plasma, tissue homogenates, cell lysates | 0.039 ng/mL |
| CSB-EL004960HU-IS | Human CD81 antigen(CD81) ELISA kit | serum, plasma, cell lysates, tissue homogenates | 11.75 pg/mL |
CD81 ELISA Kit for Mus musculus (Mouse)
| 產品貨號 | 產品名稱 | 樣本類型 | 靈敏度 |
|---|---|---|---|
| CSB-EL004960MO | Mouse CD81 antigen(CD81) ELISA kit | serum, plasma, tissue homogenates, cell lysates | 11.75 pg/mL |






