CD52
CD52,即分化簇52,別名Campath-1、HE5。它是由CD52基因編碼的糖蛋白,廣泛表達于免疫細胞的細胞表面,例如成熟的淋巴細胞、天然殺傷細胞(NK)、嗜酸性粒細胞、嗜中性粒細胞、單核細胞/巨噬細胞和樹突狀細胞(DC)。CD52是一個錨定在糖基磷脂酰肌醇(GPI)上的12個氨基酸的糖蛋白,其功能可能與抗粘連有關,允許細胞自由移動。在作用機制上,CD52通過其細胞表面分子的連接可為T細胞活化和增殖提供共刺激信號,同時,可溶性CD52分子與抑制唾液酸結合的免疫球蛋白樣凝集素10(Siglec-10)相互作用,從而顯著抑制T細胞的增殖和活化。CD52在調節免疫反應中起著重要作用,尤其是在T細胞的激活和自身免疫性疾病的發展中。
熱銷產品
Recombinant Human CAMPATH-1 antigen (CD52)-Nanoparticle (Active) (CSB-MP004943HUd7)
驗證數據
(Tris-Glycine gel) Discontinuous SDS-PAGE (reduced) with 5% enrichment gel and 15% separation gel.
Activity
Measured by its binding ability in a functional ELISA.Immobilized Human CD52 at 2 μg/ml can bind Anti-CD52 recombinant antibody (CSB-RA004943MA1HU).The EC50 is 199.3-226.1 ng/mL.
Recombinant Human CAMPATH-1 antigen (CD52), partial (CSB-MP004943HU)
驗證數據
(Tris-Glycine gel) Discontinuous SDS-PAGE (reduced) with 5% enrichment gel and 15% separation gel.
驗證數據
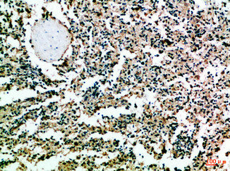
Immunohistochemical analysis of paraffin-embedded Human-tonsil, antibody was diluted at 1:100
Immunohistochemical analysis of paraffin-embedded Human-spleen, antibody was diluted at 1:100
Human CAMPATH-1 antigen(CD52) ELISA kit (CSB-EL004943HU)
驗證數據
貨號:CSB-EL004943HU
規格:96T/48T
靈敏度:19.5 ng/mL
檢測范圍:78 ng/mL-5000 ng/mL
These standard curves are provided for demonstration only. A standard curve should be generated for each set of samples assayed.
CD52 Antibodies
CD52 for Homo sapiens (Human)
| 產品貨號 | 產品名稱 | 種屬反應性 | 應用類型 |
|---|---|---|---|
| CSB-PA338154 | CD52 Antibody | Human | IHC,ELISA |
CD52 Proteins
CD52 Proteins for Homo sapiens (Human)
| 產品貨號 | 產品名稱 | 來源 |
|---|---|---|
| CSB-YP004943HU | Recombinant Human CAMPATH-1 antigen (CD52), partial | Yeast |
| CSB-EP004943HU | Recombinant Human CAMPATH-1 antigen (CD52) | E.coli |
| CSB-BP004943HU CSB-EP004943HU-B |
Recombinant Human CAMPATH-1 antigen (CD52), partial | Baculovirus In Vivo Biotinylation in E.coli |
| CSB-MP004943HU | Recombinant Human CAMPATH-1 antigen (CD52), partial | Mammalian cell |
CD52 Proteins for Macaca fascicularis (Crab-eating macaque) (Cynomolgus monkey)
| 產品貨號 | 產品名稱 | 來源 |
|---|---|---|
| CSB-YP004943MOV CSB-EP004943MOV CSB-BP004943MOV CSB-MP004943MOV CSB-EP004943MOV-B |
Recombinant Macaca fascicularis CAMPATH-1 antigen (CD52) | Yeast E.coli Baculovirus Mammalian cell In Vivo Biotinylation in E.coli |
CD52 Proteins for Canis familiaris (Dog) (Canis lupus familiaris)
| 產品貨號 | 產品名稱 | 來源 |
|---|---|---|
| CSB-YP638949DO CSB-EP638949DO CSB-BP638949DO CSB-MP638949DO CSB-EP638949DO-B |
Recombinant Dog CAMPATH-1 antigen (CD52) | Yeast E.coli Baculovirus Mammalian cell In Vivo Biotinylation in E.coli |
CD52 Proteins for Mus musculus (Mouse)
| 產品貨號 | 產品名稱 | 來源 |
|---|---|---|
| CSB-YP720668MO CSB-EP720668MO CSB-BP720668MO CSB-MP720668MO CSB-EP720668MO-B |
Recombinant Mouse CAMPATH-1 antigen (Cd52) | Yeast E.coli Baculovirus Mammalian cell In Vivo Biotinylation in E.coli |
CD52 Proteins for Rattus norvegicus (Rat)
| 產品貨號 | 產品名稱 | 來源 |
|---|---|---|
| CSB-YP733908RA CSB-EP733908RA CSB-BP733908RA CSB-MP733908RA CSB-EP733908RA-B |
Recombinant Rat CAMPATH-1 antigen (Cd52) | Yeast E.coli Baculovirus Mammalian cell In Vivo Biotinylation in E.coli |
CD52 ELISA Kit
CD52 ELISA Kit for Homo sapiens (Human)
| 產品貨號 | 產品名稱 | 樣本類型 | 靈敏度 |
|---|---|---|---|
| CSB-EL004943HU | Human CAMPATH-1 antigen(CD52) ELISA kit | serum, plasma, tissue homogenates, cell lysates | 19.5 ng/mL |






